乳腺癌的介入治疗 神经介入放射学 五官科介入医学 脊柱与脊髓 骨骼肌肉系统疾病的介入治疗 心脏疾病介入 大动脉疾病介入治疗 胸/呼吸系统疾病介入 消化介入 泌尿系介入 产科介入 妇科介入 周围血管疾病的介入治疗 淋巴介入 静脉疾病介入治疗 内分泌系统介入放射学 儿科介入 非常介入放射学 经皮腹腔脓肿引流 美容介入放射学 影像引导下疼痛管理 创伤介入
返回首页
当前位置: 首页 > 介入医学各论 >
  • [影像学随访] 子宫肌瘤栓塞后影像学随访 日期:2026-01-11 07:22:17 点击:99

    无症状复发 分别是基线3月1年2年3年 【 Pelage JP 2004 】 子宫肌瘤有治疗有需求,子宫动脉栓塞术(UAE)具有应用价值。本研究通过3年MR随访,旨在评估UAE治疗子宫肌瘤后的长期磁共振(MR)成像结局,探讨UAE治疗后肌瘤梗死程度与长期预后的关联,为临床疗效...

  • [影像学随访] 子宫肌瘤栓塞疗效:影像学随访 日期:2026-01-11 07:18:47 点击:99

    分别是基线3月1年2年3年 【 Pelage JP 2004 】 子宫肌瘤有治疗有需求,子宫动脉栓塞术(UAE)具有应用价值。本研究通过3年MR随访,旨在评估UAE治疗子宫肌瘤后的长期磁共振(MR)成像结局,探讨UAE治疗后肌瘤梗死程度与长期预后的关联,为临床疗效评估提供影...

  • [影像学随访] 子宫肌瘤栓塞疗效:影像学随访 日期:2026-01-11 07:18:47 点击:99

    分别是基线3月1年2年3年 【 Pelage JP 2004 】 子宫肌瘤有治疗有需求,子宫动脉栓塞术(UAE)具有应用价值。本研究通过3年MR随访,旨在评估UAE治疗子宫肌瘤后的长期磁共振(MR)成像结局,探讨UAE治疗后肌瘤梗死程度与长期预后的关联,为临床疗效评估提供影...

  • [UFE vs 子宫肌瘤切除术] UFE vs 子宫肌瘤切除术 日期:2026-01-10 23:08:11 点击:99

    随机试验: 子宫肌瘤切除术与子宫肌瘤剔除术的比较 【 Daniels J 2021 Sirkeci F 2023 】 FEMME Trial(英国) 四年成果 UFS 生活质量、症状及生活质量评分:4 年后情况相似 月经失血量评分: 平均分分别为 28 分和 29 分 月经规律性及卵巢储备功能指标均无...

  • [UFE vs 子宫切除术] 子宫肌瘤栓塞 vs 子宫切除 日期:2026-01-10 21:33:11 点击:99

    UFE 结果:随机对照试验 UFE 与子宫切除术的比较 REST 试验(英国)五年结果 【 Moss JG 2011 】 五年后,症状表现和生活质量的改善情况大致相同。 EMMY 试验(荷兰)五年评选结果【 van der Kooij 2010 】 在 SF 36 生活质量评分方面没有差异 十年结果【 Br...

  • [对卵巢功能的影响] 子宫肌瘤栓塞对卵巢功能储备的影响 日期:2026-01-10 20:51:37 点击:99

    子宫动脉栓塞对卵巢功能影响 激素变化 FSH、E-2 反应卵巢功能 生理周期性变化 / UAE不影响 * AMH 反映卵巢储备功能 低AMH可能是不孕症的和绝经过渡期的预测信号 闭经 暂时性闭经 5-10% 术后2-4个月恢复 卵巢一过性缺血 永久性闭经 年龄依赖性 0-3% <45 > 7...

  • [微波消融] 子宫肌瘤微波消融 日期:2026-01-10 16:35:13 点击:99

    子宫肌瘤微波消融是一种在影像技术(如超声、磁共振)引导下,将一根细小的微波消融针经皮肤穿刺或经阴道,精准插入子宫肌瘤内部的过程。针尖释放的微波能量会使肌瘤组织内的水分子高速振动、摩擦生热,在局部产生60-120℃的高温,导致肌瘤细胞瞬间凝固性坏...

  • [HIFU] 子宫肌瘤HIFU消融治疗 日期:2026-01-10 14:00:01 点击:99

    HIFU?High Intensity Focused Ultrasound 中文全称高强度聚焦超声,是一种无创的局部治疗技术。它的核心原理类似于用放大镜聚焦太阳光: 体外发射:设备从体外发射低能量的超声波。 体内聚焦:这些声波穿过皮肤和软组织,精准聚焦在体内的目标点(如肌瘤)...

  • [疗效预测因素] 子宫肌瘤栓塞疗效预测因素 日期:2026-01-09 21:46:33 点击:99

    子宫动脉栓塞治疗子宫肌瘤已成为针对此类患者的一种重要且往往能带来重大改变的治疗手段。这些患者因各种严重的症状(如严重的排尿障碍到月经过多)而被转介至各类医疗机构接受治疗。 也有患者因为复发需要接受二次子宫肌瘤动脉栓塞,甚至多次治疗。再治疗率...

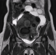
  • [慢性盆腔痛] 下腹神经丛阻滞治疗慢性盆腔疼痛 日期:2026-01-09 20:46:55 点击:99

    病史 50 岁的女性 由于之前进行过盆腔手术,所以出现了多个增大的子宫肌瘤以及腹膜内囊肿的情况。 已经持续數月遭受嚴重的骨盆疼痛之苦。 药物治疗 盆腔冠状位 T2 加权磁共振成像:多发子宫肌瘤及腹膜内囊肿。 治疗方案选择 由于存在粘连,子宫切除手术无法...

  • 首页
  • 上一页
  • 1
  • 2
  • 3
  • 4
  • 5
  • 6
  • 7
  • 8
  • 9
  • 10
  • 11
  • 下一页
  • 末页
  • 2092088
推荐内容