乳腺癌的介入治疗 神经介入放射学 五官科介入医学 脊柱与脊髓 骨骼肌肉系统疾病的介入治疗 心脏疾病介入 大动脉疾病介入治疗 胸/呼吸系统疾病介入 消化介入 泌尿系介入 产科介入 妇科介入 周围血管疾病的介入治疗 淋巴介入 静脉疾病介入治疗 内分泌系统介入放射学 儿科介入 非常介入放射学 经皮腹腔脓肿引流 美容介入放射学 影像引导下疼痛管理 创伤介入
返回首页
当前位置: 首页 > 介入医学各论 >
  • [泡沫硬化剂技术] 单纯肝囊肿:泡沫硬化技术 日期:2025-11-08 21:35:59 点击:99

    液体硬化剂被研究作为有症状肝囊肿硬化治疗中的乙醇替代品【 Kasahara A 1992 van Sonnenberg E 1994 Davies CW 1996 】[1-3],因为从囊肿中注射的乙醇会全身溢出或渗漏,会引起严重的并发症【 Gelczer RK 1998 】,而且乙醇硬化治疗多囊性肝病(PLD)的复发...

  • [经胃镜肝囊肿引流] 经胃镜肝囊肿引流术 日期:2025-11-08 17:37:52 点击:99

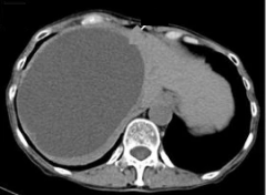
    肝囊肿是肝脏充满液体的空腔,常在健康检查等临床监测中发现。虽然肝囊肿通常无症状,无需任何治疗干预,但由于其增大、出血和感染,可出现症状并需要治疗。 Yoshitomi 报告一名74岁女性因上腹痛和肝左叶巨大囊肿就诊。影像学检查提示可能来源于肝囊肿。对于...

  • [硬化治疗和外科对比] 系统回顾:肝囊肿硬化治疗与外科比较 日期:2025-11-08 16:28:25 点击:99

    尽管有很多报告那些症状性肝囊肿经过治疗后症状改善的报告,但几乎没有进行过不同方法的比较研究。 Furumaya A 2021 进行了关于经皮肝囊肿硬化和外科比较性研究,期待为临床决策提供证据,为谁是单纯性症状性肝囊肿的一线治疗做出选择。 , 这篇文章 主要探...

  • [治疗的选择] 单纯肝囊肿的治疗选择 日期:2025-11-07 08:17:46 点击:99

    由于缺乏针对单纯性肝囊肿管理的随机对照试验和长期随访,因此难以依据文献建立有充分证据支持的推荐意见【 MarreroJA 2014 】5。. 腹部影像学检查偶然发现的无症状单纯性肝囊肿无需治疗或随访【 MarreroJA 2014 Doty JT 1989 】5,48。同样,在腹部手术中偶...

  • [诊断] 单纯肝囊肿诊断 日期:2025-11-06 23:05:33 点击:99

    大多数单纯性肝囊肿是偶然发现的,通常呈良性病程。实验室检查结果大多正常,一般无诊断意义。不过,肝酶可能会升高;碱性磷酸酶和-谷氨酰转移酶升高是最常见的发现【 Selimis NS 2007 Lantinga MA 2013 】8 9。这些发现通常归因于囊肿在肝门区域的解剖位置...

  • [流行病学] 单纯肝囊肿的流行病学 日期:2025-11-05 22:25:17 点击:99

    在诊断手段广泛出现之前,肝囊肿是在手术中诊断出来的。 在1974 年,Sanfelippo 等人报告称,肝囊性病变的发病率为每 10000 例探查中有 17 例【 Sanfelippo PM 1974 】。 随着包括超声(US)和计算机断层扫描(CT)在内的诊断手段使用增多,肝囊肿在医学检查...

  • [名词和定义] 单纯性肝囊肿名词和定义 日期:2025-11-04 23:58:11 点击:99

    Simple Hepatic Cyst 单纯性肝囊肿 单纯性肝囊肿是相对于复杂性肝囊肿而言(complex hepatic cyst) 单纯性肝囊肿通常是壁薄的囊性中午,其内部充满液体且有上皮细胞衬里。它们由胚胎发育期间出现的异常胆管细胞形成。如今,超声检查(US)、CT 和 MRI 等诊...

  • [脾创伤] 脾创伤出血栓塞 日期:2025-10-26 18:35:35 点击:99

    钝性创伤 (高级创伤生命支持 advanced trauma life support ATLS) 初步检查 1. 没有明显的外部出血情况 no active external bleeding A 气道通畅 , 无血液或分泌物 A irway pervious,no blood or secretions B 自主呼吸 Spontaneous B reathing C. 所有...

  • [BCLC 分期概论] 巴塞罗那分组方案概论 日期:2025-10-21 13:26:35 点击:99

    不知道有没有专门为非肝硬化肝癌的分组方案,但是1999年提出来的巴塞罗那分组方案是为肝硬化肝癌制定的肝癌分组方案。 国际认可,较为实用的巴塞罗那肝癌分分组是肝硬化肝癌病人最常用的分期系统,并被欧洲肝病研究协会(EASL)和美国肝病研究协会推荐应用。巴...

  • [肝癌经血管治疗的历史] 肝癌肝动脉栓塞的历史(新修改) 日期:2025-10-20 08:40:51 点击:99

    经导管动脉化疗性栓塞(Transcatheter arterial chemotherapy,TACE)是一种治疗肝脏肿瘤的微创技术,特别是肝细胞肝癌的治疗。所谓经导管(Transcatheter)是指通过导管腔进行治疗。这项技术最广泛地用于介入放射学的seldinger技术[1]。 栓塞(embolization...

  • 首页
  • 上一页
  • 1
  • 2
  • 3
  • 4
  • 5
  • 6
  • 7
  • 8
  • 9
  • 10
  • 11
  • 下一页
  • 末页
  • 2052042
推荐内容