栓塞是一种“ 血管内 ” 的技术 但也是介入放射学内的“ 符合行为准则的一种技术行为”。比较外科的基本外科、、心脏外科、血管外科、泌尿外科、整形外科等,介入放射学也在疾病治疗中扮演广泛的角色。介入放射学的栓塞是以符合技术行为为导向的,而外科是疾病为导向的。这是介入放射学对于同一种疾病的处理技术是不一样的,而外科则不然。 下消化道出血栓塞的基础
1)年龄(儿童、年轻、老人和耄耋老人) 首次机会....最后的机会。有些病变的栓塞治疗可能并不是最后一次机会,比如结肠AVM,可能会再次栓塞,以弥补前次栓塞的不足。换句话说仅为第一次机会。 2)拯救生命 vs 择期栓塞;有血栓塞面临的是拯救生命,没有找到有关下消化道出血 3)临床一般情况:general: Karnovski-, Rankin score 和 静脉曲张出血 MELD score 临床情况 自己的情况
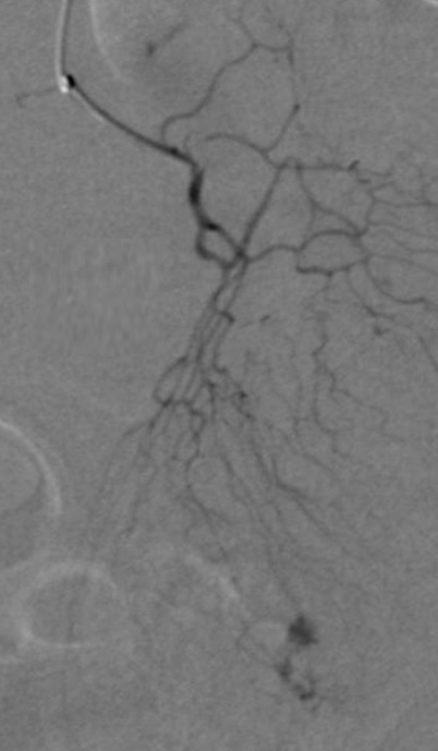
在进行消化道出血栓塞的时候,要考虑病人的情况、临床适应证以及操作者本人的情况。病人的情况包括年龄(不同年龄涉及这是第一次机会还是最后一次机会),抢救性栓塞还是择期栓塞。病人的一般状态包括 Karnovski-,Rankin score,静脉曲张出血时的 MELD score 像结肠或小肠的动静脉畸形的栓塞,有可能是所谓的第一次机会,因为复发或栓塞不全还有第二次机会。就像慢血管静脉畸形的硬化治疗。 78岁 男 急性下消化道大出血
和其它部位出血栓塞的适应症差不多的是治疗目的的分类
所谓治愈性的适应症(curative indication)所定义的治疗
但临床实际上很少有curative 的适应症,多数不是治愈性的,所以消化道出血介入放射学的角色是定位,确切地说是为外科手术提供准确的位置或便利化的措施。当然比较其它的选择,栓塞应具有成分效益。 Curative indication
急性消化道出血
作为急性消化道出血栓塞的适应症,它属于栓塞后不复发,或很少复发的病变;栓塞后不需要其它的治疗,如不在需要外科手术切除。治疗成功不需要,或有限的随访;治疗本身并发症发生率低,与外科切除术比较有成本效益优势。 选择什么栓塞材料呢?又如何进行呢? 1. 弹簧栓子? 2. 微粒? 3. 液体栓塞剂?
微粒和胶都是可以选择的,但胶更能充分阻塞血管巢,避免侧支循环形成后复发。此病例的另一项选择是经门静脉穿侧选择静脉侧栓塞,可能潜在减少动脉端栓塞的并发症,难度较大。
|













