消化道出血栓塞病例:男 77岁
时间:2020-11-08 07:43来源:未知 作者:Mr.Editor
Case presentation: medical history A 77-year-old man Dark stools since 3 days Admitted to the emergency department red blood per anum syncope Uneventful medical history except for Arterial hypertension Ca2+-antagonists Obesity Case present
77岁男性,暗红色便三天入住急诊室。经肛门可见鲜血流出,患者意识模糊状态。’除了高血压 钙拮抗剂肥胖,病史无特殊。低血压 90/60
心率正常 66次/分钟。实验室发现血红蛋白:8.8g/dL 。胃镜(-),直肠乙状结肠镜:有鲜血,未发现其它异常,无肠道肿物。
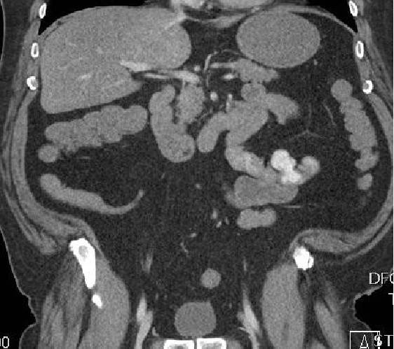
增强CT扫描
 |
|
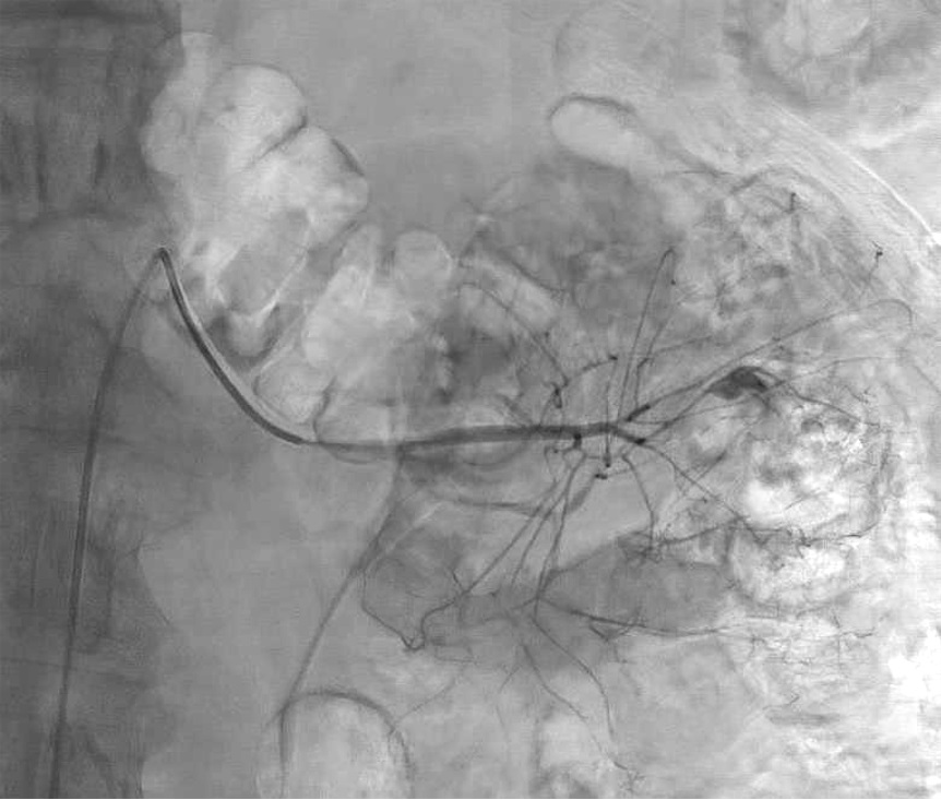
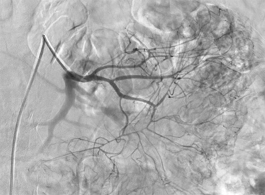
仍然不能确定具体出血血管 |
 |
|
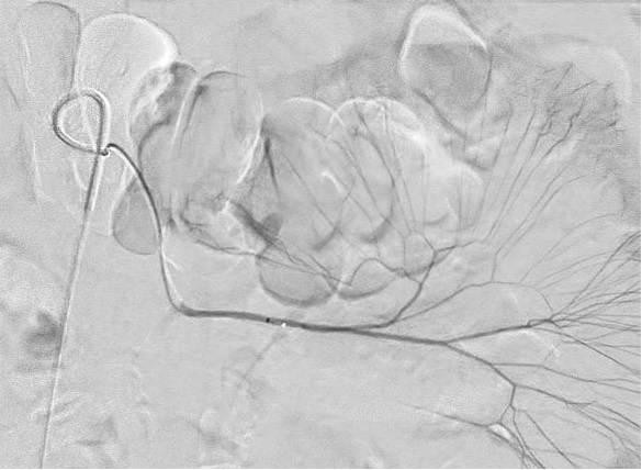
glue 0.1ml 注射后 |
临床随访:
出血停止,并完全恢复
CT一个月后:无肠缺血,仍然可见胶滞留在肠壁上

病因不清 |
------分隔线----------------------------