|
[冷冻]
子宫腺肌症冷冻治疗
日期:2023-03-28 00:01:01
点击:99
精辟子宫腺肌症的冷冻治疗 Percutaneous cryoablation of endometriosis...
[药物治疗]
子宫腺肌症:药物治疗
日期:2023-03-27 23:55:33
点击:99
宫腺肌症发病机理和药物治疗 Pathogenesis of adenomyosis and medical treatments 子宫腺肌病的发病机制和长期曼月乐 LNG IUD 治疗选择最好的研究是长期曼月乐 The best studied of the medical options is LNG-IUD 一项纳入75名女性的随机对照试验(RCT)报...
[外科]
子宫腺肌症:子宫切除术
日期:2023-03-27 23:52:55
点击:99
子宫切除术金标准 相关保守手术并无共识 No consensus relative to conservative surgery 选择取决于患者是否希望保持生育能力 Choice depends on whether the patient wishes to preserve fertility 保守手术- 深度亲润是重要的预后因素;熟练程度高;底水平...
[指南]
子宫肌瘤栓塞治疗指南
日期:2023-03-27 22:27:25
点击:99
世界上与子宫动脉栓塞的学术组织 英国 NICE National Institute of Health and Clinical Excellence RCOG Royal College of Obstetricians and Gynaecologists RCR Royal College of Radiologists 欧洲 CIRSE Cardiovascular and interventional Radiologica...
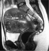
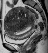
[子宫肌瘤影像学表现]
子宫肌瘤影像学
日期:2023-03-27 22:19:55
点击:274
子宫肌瘤治疗前影像学的角色包括: 确定子宫肌瘤的诊断 除外其它病例情况 决定子宫肌瘤的数目,大小和位置 = 子宫肌瘤的图谱以便决定可能的治疗选择。 超声: 超声的优点是便宜和容易应用的影像学方式,也是妇科检查的常规。丰富经验的老手足以决定子宫肌瘤...
[子宫肌瘤栓塞与生育]
子宫肌瘤栓塞对生育的影响
日期:2023-03-27 22:15:54
点击:154
10%~15% 的夫妇没有子女 子宫肌瘤作为不育的单独因素少于10% 1%~4%与子宫肌瘤相关的妊娠-平安无事 讲课提纲 学习目标 1. 了解子宫肌瘤栓塞对增加生育可能的角色 2. 了解此类患者特殊的技术考虑 3. 了解子宫肌瘤栓塞和生育的证据 子宫肌瘤的大小和位置决定是...
[临床并发症]
子宫肌瘤栓塞:临床并发症
日期:2023-03-27 15:23:14
点击:99
临床并发症 栓塞后综合征:疼痛、发热、呕吐、下肢酸胀... 血栓形成及其并发症:动脉血栓、静脉血栓 阴道不规则流血:内膜坏死、卵巢功能暂时紊乱 子宫梗塞(子宫肌层) 感染: 1-2.6% 化脓性子宫内膜炎、子宫积脓、败血症... 其他:神经损伤等...
[技术并发症]
子宫肌瘤栓塞:技术并发症
日期:2023-03-27 15:19:11
点击:99
1、子宫动脉栓塞技术并发症:和操作相关(可避免) 导管导丝引起子宫动脉痉挛或夹层 穿刺部位并发症 子宫动脉栓塞错误的终点:未达终点、过度栓塞、异位栓塞...
[禁忌症]
子宫肌瘤栓塞的禁忌症
日期:2023-03-27 15:13:58
点击:99
绝对禁忌症 Absolute 妊娠 Pregnancy 恶性卵巢癌或子宫癌Malignant ovarian or uterinecancer 泌尿生殖道感染Genitourinary tract infections 造影剂肾病的高风险High risk of contrast-induced nephropathy 相对禁忌症 Relative 带薄蒂的浆膜下平滑肌瘤,蒂...
[适应症]
子宫肌瘤栓塞适应症
日期:2023-03-27 14:43:18
点击:99
适应证 子宫肌瘤/子宫肌腺症 2008 美国妇产科协会 as a treatment option for patients who wish to retain their uteri 2018 中华妇产科杂志 子宫肌瘤及子宫腺肌病子宫动脉栓塞术治疗专家共识 子宫出血:产后、肿瘤 术前栓塞:减少术中出血 肿瘤、瘢痕妊娠...
标准作为一个名词意思是由权威人士或普遍认为,可以由其他人判断作为一个比较的基础的...
直到最近,子宫腺肌症一直与经产妇相关,而不是与生育力受损相关。目前,由于女性将第...
子宫腺肌症子宫动脉栓塞治疗有许多不足 具有挑战性的临床-放射学诊断 (无标准分类系统...
术后处理 栓塞后综合症的处理 子宫肌瘤栓塞是一个微创手术,其恢复期为7-10天。与手术...
1. 什么方法说服病人进行子宫肌瘤动脉栓塞最有效? 2. 和病人谈话时那些重要的并发症...
卵巢动脉供血 卵巢是子宫动脉供应的最常见另外一个来源。Nikolic B et alJVIR. 1999; ...