ALTERNATIVE TREATMENTS FOR UFE
Patient's age 患者年龄
Symptoms nature 症状性质
Medical and surgical history 医疗及外科手术史
Fertility preservation and reproductive goals 生育力保存与生殖目标
Fibroid's characteristic: number, size, and location 子宫肌瘤的特征:数量、大小和位置
Treatment options availability 治疗方案的可获得性
Operator's experience 操作员的经验
Patient's preference 患者的意愿/患者的偏好
(1)手术治疗
术式选择包括肌瘤剔除术和子宫切除术。开腹手术,经宫腔镜或/和腹腔镜,
4 routes of surgery: hysteroscopy, laparoscopy, vaginal route, laparotomy子宫切除术
在美国,每年需要进行600,000例子宫切除术。在这些手术中,大约有33%是针对子宫平滑肌瘤进行的。另一组数据显示,30%妇女在60岁时已经行子宫切除术,而其中60%是由于子宫肌瘤所致。每年仅因子宫肌瘤行子宫切除术的花费就为2千万美元,对于医疗体系而言这是一笔巨大的开支。子宫肌瘤的一些好发因素包括非洲-美洲血统、月经初潮早,以及高体质指数。
1. Uterine volume
2. Fibroids location,
3. Uterine mobility
4. Patient’s history
5. SURGEON’S EXPERIENCE、
Hysterectomy Route of surgery
4505 hysterectomies for benign disease (1990-2006)
* fever, bladder injury, benign infection
** haemorrhage, urinary fistula, rectal injury
子宫肌瘤切除(剔除)术(myomectomy)肌瘤剔除术是在持续硬脊膜外腔阻滞麻醉或气管内插管全身麻醉下,进行下腹正中切口或耻骨联合上横切口。在暴露子宫后根据子宫肌瘤所在部位,大小进行壁间肌瘤 浆膜下肌瘤,粘膜下肌瘤,宫颈肌瘤剔除术。主要优点是可以保留子宫,缺点是手术本身出血量较多。包括膀胱、直肠、输尿管等邻近器官损伤风险相对较高,恢复期较长。常常会出现复发症状,有20-25%的病人最终需要进行另一次手术治疗(常常是子宫切除术)。
浆膜下子宫肌瘤导致的临床症状或生育失败,子宫肌瘤切除术可以改善结果。与肌层内子宫肌瘤相关减少怀孕率,治疗的效果并不明显。因此,肌层内子宫肌瘤的治疗基于以前手术,以前怀孕的情况,合并症和肌瘤大小个体化考虑。但子宫肌瘤切除术的危险还包括出血,术后粘连(>50%,导致不育/生育减少),专TAH(2%~11%)
|
![]() |
![]() |
![]() |
|
基于影像、临床症状、文献证据和病人希望是决定治疗选择。这个病人是宫腔镜切除的良好适应症。子宫内避孕器(乙羟基二降孕甾烯炔酮 IUD)先试。因为左炔诺孕酮宫内缓释系统可以治疗子宫肌瘤。子宫动脉栓塞就子宫肌瘤的大小和位置是最小的侵入性治疗选择,但患者的主诉提示激素治疗也可能会成功。
Wamsteker classification (ESGE,European Society for Gastrointestinal Endoscopy 欧洲胃肠内窥镜检查术学会 )
![]() |
| -Typ 0: intracavitary-Typ I : < 50% intramural-Typ II: > 50% intramural |
宫腔镜
宫腔镜最好的结果是<2个肌瘤,<4cm。有效性,1年为94.6%,5年76.3%【5】。主要并发症包括灌流液过量吸收综合征(fluid overload),子宫穿孔,感染和粘连(synechia)
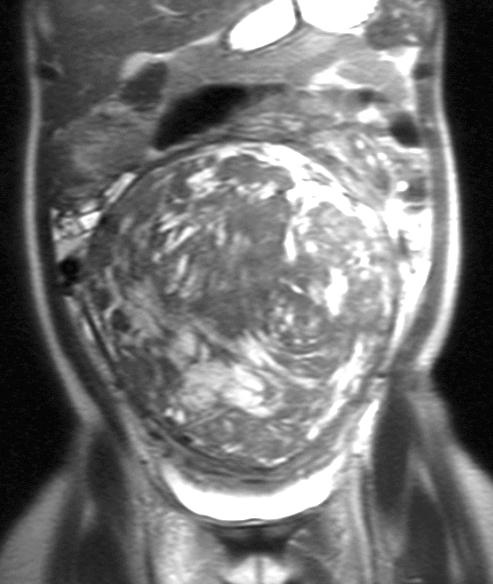
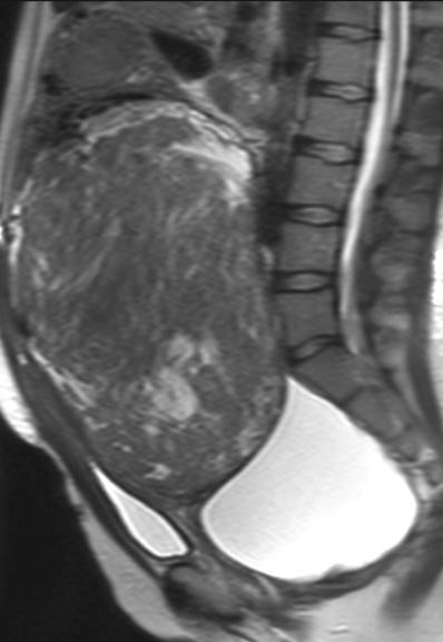
37 yold, G2 P2;超声提示浆膜下和粘膜下子宫肌瘤;月经过多,无肿块症状,妇科医生推荐宫腔镜
![]() |
![]() |
盐水超声(saline sonography)/宫腔内超声(hysterosonography)有帮助
直接进行子宫动脉栓塞
影像和临床症状有理由进行内膜组织活检
患者为宫腔镜切除较好适应症
- type 0 or 1 submucosal fibroids with bleeding or infertility
- Posterior wall > 5 mm
- 2 steps procedure (volume and location)
- Normal menstrual periods 85% (number, size, type)
- Pregnancy rate 50%
- Complications 1-5%
![]() |
![]() |
![]() |
![]() |
| 活检证实宫腔内为:Endometrial Polyp |
(2)介入治疗(经皮,经宫颈)
子宫动脉栓塞术
子宫肌瘤射频消融术,冷冻等新一代微创技术在子宫肌瘤治疗正在积极的探索中。
内科治疗(medical treatment ):症状轻的患者一般采用内科治疗,包括止痛药(OTC处方)、和口服避孕药(Progestin)、
消融术
子宫肌瘤消融的模式是破坏靶组织病减少周围正常组织的损伤。 常见情况从技术层面来讲 非侵入性/微创性保留子宫的一种手术技术 影像引导操作 针对性子宫肌瘤切除术,并能最大程度减少对周围正常组织的损伤 在轻度镇静或全身麻醉下 进行手术 同样能达到良好的技术效果
临床讲 保留子宫及器官功能 对卵巢功能或储备能力无短期或长期影响 - 无早发或提前绝经的风险增加 - 症状迅速缓解和恢复,并发症较少
热消融
射频消融,【Fasciani A 2023,Chen I 2025】
子宫肌瘤消融术 - 射频消融术
微创热消融术
- 腹腔镜、经宫颈、经阴道以及经皮手术
与子宫肌瘤切除术相比,大多数消融手术的治疗效果要好一些。
推荐的资格要求:
直径小于 5 厘米 / 体积小于 110 毫升
: “一次手术可治疗 3 个肌瘤”
FIGO 0-4 类型
与浆液层的安全距离大于 1 厘米
Medline 、EMBASE、Cochrane Registry of controlled Trials 【Chen I 2025】
49 篇文章中的 30 项研究(其中 3 项为随机对照试验,1 项为非随机对照研究)
不包括联合治疗
N = 3000
结果: 在三个月时,子宫肌瘤的体积减少了 46.0% 。 12 个月时为 -65.4% 在最初的 3 个月内,生活质量提高了 53.4%(UFS-QoL 评分)
微波消融,
微创热消融术【Liu Lu 2021】
- 13 至 16 G规格的针,其尺寸编号依据子宫肌瘤大小而定(约 5 厘米)。
- 具有连续式和脉冲式微波模式,功率为 50 至 100 瓦。
- 平均处理时间约为 34.48 分钟。
与射频消融术(RFA)和高强度聚焦超声(HIFU)相比的优势,【Simon CJ 2005 Hinshaw JL 2014】
- 持续保持较高的组织温度
- 更大的切除范围
- 更短的手术时间
- 对组织类型的敏感度更低,
- 结果更加一致;
- 手术过程中的疼痛更小(没有电流传导,不存在阻抗限制)

Peer-review journal from PubMed, Web of Science Core Collection, Cochrane Library, Embase, Scopus, and Google Scholar
2000 年 1 月 - 2021 年 1 月
10 项研究 (未包括联合治疗)
N= 671 人
结果:
- 症状减轻 66%,
- 血红蛋白浓度提高 30.3%
- 生活质量提高 72%(UFS-QoL)
- 子宫肌瘤体积缩小 85%

N = 123 名年龄超过 25 岁、且子宫肌瘤大小、数量或位置无任何限制的患者(肌瘤直径大于 10 厘米或肌瘤数量超过 5 个)
结果:——症状严重程度降低了 37% -↑ 生活质量提高了 74% -+ 月经出血量减少了 38% - 中位大小的肌瘤缩小率(最大的三个)为 64% - 97% 的患者当天即可出院
HIFU:子宫肌瘤消融术 - 高强度聚焦超声技术 在磁共振引导或超声引导下进行的非侵入性精确局部热消融(温度为 57°C,持续 1 秒)(超声引导下消融时间更短) 其首次应用始于 2002 年的中国,并于 2004 年获得了美国食品药品监督管理局的批准【Siedek F 2019】。
资格标准:
- 2 - 10 厘米 浆膜下河粘膜下 (皮下脂肪组织<4cm)
- 位于腹壁 < 10 厘米处的肌瘤 ↓
- 在 T2w 上呈强信号/等信号↓
- 在 T1w 上呈均匀强化 - 皮下脂肪组织(厚度小于 4 厘米)
- 未灌注体积比(NPV)~40%
- ↑ NPV/子宫肌瘤总负荷比值(NPV/TFL)比值
- 无子宫肌瘤钙化
- 超声波束前方无脏器
![]() |
![]() |
![]() |
| 术前 | 术前 | HIFI术后 |
子宫肌瘤的治疗面临挑战,磁共振引导高强度聚焦超声(MR - HIFU)是一种治疗方式,但过去部分限制性治疗方案已不再使用,其有效性需要重新评估。
研究目标
重新评估磁共振引导高强度聚焦超声(MR - HIFU)治疗症状性子宫肌瘤的有效性,排除已不再使用的限制性治疗方案。
研究方法
采用系统综述与meta分析方法,检索了美国国立指南库、Cochrane图书馆、TRIP、MEDLINE、EMBASE和世界卫生组织国际临床试验注册平台(ICTRP)数据库(检索时间从建库至2018年6月22日),关键词包括“MR - HIFU”、“MRgFUS”和“平滑肌瘤”。仅纳入对MR - HIFU治疗子宫肌瘤进行了至少三个月临床随访的研究,排除使用超声引导HIFU设备或非完全消融方案的治疗。主要结局是肌瘤相关症状的改善,技术结局包括筛查和治疗失败、治疗时间、肠道干扰缓解策略的应用和非灌注体积百分比(NPV%),其他次要结局包括生活质量、肌瘤缩小、安全性、再干预、生殖结局和成本。采用随机效应模型(DerSimonian and Laird)进行meta分析。最终纳入18项研究(1323例患者)。
核心结果
- 技术指标:治疗后即刻非灌注体积百分比(NPV%)均值为68.1%,使用肠道干扰缓解策略可提高NPV%。
- 临床效果:12个月时症状缓解率为59.9%,肌瘤体积缩小37.7%。
- 安全性:不良事件发生率低(8.7%),但不同HIFU系统间存在差异;随访3 - 33.6个月的再干预率为0 - 21%,随访时间越长再干预风险越高。生殖结局和成本因数据不足未能分析。
结论与局限
以完全消融为目标的治疗指南提升了MR - HIFU的有效性,但证据质量为低至中等,生殖结局与治疗成本因数据不足未纳入分析。需要通过对照试验明确其在子宫肌瘤管理中的定位。

生育结果 - 妊娠成功率为 36%(302/838) 活产率为 73%(69/94) 流产率约为 29.1%(25 例中 86 例) - 产程过程中未出现严重并发症【Verpalen IM 2019 Anneveldt KJ 2021】
并发症
并发症
- 皮肤烧伤
- 腰部神经疼痛
- 因俯卧姿势而产生的不适和疼痛
消融术 - 并发症
安全的消融方式
关于最常见的不良反应缺乏相关数据
没有出现重大并发症
报告的并发症:
邻近器官及血管的损伤(由外部因素导致的损伤)
子宫穿孔及随后的子宫切除手术
坐骨神经痛
肝损伤伴自行缓解
腹壁脓肿
非热消融
非热效应 → 细胞结构重组及细胞凋亡与死亡 - 不可逆电穿孔——IRE
(3)内科治疗
Medical treatment → symptomatic
期待疗法:
对于肌瘤较小,无症状,不怀疑恶变和无子宫肌瘤并发症的患者,特别是围绝经期病人,由于绝经期后卵巢功能减退后可能使子宫肌瘤肌瘤退缩或缩小,可采取期待疗法,即在临床及影象学方面实行定期随访观察(3~6个月1次)。根据复查情况再决定其处理。通常观察至绝经期肌瘤自然消退。但也有少数绝经期后女性子宫肌瘤不萎缩,反而增大。
药物治疗:
子宫肌瘤是有很多人都关注的疾病之一。因此,子宫肌瘤新的治疗方法的发展几乎发生在任何时候,包括外科治疗,非外科治疗以及药物治疗。作为从事这一方面治疗的医生,我们也需要不断更新关于子宫肌瘤药物治疗的知识。
子宫肌瘤为性激素依赖性肿瘤。我们都知道雌激素和孕激素在子宫肌瘤生长和发育过程中扮演重要角色。因此基于激素的治疗对:
1. 激素产生;
2. 激素受体;
3. 激素活性;
三方面的干预已经成为子宫肌瘤治疗的焦点。如应用暂时性抑制卵巢的药物如丹那唑(抑制垂体促性腺激素分泌)、棉酚、雄激素、孕激素等对子宫肌瘤有控制作用。
Fibroids and progestins( Lethaby, Cochrane 2005;Van Voorhis, JAMA 2009 )
- ↓Risk of fibroid development using MPA and the levonorgestrel intrauterine system ( Sivin, Fertil Steril 1994)
- ↓Bleeding (endometrial hyperplasia and/or antigonadotropic activity)
- type A et B progestin receptors in fibroids ( Nisolle, Hum reprod 1999 )
- ↑Mitotic activity in fibroids (Tiltman, Int J Gynecol Pathol 1985)
- ↓Fibroid size with mifeprostone (Murphy, Fertil Steril 1995)
![]() |
| Cui J, et al. Trends Mol Med 2013; 19:197-209 |
近年来一种新型抗妇科疾病药物,促性腺激素释放激素类似物(GnRHa)间接地减少垂体水平促性腺激素分泌,从而有效地抑制卵巢功能,从而减少子宫肌瘤对卵巢性激素的依赖达到治疗目的。
![]() |
1. 激素的产生-治疗的可能性
促性腺激素释放激素激动剂(Agonists)的机制
主要对于有轻微症状育龄女性要求保留生育功能者,因肌瘤可能导致不孕或流产,药物治疗后使肌瘤萎缩潜在促使受孕,胎儿成活的可能。绝经前妇女,尽管肌瘤相对较大但症状亦轻,应用药物后,使子宫萎缩绝经,肌瘤随之萎缩而免于手术。有禁忌症需要治疗后方可手术者,或不愿手术者。但所有患者选择药物治疗前,均宜先行诊断性刮宫做内膜活检,排除恶性变。尤其那些有可疑症状的患者
子宫动脉栓塞术
根据子宫肌瘤在子宫的位置对其进行命名。粘膜下、肌间及浆膜下子宫肌瘤为三种主要的类型,这是根据子宫肌瘤中心的位置而定。粘膜及浆膜子宫肌瘤都可以是带蒂的,它们与子宫体的连接程度,常常是决定UFE是否为最佳治疗选择的因素。子宫肌瘤可以贯穿肌层即从子宫的浆膜面一直延续到子宫内膜面。偶尔它们也可能起源于阔韧带,而在这一少见的子宫肌瘤类型中栓塞的作用尚不为人知。相关技术本站有详细阐述。
但为什么会选择栓塞治疗?和其它子宫肌瘤局部治疗一样,治疗的选择主要取决于成功的长期结果,包括症状长期控制,子宫肌瘤治疗后长期无复发(增强MRI),无需再干预治疗。这就需要子宫肌瘤在治疗后完全梗死,或将所有的子宫肌瘤梗死。而本站将回答:选择子宫动脉栓塞治疗子宫肌瘤的现代证据是什么?但不管怎么说,从2003年全世界才有500例左右的子宫肌瘤子宫动脉栓塞,2006年这一数据增加到1200,但到了2011年全球大约有20万人进行了子宫肌瘤子宫动脉栓塞的治疗说明这一方法的安全和有效性。
40 yold, G0 P0;MRI,较大间质内子宫肌瘤。月经稍多,肿块症状,逐渐长大。从未成功受孕;子宫肌瘤被认为是主要原因;目前不希望怀孕。因为肌瘤切除困难,妇科医生建议子宫切除。
![]() |
![]() |
| 2003/03 | 2003/03 |
- 子宫肌瘤脱落(Fibroid sloughing)常需要进一步的侵入性治疗
- 子宫肌瘤脱落应该被视为粘膜下子宫肌瘤子宫动脉栓塞后常见可能的结果,治疗基于病人的症状
- 子宫肌瘤脱落可能导致子宫广泛的重塑
- 子宫肌瘤的脱落经常与行经困难、分泌物增加和子宫肌瘤部分排出
![]() |
![]() |
| 栓塞后粘膜下子宫肌瘤排出 2004/06 | 成功受孕 2006/09 |
32 yold, G1 P0;3年前发现子宫多发肌瘤。月经量多,贫血(铁补充),痛经。患者此时不希望怀孕,但希望保留未来怀孕的选择。妇科医生建议她子宫切除
![]() |
![]() |
| 子宫动脉栓塞术前 | 子宫动脉栓塞术前 |
![]() |
![]() |
| 术后4个月 | 术后12个月 |
- 鉴于患者的年龄,非靶栓塞的风险降低患者的生育能力,而使子宫动脉栓塞行不通
- 子宫动脉栓塞就子宫肌瘤广泛性而言并不适合
- 病人应该被告知病变过于广泛,怀孕是不可能的,仅有子宫切除才能改善症状。
- 子宫动脉栓塞可以成功地控制症状,相对于外科是个有价值的选择。但是预期子宫肌瘤会复发。








































