子宫肌瘤动脉栓塞适应症: 适应症提示患者存在较好的预后因子。本栏目除了介绍潜在的适应症和禁忌症,也简单介绍治疗的结果。子宫肌瘤好的预后因子是什么呢?
子宫肌瘤栓塞的典型适应症(各种大小的单发的子宫肌瘤)
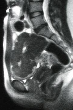
典型的子宫肌瘤栓塞适应症(各种大小的多发子宫肌瘤)
最适合进行子宫肌瘤栓塞的患者包括:
有些情况下,子宫肌瘤栓塞作为二线的选择。包括:
谁不适合进行子宫肌瘤栓塞术?
可能为子宫平滑肌肉瘤
1. 怀孕(pregnancy)不言而喻,已经怀孕的患者不能进行子宫肌瘤栓塞。
2. 子宫恶性肿瘤:子宫肌肉瘤;卵巢癌;子宫内膜癌(绝经期后出血或不规则出血) 。重要的是你能否识别子宫恶性肿瘤。 子宫内膜癌
3. 感染(any current infection):败血症,妇科或泌尿系任何活动性感染,输卵管积脓(Pyosalpinx),子宫内膜炎(相对?)。
4. 严重免疫抑制
8. Coagulopathy?
9. Intracavitary fibroid
10. Subserosal fibroid on a narrow pedicle
1. 无症状,或非典型性子宫肌瘤(Asymptomatic)症状:子宫肌瘤的症状为非特异性的。如果为非典型的症状要考虑其它原因引起,包括:
2. 经期后还在出血的病人(Postmenopausal patients with bleeding),子宫肌瘤在罕见的情况下才会发生绝经期后出血
3. 治疗效果差的子宫肌瘤(Poor outcom): 自我坏死的子宫肌瘤
自我梗死的平滑肌瘤:
4. 子宫肌瘤的某些亚型(Fibroid Subtypes) (1)浆膜下子宫肌瘤i 影像学发现的相对禁忌症包括带蒂浆膜下子宫肌瘤:应考虑子宫肌瘤切除术,或腹腔镜下的子宫肌瘤切除,特别是与子宫连接的蒂非常窄的情况下。因为它们可以轻易地分离子宫肌瘤与子宫的蒂。宫腔镜要考虑粘连的可能。子宫动脉栓塞有时难以造成子宫肌瘤的完全梗死,或潜在的子宫肌瘤脱离子宫落入腹腔内。但也有报告一项16例浆膜下子宫肌瘤,平均蒂直径2.7cm,5.9个月内39% 病例子宫肌瘤消失。影像学检查未再见增强,也没有并发症【1】。另一项报告29例带蒂浆膜下子宫肌瘤,栓塞后长期随访(平均33月,10~78月),平均带蒂子宫肌瘤梗死和整体梗死率分别为87%和92%,没有并发症【2】。
浆膜下子宫肌瘤栓塞前后
– 29 病人
– 长期随访 (平均, 33 月; 10–78 月)
– 平均带蒂浆膜下子宫肌瘤梗死率和平均全部梗死率分别为87%和92%
– 无并发症
Smeets et al, JVIR 2009; 20:1172–1175
(2)粘膜下子宫肌瘤:影像学发现的另一个相对禁忌症还包括粘膜下子宫肌瘤/宫腔内带蔕生长的子宫肌瘤:如果粘膜下子宫肌瘤蒂直径小于3cm,应考虑宫腔镜切除;如果蒂直径在3~5cm之间,使用GnRH激动剂缩小肿瘤后再进行宫腔镜或子宫肌瘤切除术。此类型子宫肌瘤栓塞可能导致子宫肌瘤经宫颈排出的风险,若子宫肌瘤排出困难除了疼痛还可以导致感染,白带增多或/和恶臭。
把粘膜下子宫肌瘤(Submucosal Fibroids)列为相对禁忌症是因为粘膜下子宫肌瘤的栓塞可能会有危险,这些危险包括
经宫颈不完全排出:Transcervical Expulsion
下腹部疼痛
感染 Infection
持续出血 Continuous bleeding
阴道分泌物增加 Vaginal discharge
坏死组织排出Passage of tissue fragments
子宫肌瘤坏死组织经宫颈排出
50%粘膜下子宫肌瘤栓塞后的患者可以体验到子宫肌瘤坏死组织排出
直径小于4厘米73%被排出
直径大于4厘米76%不能被排出,需要宫腔镜清除残余组织
子宫肌瘤栓塞术后+宫腔镜
(3)巨大肌瘤和子宫:病人子宫大小小于20周的情况下,适合子宫动脉栓塞,24周以后的情况下应行子宫切除术。
一项研究现实57例子宫动脉栓塞前病人,平均子宫肌瘤容积为541ml,平均子宫容积为1456(最大5627ml),子宫动脉栓塞后平均随访15.5月[3],肌瘤容积控制取得了良好的结果,出血,疼痛和肿块控制率分别为89%、93%和91%【3】。
巨大子宫肌瘤栓塞前后的对比(12个月随访)
巨大子宫肌瘤栓塞前和栓塞后36月对比
5. 其他疾病(Additional Disease):子宫内膜异位症(endometriosis),严重的子宫腺肌症(adenomyosis),子宫内膜息肉(endometrial polyp),子宫内膜增生(endometrial hyperplasia),不明输卵管或卵巢病变。 子宫栓塞的“1-2-3“ 协议
子宫腺肌症包括两种情况,子宫肌瘤合并子宫腺肌症,没有子宫肌瘤的子宫腺肌症。前者如果子宫肌瘤明显,子宫动脉栓塞是有效的。如果是后者局限性子宫腺肌症/腺肌瘤(adenomyoma)子宫栓塞可能有效。弥漫性子宫腺肌症子宫动脉栓塞的长期疗效不确定,并且有较高的复发率(40%~50%)。 6. 要求保留生育能力的女性(Fertility consider):子宫动脉栓塞后若病人怀孕,有早产危险,胎位不正,产后出血和子宫撕裂。
一项研究报告[4] 显示,58例子宫栓塞,63子宫肌瘤切除(自然分娩42,剖腹产21)。结果和以前的报告相似。
Walker 等人报告【6】1200子宫肌瘤栓塞术后怀孕的结果。其中要求怀孕的108人。56例妊娠,33例(30.5%,33/108)怀孕。成功怀孕33例(58.9%,33/56),其中早产6例(18.2%),剖腹产24.例(72.7%),17例流产。比较常规生产,剖腹产和早产增加。流产,产后出血增加,怀孕率低。但没有其它的产科危险。
但对于要求生育的人来说,子宫肌瘤的动脉栓塞损伤小。子宫肌瘤栓塞的临床成功率与子宫肌瘤切除术相同。但子宫肌瘤切除术在保留生育能力方面优于子宫肌瘤栓塞【4】。子宫肌瘤的动脉栓塞术作为有生育渴望的患者来说,可以作为子宫切除术前的一种选择或者作为再次子宫肌瘤切除术或广泛子宫肌瘤切除术前的选择。当然从技术层面考虑可以使用较大的微粒以尽量保留正常的子宫肌层,子宫内膜和卵巢动脉。
在适应症的选择上影像扮演着重要的角色。随着证据的增加,不同亚型的子宫肌瘤和子宫腺肌症的适应症可能会扩大。有关栓塞保留女性的生育功能仅仅是一种可能。
结论: 1. 不要以为自己有个锤子,看谁都像钉子 ![]()
即使是同样的子宫肌瘤,要求保留怀孕能力和不要求的患者,处理不一样。 2. 结论-推荐
当子宫肌瘤患者渴望成为母亲,你有什么建议? 1. Margau R, Simons ME, Rajan DK, Hayeems EB, Sniderman KW, Tan K, Beecroft JR, Kachura JR. Outcomes after uterine artery embolization for pedunculated subserosal leiomyomas. J Vasc Interv Radiol. 2008 May;19(5):657-61. 2. Smeets AJ, Nijenhuis RJ, Boekkooi PF, Vervest HA, van Rooij WJ, de Vries J, Lohle PN. Safety and effectiveness of uterine artery embolization in patients with pedunculated fibroids. J Vasc Interv Radiol. 2009 Sep;20(9):1172-5 3. Golzarian et al SIR 2004 4. Mara M, Maskova J, Fucikova Z, Kuzel D, Belsan T, Sosna O. Midterm clinical and first reproductive results of a randomized controlled trial comparing uterine fibroid embolization and myomectomy. Cardiovasc Intervent Radiol. 2008 Jan-Feb;31(1):73-85. Epub 2007 Oct 18.
| ||||||||||||||||||||||||||||||||||||||||||||||||||||||||||||||||||||||||||||||||||||||||||||||||||||||||||||||||||||||||||||||||

