阑尾周围脓肿的经皮引流 经皮膈下脓肿引流 经皮盆腔脓肿和积液的引流 肝脓肿引流 经皮腹腔脓肿引流
返回首页
  • [诊断性抽吸] 诊断性抽吸 日期:2018-05-06 06:50:28 点击:115

    在放置导管之前进行诊断性细针抽吸,这样做有三个目的。 1. 它能够证实存在积液 2. 确定积液是否有感染 3. 确定内容物的粘稠度是否足够低而能够顺利引流。 显示为脓肿的征象包括CT上显示有气体或增强CT显示有富血管边缘,但这些征象都不很常见,而可以引流的...

  • [静脉用药] 静脉用药物 日期:2018-05-06 06:46:51 点击:111

    静脉用药物 应该建立静脉通道给予抗生素和止痛剂。在操作过程中可以应用广谱抗生素,覆盖多种病原菌,包括厌氧菌,这样可以对抗导管操作和灌洗过程中导致的菌血症。持续应用广谱抗生素,直到细菌培养结果指示另一种针对性更强的抗生素。 为了在操作过程中保...

  • [会诊] 经皮盆腔脓肿引流的术前会诊 日期:2018-05-05 22:06:40 点击:115

    尽管介入放射学(IR)在近几十年来获得了空前的发展,越来越多的临床医生认识到经皮引流在治疗盆腔脓肿的重要性。但与外科技术相比较,介入放射学技术的标准化程度较低,很多外科技术已经经历了很多代医师的传递,有着严格的规范和技术标准,但经皮盆腔脓肿...

  • [技术和程序上考虑] 技术和程序要求 日期:2018-05-05 17:53:36 点击:110

    要决定进行PAD,前提需要有安全的入路,可以接受的凝血指标,以及适宜的机构给予知情同意。...

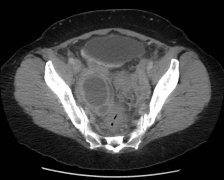
  • [影像学诊断] 盆腔脓肿的影像学诊断 日期:2018-05-05 17:20:43 点击:109

    CT影像技术使脓肿的定位得到改善,因而使得脓肿的死亡率大幅下降。 超声(US)往往是最方便的方式,价格相对不贵,可以移动,并且是确定液体的最可靠的手段。由于上述原因,超声对重症监护以及术后病人有其有帮助。然而,有时候覆盖在脓肿上面的肠管或腹腔内...

  • [适应症和禁忌症] 盆腔脓肿引流的禁忌症和适应症 日期:2018-05-04 23:26:50 点击:144

    对脓肿采取何种治疗将部分取决于潜在的疾...

  • [盆腔引流的功效以及原则] 盆腔经皮引流的功效以及原则 日期:2018-05-03 23:00:25 点击:116

    尽管有现代的抗生素治疗,未引流的腹腔脓肿造成的死亡率仍然高得难以接受,达到了50-80%。 治疗原则如下: 1.将脓液完全排空。 无论采用手术还是介入放射学的方法,只有在完全排空脓腔内容物时,治疗才能发挥最大的效果。使情况不稳定,疾病严重的病人在数...

  • [常见部位和病因] 盆腔脓肿和积液的常见部位和病因 日期:2018-05-03 21:06:38 点击:130

    盆腔积液可以是腹腔内的,也可以是腹膜外的。 要了解脓毒症扩散的路径,就需要掌握盆腔腹膜的解剖知识。盆腔腹膜后(外)间隙向上延伸至盆腔边缘,髂血管,以及盆腔结肠系膜,向下延伸至腹膜反折至直肠前壁。腹膜反折向前延伸覆盖男性的精囊和膀胱以及女性的...

  • [概论] 经皮盆腔引流概论 日期:2018-05-02 23:47:58 点击:110

    介入操作在1980年代就出现了,而盆腔脓肿的经皮引流是其中较晚发展起来的项目。 在1970年代出现CT之前,由于典型盆腔脓肿的位置深在并且解剖关系复杂,因此除了开腹手术就无法对其进行诊断和引流。此后,CT能够对盆腔脓肿进行精确的描述和定位,但常常无法找...

  • [影像学表现] 阑尾周围脓肿的影像表现 日期:2015-12-07 22:22:14 点击:121

    静脉注入造影剂后进行CT检查能够可靠地对阑尾炎的并发情况以及阑尾切除后的炎症进行分期,这样能够合理地选择药物,手术,或经皮治疗。阑尾周围的蜂窝织炎在注射造影剂后是CT值为20Hounsfield(HU)单位或更高的一团软组织密度影。而阑尾周围脓肿是边界清楚...

推荐内容
  • 盆腔脓肿的穿刺入路

    有很多描述用于盆腔脓肿引流的入路。 经腹 经腹引流的优越性在于操作者比较方便,病人...