有很多描述用于盆腔脓肿引流的入路。主要是由于盆腔脓肿有时位于盆腔的深部,选择穿刺路径需要避开许多重要的脏器和解剖结构,其情形犹如足球赛场罚点球,需要晃过对方。
经腹(Transabdominal)
经腹引流的优越性在于操作者比较方便,病人在操作过程中可以处于比较舒适的体位,并且能够安全简易地进行皮肤固定。缺点在于操作不慎可能会对髂外或腹壁下血管造成损害,这是因为要避免刺破肠道,子宫或膀胱而必须采取侧向入路;经皮经腹穿刺也有造成腹腔污染的可能,主要由于穿刺通道较长。尽管有CT引导,但这条通路有时无法用于盆腔穿刺。
经臀(Transgluteal)
在无法采用经腹入路时,这条入路提供了一个有别于手术的备选方案。这需要在CT引导下精确地放置导管,并且需要熟悉局部解剖。
穿过坐骨大孔的结构有梨状肌,坐骨神经,股上和股下血管,股上神经,到大腿的股后皮神经,到闭孔内肌的神经,以及阴部内血管。坐骨神经由骶丛神经向下延伸而形成,从坐骨大孔前三分之一穿出,在骶嵴韧带髂嵴附着点后方穿行。 Anatomy is the key ![]() Butch RJ, Mueller PR, Ferrucci JT et al; Radiology 1986; 158:487 理想的经臀穿刺盆腔的部位是通过骶棘韧带向内,这样就能避免刺伤坐骨大孔内的神经血管结构。骶棘韧带很薄,能够在CT上清楚地同梨状肌区分开来。在少数病人中,盆腔积液的位置决定必须从梨状肌处穿刺。对于这种病人,进针时要尽量接近骶骨,这样仍然能够避免伤害骶丛和坐骨神经,尽管股血管仍然有被刺伤的危险。曾有报道,有一例单纯透视引导下从坐骨大孔进行经臀PAD的病例发生了严重的出血。
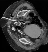
经臀路径
经臀路径 主要的并发症是损伤坐骨神经(sciatic nerve)和臀部血管 导管的进入尽可能地在骶棘韧带水平贴近骶骨 坐骨神经和臀血管在这一水平上更靠外侧 如果骶棘韧带路径不能够用(皮肤感染或肠道干扰),梨状肌和穿过尽量向内侧以避免坐骨神经损伤 经梨状肌的路径可以增加疼痛。 经臀路径:神经疼痛
经臀路径最常见的并发症就是术后疼痛,疼痛可以在局部,或在盆腔深部,或放射至腿部。这种疼痛是同导管穿过梨状肌和骶丛的放置位置有关的,经验表明,这种疼痛一般比较轻微,并且在24小时内会自行缓解。软导管比硬材质的导管能够得到更好的耐受,但是要通过臀大肌插入软导管会更加困难。充分地扩张和分离通道能够对这种情况有帮助,就像套管技术那样,增加导管插入系统的硬度。病人平卧或坐起可能会使导管绞结。
经臀-需要在骶棘韧带以上入路(高位经臀穿刺) High Transgluteal Drainage
高位经臀穿刺,需要在知情同意书上专门强调出血和针道疼痛的副作用较通常高
扫描架倾斜,扫描安全的进针途径 ![]() 经阴道(Transvaginal) 经会阴和经直肠穿刺通常也被成为经内腔(transendocavitory)穿刺引流。经阴道对盆腔脓肿进行手术引流是一种较成熟的方法,具有确定的益处,但大多数情况下,积液都使阴道壁移位,使这条通路的应用受到限制。可以在超声引导下进行引流,这样可以准确地将针头或导管放入积液内,这个积液的位置可以毗邻阴道穹窿,但没有使之变形。
最早关于经阴道脓肿引流的报告是在经腹超声引导下进行的。经阴道超声有更高的分辨率,增加了诊断的敏感性以利于更精确地放置导管。这项操作并不一定要在手术室里进行,如果使用了Seldinger技术,在操作过程中联合使用透视,来辅助导管的定位。
无须使用引导扩张器。让病人排空膀胱,处于截石位,用消毒溶液擦拭阴道,同时用一把长钳拉住宫颈固定。通过最开始置入的长穿刺针直接给予局部麻醉。同样也需要给予静脉镇静。因为刺破阴道壁有时候是比较困难的,如果需要插入一个引流管,可以在阴道穹窿上用一把长手术刀切一个小口子,使用引流导管内有金属加硬器的比较优越。如果采用自锁扣式导管,在保留导管时就无须缝合阴道壁或大腿。
Transvaginal Drainage
早期的研究结果表明,经阴道脓肿引流是安全有效的,其成功率可以同经腹引流相比较,但在技术上可能稍难一些。这种方法相对疼痛较少并且能够很好地耐受。对小的非粘性积液单纯应用细针穿刺的作用还有待确定。
经直肠(Transrectal)
同直肠相临的脓肿可能可以经直肠引流。经直肠入路进行外科手术引流的方法已经比较成熟,但一般需要全身麻醉并且要求经直肠能够触到脓肿。在影像引导下进行引流就能克服这些问题,并且有多种手段可以进行这种引导。透视引导的引流就是在肛镜或一个改良的enema tip下插入针头。也可以采用CT引导。
最早描述的超声引导方法是经腹的,最近已经出现了经直肠超声并且可以同透视联合应用。 US-Guided Transrectal Drainage:Seldinger technique
在直肠前部或后部的脓肿都可以经直肠引流。不要求可以触到脓肿。使病人处于左侧卧位,在影像监控下将针头插入直肠,针头原来是回缩在它的鞘里的。可以用带着手套的手指,塑料管,或活检导轨贴附在经直肠探针上,根据采用的影像学方法帮助针头的定向。整个过程几乎是无痛的,并且可以有相当好的耐受。通常不必要进行局麻和静脉用镇静剂。在使用锁定导管(locking catheter)时,不需要固定皮肤,但病人下地活动时就必须固定皮肤了。
这项技术的一个缺点在于导管的早期脱出,在排便时就可能发生。这样脓肿就可能重新形成,但通常可以通过再次经直肠引流治疗。Lomas等人认为使用大管径的导管将会在导管脱出的情况下仍然保持通道开放,但这一点还没有得到证明。总体的成功率可以同经腹引流相比较。
没有B超引导也可以考虑在透视引导下直接穿刺
Hartmann‘s术后,吻合口瘘的的横向思维
经吻合口瘘引流
经会阴(Transperineal) 经会阴穿刺的应用比较少见
经窦道入路
穿肠道盆腔脓肿细针抽吸引流 仍然不是所有的盆腔脓肿可以得到安全的引流 究竟谁是脓肿? ![]() Maher M M et al. Radiographics 2004;24:717-735 观察临床是否稳定,脓肿的体积是否增大或缩小,否则用20G穿刺针,经肠袢穿刺抽吸脓肿
Never say never,永不言败, |






































































