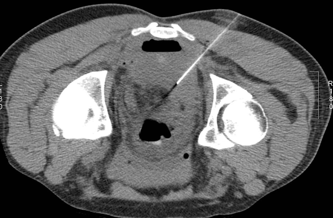
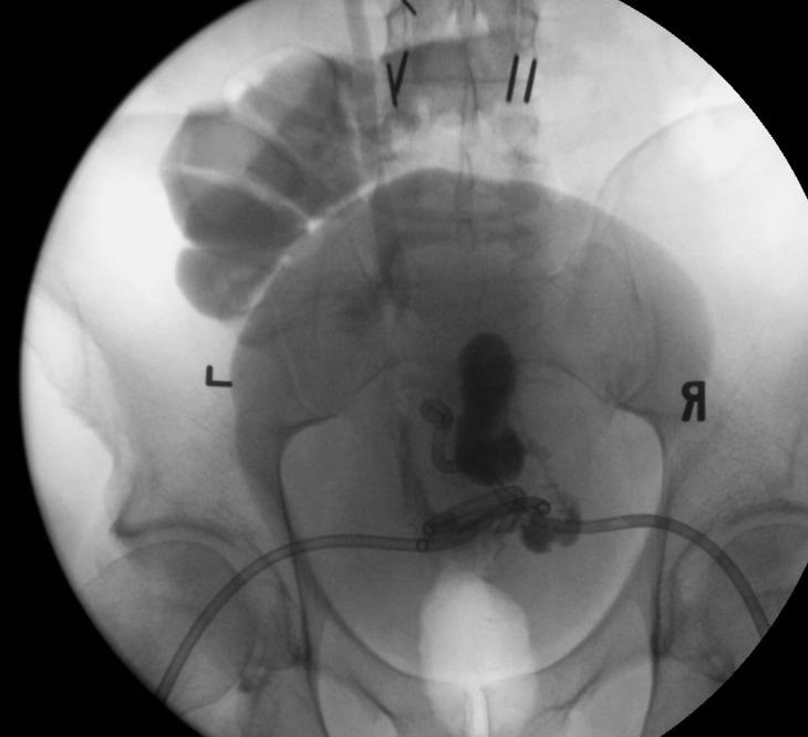
导致肠脓肿的原因可能有手术肠切除,吻合口瘘,或炎性疾病导致肠穿孔,尤其是憩室炎,阑尾炎,以及Crohn病。 在许多这类病人中都会出现脓肿和肠道的连接,宽泛地定义为瘘管形成。 认识到瘘管的存在是很重要的,如果提前拔除脓腔引流管会导致脓肿复发,除非脓腔同肠道的交通闭合。诊断存在交通对确定脓肿形成的原因也很重要,这样能够更好地放置导管使之有利于交通的闭合,并且能够确定适宜的营养支持方式。有了现代技术的支持,肠道脓肿的治愈率可以达到70-90%。 如果存在肠道交通,可以在CT上看到气体,口服或直肠注入的造影剂溢出腔外,或是在积液内部存在长的气液平面,积液临近肠管,以及存在已知的胃肠疾病。可以在插入导管3-5天后进行脓腔造影证实诊断,因为这时候可以用造影剂使脓腔充盈而没有造成菌血症的危险。将导管放在合适的位置上注射造影剂,并且对腔内任何“鸟嘴样”的区域在透视下经引流管的成熟窦道用适宜的普通导管进行小心地探查,常常可以提示存在交通,否则这样的交通常常被忽略。有时候,交通在引流后两周还未能显示。 大多数肠道脓肿,包括那些因术后肠道损伤,吻合口瘘,阑尾炎,以及憩室炎导致的脓肿,都以一个低排量的“瘘管”有关,每天的引流量小于100mL。这种脓肿一般对PAD反应良好,前提是基础的肠管是健康的,并且能够自行愈合。导管的位置应该能使侧孔尽量接近交通的开口,但脓肿其它的部分也应该得到引流。对于大多数病例,一根引流导管就可以达到目的了,但有时必须使用两根以上的引流导管。病人一旦退热,就可以出院,门诊病人可以每7-14天作一次脓腔造影,直到脓腔的交通愈合。病人在家时应该记录导管的引流量。 对有高排量“瘘管”的脓肿进行PAD时需要更长时间,更大强度的治疗,而成功率却较低。必须排除潜在的肿瘤性病因,并且必须进行适宜的肠腔造影检查排除远端肠道梗阻。可以通过胃造瘘或鼻胃管或鼻空肠管控制肠道分泌。如果交通的瘘管从小肠的近端发出,而空肠营养管的远端可以放置在瘘口以远从而保证没有返流会进入瘘管,这种情况下就可以经肠给予营养。如果不是这样,就应该开始全肠外营养。必须严密地监测电解质平衡和代谢状态。可以将一根大管径的引流槽引流管放入脓腔的游离部分,把另一根导管放在瘘管的开口处,或最好是放在瘘管内堵塞这个通道,这样就完成了PAD。 随后,用一根小管径的导管更换这根导管,然后慢慢地将其撤出,使脓腔愈合。这种情况需要延长导管引流的时间,在开始引流后12周才会愈合。进行实体器官移植而免疫抑制的病人能够得到成功治疗,但往往需要更长的引流时间。对于那些PAD不成功而需要手术的病人,PAD仍然起到了暂时治疗和改善临床状态的作用。 病例1 42岁,睾丸癌病史,Lynch 综合征 II期(pT3c N0 M0)进行结肠切除和回场-直肠吻合术
右侧14F多用途引流导管
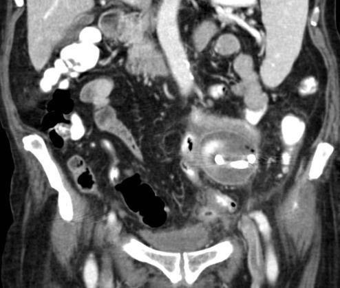
骶前积液明显减少
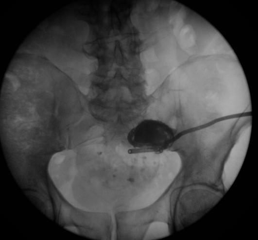
病例2 乙状结肠憩室瘘
第18天
|









































