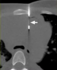
在历史上影像引导的经皮活检在肿瘤患者的管理中,确认癌症的诊断和疾病的分期发挥着重要的作用。影像学引导经皮肺活检被推荐用于可能为中、高级别病变的活检。通常希望获得明确的组织学诊断。这种诊断有时至关重要,以发现特定的突变,从而进行靶向治疗。生物标志物(EGFR,ROS-1和PDL-1....)在许多实体肿瘤的治疗决策中发挥着重要作用,不仅仅是在最初诊断时,而且在疾病的发展过程中。活检的方法很多,包括超声、CT,甚至是透视。除了设备条件,实性结节的位置,深度,大小和操作医生的经验和偏好也非常重要。目前对于肺活检依然以CT引导下的活检为主。 这一切从哪儿开始?
在我们现在常规,甚至是强制性的技术,在当年是新技术
这篇早期关于活检的文章发表在40多年前,读起来感觉活检技术发展的历史进展。 曾经透视CT是最为普遍的技术,但因电离辐射较大,较少有人问津。而CBCT的诊断精确性也可以达到94%。
为了进行图像引导下的肺活检,有两点没有变【Venkatesan 2011】
近年来,通过影像软件,将术中CT/CBCT/MR/超声影像与PET影像融合(fusion imaging)引导活检穿刺。【Cheng 2015;Abi-Jeoudeh N 2012; Purandare 2013;Rotolo 2016】。以获取有效样本
为什么说在高代谢部分取样能获得满意的取样? 比较SUV值最大区域和SUV值最小区域的活检标本,评估活检的组织学质量。 材料和方法 病人特征
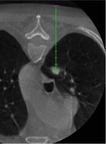
其中有10例患者,病灶直径>3cm ,PET扫描显示示踪剂吸收不均匀,在最大SUV值和最小SUV值各穿刺取样两次。 ![]() 平均直径6.3 说明病变较大 PET/CT 与CBCT 影像融合(技术1)
肺活检PET与CBCT融合图像(技术2)
双活检技术注意(技术3)
结果1 ![]() 结果2 ![]() 结果3 ![]() 结果4 ![]() 结果5 ![]() 研究的局限性
PET提供的代谢信息,引导在更高的SUV区域(肿瘤细胞更丰富)进行经皮活检,从而为规划肿瘤治疗获得更多有用的信息。
时至今日,个性化治疗要求影像学肺活检提供充分有效的样本。这些样本可以显著地影响分子和基因的分析,也影响更多更个性化的治疗实施。。
PET/CT是进行全身肿瘤分期和功能评估的有效工具。PET/CT辅助CT引导下肺活检是否为组织取样提供更便利化,更好的有效样本,从而减少重复操作的需要,也降低患者的并发症? ![]()
18FDG-PET提供的功能和代谢信息显示了提高诊断率的潜力【 Hillner 2008】
- 引导组织学取样到病变中最活跃的部分
- 增加了活检所提供的分子信息
PET-CT引导下的活检一直很难或不可能进行,
Ghassan El-Haddad PET Clin 11 (2016); 333-349
CBCT融合成像引导的基本原理:
有多种融合方法,包括光学成像、基于图像的成像和电磁跟踪成像。
在CBCT成像下的肺病变活检与以前的PET-CT融合
CBCT+PET-CT图像融合引导下活检的操作步骤
1. 将先前获得的PET-CT扫描被导入工作站。
2. PET-CT扫描图像与CBCT图像配准融合
配准包括手动识别两个数据集中的同源地标,然后通过平移和/或旋转对它们的对齐进行优化。
3. 基于融合的PET-CBCT数据,计划穿刺针路径指向PET-高代谢的目标
4. 基于这一计划,活检针被定位在实时反馈与目标解剖和配准代谢活动的关系。
5. 使用相同的成像融合方案获得CBCT数据来确认针的定位。
6. 获得组织样本。 7. 最后,最后一次CBCT获取潜在并发症的图像 病例介绍
First case in the N.Abi Jaudeh report 2012
连续20例肺部病变患者(年龄24-74岁,17名男性,3名女性)接受了全身18F-FDG PETCT检查,被纳入研究。
2患者在既往活检中恶性细胞阴性,因此需要PET引导活检确认。
1患者静脉注射2mCi的FDG,在等待60 min再分配示踪剂后,计划直接在PET引导下进行活检。
设备:
PETCT扫描仪
ADW 4.6专用PET-CT融合工作站,用于计划。
18 G同轴活检系统。
程序:
所有的手术都是在日间(daycare)的基础上进行的。
计划在PET/CT研究的同一天 (在注射FDG后7小时) 或在确保患者的辐射排放后的第二天。
患者位置:
根据病变位置的卧/仰卧
皮肤到病变的距离最短
最佳针路
引导组织活检在获取组织样本进行分析中起着重要作用。
CT引导通常用于肺活检。通常情况下,活检的样本可能假阴性。
在这些情况下使用PET-CT指导有助于组织取样,从而尽量减少重复程序,并显著降低患者的发病率
20例患者中,所有活检均显示癌细胞,足以用于其他各种组织分析;建议进行PETCT引导下的活检。
SUVmax值为2,5是18-FDG PET检查时鉴别结节摄取的阈值。没有葡萄糖代谢证据的“阴性”结节组需要显著的更长的手术时间、更高的辐射暴露和更高的技术失败率(p=0,05)。
除了病变小(<2cm)和基于病变的位置,技术失败可能的另一个原因是PET/CT(-)的结节。PET阴性结节经皮活检表现不佳的病变可能是由于组织的细胞密度较低,或者因为阴性结节更有可能代表一种良性疾病,而且众所周知,肺活检在评估良性肿瘤方面的表现比恶性肿瘤更差。
PET-CBCT的融合图像也可以考虑。CBCT可以通过现代血管造影系统获取CT横断面图像。结合专用的软件,使其成功地应用于指导经皮活检。 ![]() 通过工作站把先前患者的PET与CBCT的图像融合进行CBCT引导下的肺活检
通过CBCT经胸经皮肺活检是一种安全且有用的鉴别肺结节的方法。在大多数情况下,在怀疑肺癌的组织学诊断是必要的,以进行靶向治疗和寻找特定的突变。特别是,由融合图像18F-FDG-PET/CBCT提供的解剖和代谢信息提高了组织学诊断的准确性,降低了假阴性的数量和增加获得最终解剖病理诊断的概率。
1. 术前CBCT扫描
规划与虚拟导航软件
2. 确认CBCT
3. 术后CBCT
| |||||||||||||||||||||||||||||||||||||||||||||||||||||||||||||||||||||||||||||||||||||||||||||||||||||||||||||||||||||||||||||||||||||||||||||||||||||||||||||||||||||||||||||||||||||||||||



















































































