|
[血胸]
经皮肺穿刺活检并发症:血胸
日期:2023-10-11 22:30:39
点击:99
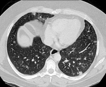
81岁女性患者行CT引导下右上肺叶肿块肺活检。 18g半自动同轴针三次取样。 穿刺完成时CT显示肺泡出血,患者出现轻微咯血。 病人住院进行监护。一般情况下在协和医院大多数肺活检是在门诊进行的,监测时间1-2小时。 患者4小时后出现低血容量性休克,这是肺活检...
[盐水注射]
减少气胸的技术因素:穿刺针道注射
日期:2023-10-10 21:02:27
点击:99
CT引导下经皮肺活检时,是否用生理盐水封针道有利于降低气胸的发生率? 连续接受CT引导下肺肿瘤活检的患者。 2017年8月至2020年10月,连续126例患者(A组)进行了无盐水密封活检。随后, 在2020年11月至2022年12月期间,连续80例患者(B组)接受了活检,随后进行...
[禁忌症]
经皮肺活检的禁忌症
日期:2023-04-16 22:49:20
点击:99
经皮肺活检禁忌症 Contraindications Proceeding to biopsy without taking special precautions is not advisable for a number of pulmonary, bleeding, and other risks. 对于一些肺部疾...
[肺癌伴寻常型间质性肺炎]
肺癌伴寻常型间质性肺炎
日期:2023-03-13 22:39:42
点击:99
...
[分子表型诊断]
分子病理诊断
日期:2023-03-13 15:51:52
点击:99
近四分之三的非小细胞肺癌(NSCLC)患者在诊断时处于晚期【 Chen L 2019 ; Conde 2022 ; ALA 2022 】。其中60% - 80%的患者 (分别为西方和亚洲人群) 存在基因组改变可进行靶向治疗,这目前是非小细胞肺癌癌的主要管理方式 【 Hanna NH 2021 ; Tan AC 2022...
[凝血酶]
凝血酶针道注射预防气胸和出血
日期:2023-03-13 14:21:30
点击:99
为了减少气胸和出血有许多的尝试。 中国学者【 Zhou SQ 2022 】探讨CT引导下经皮胸肺活检(PTLB)后活检道注射凝血酶是否能减少气胸和肺出血。 对2020年1月至2021年3月期间计划接受PTLB治疗的未确诊肺部病变患者进行回顾性研究。将患者分为血凝酶组和非血凝酶...
[细针穿刺]
细针穿刺细胞学活检
日期:2023-03-13 13:41:02
点击:99
CT引导下经皮肺活检是肺结节诊断策略的重要组成部分。此外,由于靶向治疗的可用性,对标本的基因突变研究已经变得和癌症诊断一样重要。究竟21G细针抽吸细胞学活检(FNAB)在: 组织学和分子特征方面的诊断性能如何, 选择FNAB的并发症发生率 影响诊断的因素...
[胸管引流]
肺活检并发症气胸的处理:经皮胸管引流
日期:2023-03-13 11:12:07
点击:99
发生率 27-54%,需要放胸管引流的情况并不常见,约3-15%需要穿刺引流【 Wiener2013 】 气胸可在胸膜穿刺后的任何时间发生,但发生在取出共轴穿刺引导针后更常见。CT引导下肺活检后的管理在操作者和医院之间差异很大。文献中关于常规CXR监测PTX的时间没有共识...
[中风]
肺活检并发症:中风
日期:2023-03-13 08:15:46
点击:99
大多数肺活检是为了诊断目的,以确定肺部病变是否为感染性、炎性或恶性【 Lang D 2018 】。肺活检的并发症包括咯血、气胸,以及少见的空气栓塞引起的缺血性中风【 Lang D 2018 】。中风的其他原因包括血栓栓塞性中风,这是由血液凝块在血管系统中形成并传播...
[支气管镜]
支气管镜路径肺活检
日期:2023-03-13 08:00:19
点击:99
经皮组织学活检(percutaneous core needle biopsy) 2005【 Aviam 2005 】 70%常规CT,22%透视CT;8%透视 2016【 Lee 2017 】 60%常规CT;35%透视CT;5%透视 透视CT虽然增加了准确率(Accuracy)-Hiraki et al 但更贵,增加电离辐射的暴露 2020 78%常规CT;...