CT引导下的肺活检是一项精确的诊断技术。但也是介入放射科医生面临最多并发症的一项操作。气胸是经皮肺活检并发症里最常见的并发症(25%)【Heerink 2017】,尽管绝大多数气胸不需要处理,少数病人:
1. 气胸的发生率和临床意义据报道,气胸在经胸活检中的发生率为10%到60%。并不罕见,如果经过胸膜腔,上腹部器官的活检也可能变得更为复杂。在经胸活检后,2-20%的病人需要留置胸腔引流管(气胸中的10-60%)。 2. 气胸发生的危险因素
研究显示,接受PTLB(percutaneous transthoracic lung biopsies)的患者气胸发生率和胸腔引流管插入率显著降低。 胸腔引流管插入有其额外的风险,如肋间血管出血、感染、引流管位置错位和移位。 盐水注射组比对照组胸部引流管插入的减少,在操作,消耗品应用方面有相当大的节省,避免了额外的住院时间。 向胸膜腔注射盐水
发生气胸的危险因素
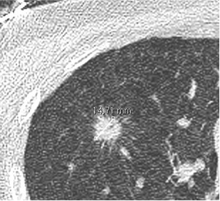
针直径大小气胸的风险(3917例,4262次活检)【Kuban 2015】
多变量逻辑回归模型显示,使用18号针头与更高的气胸(p<0.0001)发生率和胸管放置率相关(p=0.0003)。主要危险因素老年、肺气肿、胸膜表面多次穿刺,针道较长(病变深)
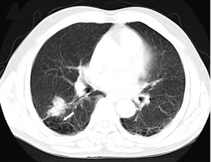
Aerated vs Non Aerated Lung
在381例患者中,249例活检针道穿过了充气肺组织,132例活检未穿越了充气肺组织,穿过肺组织的患者气胸发生率明显更高
Among 381 patients, 249 biopsies traversed aerated lung tissue, and 132 biopsies did not traverse aerated lung tissue Patients in whom areated lung tissue was traversed had a significantly higher rate of pheumothorax
慢性阻塞性肺疾病(COPD)的存在可能会造成稍高的气胸风险,但其影响是轻微的,而且COPD不应当作为活检的禁忌症。应当谨慎选择活检针的路径,以免刺入肺气肿肺大泡。COPD患者肺脏储备能力下降,一旦发生气胸就更有可能出现症状并需要胸腔引流管治疗。将一个不合作的病人处在较高风险中,而活检过程中无法屏住呼吸应当作为活检的相对禁忌症。使用16G或更大的切割穿刺针会造成更高的气胸发生率,但18-至22G的穿刺针没有显示出显著差异。 胸壁的厚度也被认为是气胸的相关因素之一 Lung biopsy with co-axial technique: the importance of chest wall thickness in relation to pneumothorax
Diagnosis was obtained in 102 patients (95,3%). PNX occurred in 22,4% (23 patients), 8,4% (9 patients) required chest drainage
胸壁厚度、病变大小及患者体位在统计上与单变量PNX相关分析 (p = 0005; p = 0004; p = 0013)
使用逻辑回归模型,只考虑变量统计 p<0.1,;气胸与进针部位胸壁厚度有显著性 (p= 0.041)
这一发现的可能解释是由于壁厚减少针的稳定性下降,可增加胸膜表面创伤。对解剖结构的正确评估和活检的初步计划可以降低与操作员因变量相关的气胸的风险。
3. 减少气胸的技术因素(1)患者的体位穿刺结束后立刻将患者身体穿刺一侧摆在下方,能够造成重力性的肺不张,使胸膜穿刺点压迫在胸壁上,理论上是有益处的。尽管唯一的对照研究并未显示其减少气胸发生率的有效性,它似乎确实降低了使用引流管胸廓造口术的需要。但编者认为经皮胸腔引流如此成熟的时代,质疑让患者费力侧卧是否值得。 (2)患者呼吸控制 (3)针道封堵 1)自凝血块注射
有几项技术改造以降低气胸的风险。血凝块栓塞技术包括,在撤出共轴导向针的过程中,向活检路径中注射自身来源的血凝块,以封闭胸膜穿刺点。对此项技术唯一的对照研究并没有证实其具有任何益处。
| |||||||||||||||||||||||||||||||||||||||||||||||||||||||||||||||||||||||||||||||||||||||||||||||||||||||||||||||||||||||||||||||||||||||||||||||||||||||||||||||||||||||||||||||||||||||||||||||||||||||||||||||||
![]() |
| 在CT引导下肺活检后,当取标本取样≥4次、或经验不足的操作人员取标本和从下肺叶取标本时,IBP(intraparenchymal blood patching)显著降低了气胸的发生率,特别是位于肺较深处的病变。 |
自体凝血封堵针道的前瞻性随机对照研究
![]() |
| 自体肺实质内针道修补的使用大大降低了气胸需要放置胸管的比率。使用19号导向针似乎更有益。 |
减少胸膜腔穿刺引流我们可以做什么?How can we reduce the risk of pleural drainage?
![]() |
![]() |
![]() |
![]() |
![]() |
|
|
腺癌。免疫组化检查显示napsin-A局灶性阳性,TTF1和p40阴性,提示肿瘤来自肺部。 题外学习注释 *NapsinA(+)指指新天冬氨酸蛋白酶A,在肺腺癌(非小细胞肺癌)的鉴别诊断中有很重要的意义。往往提示肺腺癌。70%-90%的腺癌细胞会显示NapsinA阳性。 * TTF-1 免疫组化TTF-1最常见是在甲状腺和肺来源的癌性表达,免疫组化TTF-1阳性表示肺腺癌的可能性大,鳞癌和小细胞癌相对会少。TTF-1就是甲状腺转录因子1,TTF-1免疫标记常被用来帮助判断转移癌源自何处。 *p40 P40(-)表示腺癌的可能性较大,P40(+)则鳞癌可能性大,在分析结果时,P40阴性只是排除鳞癌,并不代表排除肺癌,具体的肿瘤类型,需结合其他指标进行综合评判。 |
|
![]() |
![]() |
| 气胸 | 穿刺引流术后 |
2) Hydrogen
水凝胶针道密封系统 Hydrogel tract sealant system
![]() |
|
| 使用同轴17G针,评估膨胀式水凝胶肺活检针道道栓塞装置在经皮肺活检中降低气胸发生率的能力 | |
![]() |
![]() |
![]() |
![]() |
![]() |
|
![]() |
|

3) 盐水注射
4) 明胶海绵注射
国际指南并没有清晰的推荐
(4)减少通过含气的肺组织
已经明确了几种可能提高气胸风险或需要胸腔引流管治疗可能性的危险因素。产生气胸的最为突出的危险因素是充满空气的肺脏是否被穿刺针穿过。理论上讲,如果没有穿过充气的肺,应当没有发生气胸的危险。实际上,如果使用共轴系统而导向针被放置在胸膜腔内某一邻近但并没有侵犯胸膜的病变附近,气胸是有可能发生的。在胸部活检中使用CT透视引导下定位的一大优势即为,它能够选择一条不经过充气肺脏的穿刺针路径。但甚少有人用,因为射线量较大。
拔针后,患者快速翻身将穿刺一侧向下俯卧(rapid roll -over technique)减少气胸的发生
![]() |
![]() |
![]() |
![]() |
Haramati LB. Radiology 1991;181(3):778。
Hiraki T. AJR Am J Roentgenol 2010;194(3):809–14.
Kuban JD. Cardiovasc Intervent Radiol 2015;38(6):1595–602.
减少胸膜腔穿刺引流我们可以做什么?How can we reduce the risk of pleural drainage?
减少胸膜腔穿刺引流我们可以做什么?How can we reduce the risk of pleural drainage?
![]() |
![]() |
![]() |
![]() |
![]() |
|
|
腺癌。免疫组化检查显示napsin-A局灶性阳性,TTF1和p40阴性,提示肿瘤来自肺部。 题外学习注释 *NapsinA(+)指指新天冬氨酸蛋白酶A,在肺腺癌(非小细胞肺癌)的鉴别诊断中有很重要的意义。往往提示肺腺癌。70%-90%的腺癌细胞会显示NapsinA阳性。 * TTF-1 免疫组化TTF-1最常见是在甲状腺和肺来源的癌性表达,免疫组化TTF-1阳性表示肺腺癌的可能性大,鳞癌和小细胞癌相对会少。TTF-1就是甲状腺转录因子1,TTF-1免疫标记常被用来帮助判断转移癌源自何处。 *p40 P40(-)表示腺癌的可能性较大,P40(+)则鳞癌可能性大,在分析结果时,P40阴性只是排除鳞癌,并不代表排除肺癌,具体的肿瘤类型,需结合其他指标进行综合评判。 |
|
![]() |
![]() |
| 气胸 | 穿刺引流术后 |
当进行多次胸膜穿刺或穿刺针路径越过某一胸膜裂时,气胸发生的风险略有增高。穿刺深度的增加以及病变大小的减小,也是增加气胸风险的因素;尽管与此相关的数据不相一致。较小的肺病变或靠近肺门处的病变,更有可能导致病灶周围的出血和咯血。肺实质出血引发咳嗽反射会增加产生气胸的机会
4. 气胸发生的类型
原发性肺肿瘤穿刺后发生小气胸
![]() |
![]() |
|
胸膜间隙和叶间裂存在脏层胸膜,过肺叶间裂穿刺容易发生气胸。
|
|
这种体位和穿刺路径都不是栏目作者所赞成的。
![]() |
![]() |
| 肺活检 |
气胸 |
4. 气胸的处理
如果患者在活检过程中出现小气胸,可以将一段导管连接在同轴针上,使用20毫升注射器和三通,可以在取出同轴针时抽吸出气胸。(Yankelevitz et al Radiology. 1996 Sep;200(3):695-7)Yankelevitz 描述了通过18号静脉导管活检后手动吸入气胸,立即拔除导管,并将患者置于穿刺同侧卧位。他们发现,17例中有12例(71%)的这种技术消除了胸管插入的需要。
![]() |
![]() |
| 引导针留置气胸抽取 | 气胸引流完成 |
2009年,Yamagami 报道了一大组的系列病例,用手动抽吸气胸,112例中有84例(75%)成功地避免了
胸管放置。【Yamgami 2009】)
决定是否放置胸腔引流管,一般取决于气胸的大小,和/或产生症状的严重性。对小的症状轻微的气胸进行观察也是一种选择,但通常还需要在数天内连续摄片,以确保气胸没有进一步扩大。潜在的成功选择是,简单抽吸气胸而不留置胸腔内引流管。大气胸或伴发显著症状者,必须做正规的经引流管穿刺吸引,包括经引流管抽净气体,负压吸引或连接于Heimlich瓣膜。大多数医生更愿意将患者留置胸腔引流管住院观察,而不是门诊处理,尽管其中任一种都是可接受的。气胸的处理是主观性的,建立在操作者经验和个人偏好的基础上,但所有实施经胸活检的放射介入医生们都必须熟悉引流管气胸穿刺技术,以备紧急情况下使用。
![]() |
![]() |
![]() |
![]() |
![]() |
![]() |
![]() |
![]() |
![]() |
![]() |
| 活检后2分钟 | 引流后15分钟,CT随访 |
![]() |
![]() |
27%的病例发生气胸;其中6%的患者需要引流(在胸膜腔内插入猪尾管和立即简单抽吸就足以恢复)
![]() |
![]() |
![]() |
![]() |
Primary lung tumor complicated with a pneumothorax needing a drainage‘ ’Pneumothorax occurs in 27% of the cases; 6% of them need a drainage (the insertion of a pigtail in the pleural cavity and a simple immediate aspiration is in the majority of the cases enough to recover)
外科肺叶切除术后胸腔自体血灌注
![]() |
|
对照试验,肺叶切除术后第5天持续漏气的患者随机分为两组,一组通过现有胸管向胸膜腔内灌注自体血120 mL,另一组继续胸腔引流(如有需要,术后第10天可胸腔内灌注自体血)。干预组拔除胸管的时间(中位数,6.5天vs 12天)和出院时间(8天vs 13.5天)均显著少于干预组。
|
经皮肺活检后气胸胸腔自体血灌注
![]() |
|
胸膜腔内自体血灌注是一项有用的技术,对于CT引导下肺活检后需要干预的气胸患者来说,它似乎减少了放置胸管的需要。这种胸膜血液修补术对活检后气胸的治疗减少住院时间时间、减少风险或降低成本,潜在可能使患者受益,比肺活检后通过放置胸管和住院更节省资源。
https://www.ajronline.org/doi/10.2214/AJR.10.6324
|
![]() |
| 用ABCS(Autologous Blood Clot Seal)堵塞活检针道,特别是在肺深部病变的活检后,显著降低了气胸的频率——特别是大气胸的频率——因此,减少气胸治疗的需要和伴随的费用。 |
![]() |
![]() |
| 后入路下肺深部病变穿刺 | 通气肺实质内进针 |
![]() |
![]() |
| 完成穿刺 | ABCS技术封长针道 |
ABCS技术
- 从肘前静脉取血4.0-8.0 mL,使血液在注射器中凝固,制备ABCS。
- 然后,在活检结节的病变水平注射血块0.5-3.0 mL和上清0.5-1.5 mL,使整个针道到脏层胸膜充满。
- 上清液主要分布在活检的结节、外周轨道到胸膜的针道注射固体凝块。
也有作者比较胸膜外注射自体凝血比较肺实质内自体凝血的注射
![]() |
|
https://link.springer.com/article/10.1007/s00270-020-02585-4 |
5. .....
文献上没有关于活检后气胸观察的时间,但超过3小时候气胸表现(延时气胸)比较罕见。
减少气胸的措施
组织活检(CNB)更多并发症?Core Biopsies are a risk for overall complications?
![]() |
![]() |
| CNB | FNA | odds ratio | p = | |
|
PTX
|
25.3 % (22.2–28.6 %)
|
18.8 % (14.6–23.9 %)
|
0.69 (0.50–0.96)
|
0.027
|
|
PTX Intervention
|
5.6 % (4.3–7.3 %)
|
4.3 % (2.7–7.0 %)
|
0.76 (0.48–1.37)
|
0.430
|
|
Pulmonary haemorrhage
|
18.0 % (13.4–23.8 %)
|
6.4 % (2.5–15.2 %)
|
0.33 (0.15–0.72)
|
0.005
|
|
Hemoptysis
|
4.1 % (2.8–6.1 %)
|
1.7 % (0.9–3.1 %)
|
0.38 (0.17–0.85)
|
0.019
|
|
Overall complications
|
38.8 % (34.3–43.5 %)
|
24.0 % (18.2–30.8 %)
|
0.50 (0.35–0.73)
|
<0.001
|
|
Major complication
|
5.7 % (4.4–7.4 %)
|
4.4 % (2.7–7.0 %)
|
0.80 (0.48–1.36)
|
0.416
|
The meta-analysis of core biopsies did not reveal significant risk factors for overall complications or for major complications.
所有的肺活检都有相同的风险吗、 do lung biopsies all have the same risk?
![]() |
![]() |
| 肺结节,拟穿刺活检 | 从哪入路? |
![]() |
![]() |
| 选择背侧入路 | 昏迷,癫痫发作 |
稳定患者 Stabilize the patient
重复CT扫描 Repeat CT scan
![]() |
![]() |
| 主动脉内气体 |
在活检后施用100%氧气,也可以获得类似的效果。
快速染色法,是一项在活检过程中将抽吸细胞学标本染色并进行检查的技术。一得到合用的细胞学标本,活检过程就可以终止了。这一技术背后的理念是,在减少进针次数的同时提高诊断产出率。但不幸的是,对照研究并未显示其能够减少气胸的发生率。
可以使用共轴活检技术以允许在较少的胸膜刺口情况下,进行多次活检进针。这一技术也允许操作者将不同的活检针放入一个共轴导向针中,从而同时获取细胞学和组织学检查所需的标本。不考虑使用的反复改变穿刺方向的手段,文献报道一定的高气胸发生率发生在那些同时使用共轴导向系统和快速染色技术的系列中。在这种联合使用中,留置导向针在贯穿胸膜的位置上的时间被延长了,增加了空气泄漏或胸膜撕破的可能性。能够尽量降低气胸发生率最重要的措施之一可能就是将任何一种针留在肺脏内的时间减到最少。
某些报道提示,使用CT导向与高气胸发生率之间有联系。在这些研究中,联合使用了共轴系统和快速染色技术,从而使气胸发生率达到43-61%。其他较高气胸发生率的可能解释包括,CT对于小气胸的敏感性提高,以及这些系列选择的进行CT导向下活检的病例病变本身的困难程度。相反,其他CT导向下胸部活检的研究报道的气胸发生率为11-19%。在这些系列中没有联合使用快速染色技术和共轴系统。这显示,与导向手段相比,穿刺针贯穿胸膜的时间长度在发生气胸风险上是一个更重要的因素。需要很短重构时间的高速扫描器的出现,加上避免穿过充气肺脏的能力的提高,已经使CT成为一个更有吸引力的导向手段,并不必然增加其发生气胸的风险。
气胸的治疗
保守治疗
大多数并发症会立即发生或在活检后的第一个小时内发生。在确定治疗策略时,气胸的大小不如临床损害的严重程度来的重要,气胸容积大不如临床症状来的更重要。患者发生呼吸困难,尽管气胸的容积小,仍然表明需要积极干预。多种治疗方案可降低活检引起的气胸恶化的风险和放置胸管的需要。
对于无症状的有限气胸患者,建议观察并补充氧气。美国胸科医师学会(ACCP)和英国胸科学会(BTS)指南都建议对稳定性气胸采用观察性治疗【MacDuff 2010 Baumann 2001】。活检后应避免深呼吸和咳嗽,限制活动。如果患者出现呼吸短促、胸痛或其他症状,应进行监护,以防止气胸的进一步发展。
活检后立即进行CT扫描,以确定是否存在与手术相关的并发症。此外,患者还应进行后续胸片或CT检查,以确定气胸是否有进展。建议门诊患者观察6小时左右,未发现气胸加重症状时可出院,如出现症状则应返回医院。对于大多数气胸患者,应以一定的速度补充氧气以维持充分的氧合,因为这有利于改善伴随的低氧血症,即使气胸引流后也可能持续存在。据报道,在无补充氧的情况下,补充氧可使受损伤半胸的基线胸膜空气再吸收率从每天1.25%提高3 - 4倍。活检操作人员应该能够识别并适当处理肺活检手术后的并发症。
体位
胸膜腔自凝血注射












































































