出血并发症
| |||||||||||||||||||||||||||||||||||||||||||||||||||||||||||||||||||||||||
![]() |
![]() |
出血是经皮肺活检中第二常见的并发症。尽管大多数报道的出血并发症发生率为6%或更低,也有报告多达12%的病例中可能发生出血。大部分出血并发症是轻微的,并不需要治疗。
![]() |
![]() |
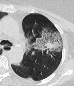
| 活检后伴有少量出血的肺小细胞肿瘤。患者离开前至少左侧卧2小时。Little cell’s tumor of the lung with minor haemorrage。This patient must stay at least 2 hours laying in left decubitus before leaving the station。 | |
题外话:这种胸膜下结节,尽可能有角度的进针(通过一段肺组织)。操作者选择直接经病变的基底部进入病变,可能会减少气胸的发生,但潜在增加种植转移可能。
![]() |
![]() |
肺肿瘤(腺癌)穿刺后少量出血和气胸。患者需要静躺数小时,离开前需要重复胸部CT扫描 Tumor of the lung (adenocarcinoma) with minor haemorrage and a small pneumothorax.This patient should be kept stationary for some hours and be submitted to cheat CT scan before leaving
![]() |
![]() |
沿针路出现肺实质出血的占63%,其中22%出现咯血。在这种情况下,患者侧卧(穿的一侧朝下)。使用氧气。肺动脉血压很低,尽管会出现咳嗽,咯血通常在短时间内停止(10-12 min)。很少需要气管插管(0.6%)。
Parenchymal hemorrhage along the needle path appears in 63% with hemoptysis in 22%.In such case lay the patient in lateral decubitus (the punctured side facing downwards).Apply oxygen.Pulmonary blood pressure is very low and despite cough, hemoptysis stops usually in a short time (10 to 12 min).Tubing is rarely needed (0,6%).
0-3%的大出血病例需要输血、外科手术或血管内介入的栓塞治疗。出血造成的死亡率估计在0.01-0.10%。由于患者人群的差异、活检部位和技术的不同、检测并发症的方法各异,以及对于微小出血并发症的定义不一致,很难比较出血并发症在不同病例报告中的准确发生率。
![]() |
| 局部实质出血(5-10%) |
但是如果发生咯血(hemoptysis)是最危险的
![]() |
![]() |
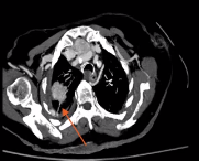
| 77岁,女性。2年前胃淋巴瘤。凝血正常。抗血小板药物停药7天,舌叶半实性病变 (semisolid lesion) 逐渐进展。目前8X12mm | 第一次活检17/18G,顺利,因样本少,第二次活检。刚开始活检,患者咳嗽和咯血。穿刺针立即回撤。 患者大口喘气,声称自己快死了 |
![]() |
![]() |
| turn patient to dependent side | 活检一周后CT随访。病理回报 B细胞淋巴瘤 |
氧气(3升/分钟),尽可能让血流出,同时建立静脉通道。呼叫麻醉医师(或ICU以及,胸外科医生)。及时清洗吸出口腔内血液。建议轻拍。不要说话,避免咳嗽。15分钟后稳定,进行(增强)CT。咯血在30 min 减少。转到ICU监护24小时,输血,支持性液体管理。第二天回普通病房,一周后出院。
最新的研究具有运用高分辨CT扫描的优势(或说是劣势),能够检测到更微小的出血。所有CT导向下的肾脏活检中,几乎均可检测到一定量的周边出血。很大部分的出血并无症状,并不被多数的文献研究所报道。考虑到这一点,可以得出一些可能使某一给定患者大量出血的风险增加的因素。如下所述
凝血障碍
最常用的检测凝血功能的指标为,凝血时间、国际标准化比值、部分活化的凝血酶原时间、血小板计数;略少使用的是皮肤出血时间。一些实验室及非对照临床研究显示,止血缺陷导致出血并发症的风险增加。这些研究提示,与凝血酶介导血凝块形成的缺陷相比,细胞止血的缺陷更为突出。
所谓细胞止血是指生理性参与止血的血细胞,主要指的是血小板。因为血小板具有粘附,聚集,吸附,分泌,收缩的生理功能。当血管破裂出血时,血小板就会粘附在出血部位,互相聚集在一起,形成血小板血栓,减少出血,同时还会分泌各种促凝物质,促进血液的凝固,另外还可以吸附更多的凝血因子在出血部位,形成局部的血凝块,有利于止血。另外,当形成血栓以后,血小板还会通过收缩作用,进一步堵塞出血部位,最终完成止血过程。
然而其他研究并没有发现常用外周凝血指标和手术及介入操作中的出血风险有关。皮肤出血时间与肝脏出血时间无法很好吻合的事实,提出了存在局部细胞和生化凝血介质的可能性,而这些因子在外周是无法测量的。
尽管认为凝血缺陷不会造成出血风险的增加,这有悖于常理,但同时,目前能够用来评估凝血状态的测量指标并不足以使我们量化任一给定患者的出血风险。这一问题的部分一定程度上在于,出血并发症的发生几率是如此之小,没有极大量的患者,很难得到一个统计上的显著差异,尤其是当凝血缺陷并不严重时。就这一问题进行临床对照研究,在伦理学基础上是不可接受的。实验室研究则存在以下不确定性,即体外控制条件是否能够准确地反映体内条件。
所谓细胞止血是指生理性参与止血的血细胞,主要指的是血小板。因为血小板具有粘附,聚集,吸附,分泌,收缩的生理功能。当血管破裂出血时,血小板就会粘附在出血部位,互相聚集在一起,形成血小板血栓,减少出血,同时还会分泌各种促凝物质,促进血液的凝固,另外还可以吸附更多的凝血因子在出血部位,形成局部的血凝块,有利于止血。另外,当形成血栓以后,血小板还会通过收缩作用,进一步堵塞出血部位,最终完成止血过程。
然而其他研究并没有发现常用外周凝血指标和手术及介入操作中的出血风险有关。皮肤出血时间与肝脏出血时间无法很好吻合的事实,提出了存在局部细胞和生化凝血介质的可能性,而这些因子在外周是无法测量的。
尽管认为凝血缺陷不会造成出血风险的增加,这有悖于常理,但同时,目前能够用来评估凝血状态的测量指标并不足以使我们量化任一给定患者的出血风险。这一问题的部分一定程度上在于,出血并发症的发生几率是如此之小,没有极大量的患者,很难得到一个统计上的显著差异,尤其是当凝血缺陷并不严重时。就这一问题进行临床对照研究,在伦理学基础上是不可接受的。实验室研究则存在以下不确定性,即体外控制条件是否能够准确地反映体内条件。
很明显我们对于止血的理解还存在局限性,而我们用以衡量止血的方法也不尽完美。一般止血缺陷确实会增加出血风险,但这一增加是相对较小的;而在个别病例中,局部组织因子的作用更为重要。虽然目前可以采用的测量指标并不足以量化任一给定患者的出血风险,几乎所有的临床研究者们都将凝血缺陷列为活检的相对禁忌症,活检前的筛查也还在继续进行。而且止血的重大缺陷被检测出来,采取措施纠正或抵消其作用,这些工作也是常规进行的工作,不受上述理论的局限性影像。
局部组织因子
细胞及组织因子机制可能是出血风险最重要的决定因素。
在正常情况下组织因子不存在于循环中或不与循环血液接触,只有当血管壁的完整性遭到破坏时组织因子才暴露于循环血液,通过激活凝血级联反应发挥止血作用。
正常肝组织是柔软的,活检针留下的轨道将会塌陷,通过促进压迫帮助局部止血。相反,肿瘤常常具有十分坚固的纤维基质,阻止轨道塌陷。良性过程例如严重的肝硬化也会导致形成纤维量增加、柔韧度下降的肝脏,从而降低局部压迫作用的有效性。
研究证实对恶性结节和硬化肝脏活检使出血风险增加,而与凝血状态无关,支持上述假设。如果病灶位于肝脏包膜表面,则肝脏活检的出血风险增加,也能够证明正常肝脏具有压迫活检轨道的能力。对于预计有高出血风险的肝脏病灶(如海绵血管瘤),将一圈正常肝组织夹在包膜穿刺点和病灶边缘间能够使活检安全进行。
缺乏局部机械压迫作用,也是导致那些处于腹膜表面或另一个可能大量存血空间附近的非肝脏病变出血的危险因素之一。
在正常情况下组织因子不存在于循环中或不与循环血液接触,只有当血管壁的完整性遭到破坏时组织因子才暴露于循环血液,通过激活凝血级联反应发挥止血作用。
正常肝组织是柔软的,活检针留下的轨道将会塌陷,通过促进压迫帮助局部止血。相反,肿瘤常常具有十分坚固的纤维基质,阻止轨道塌陷。良性过程例如严重的肝硬化也会导致形成纤维量增加、柔韧度下降的肝脏,从而降低局部压迫作用的有效性。
研究证实对恶性结节和硬化肝脏活检使出血风险增加,而与凝血状态无关,支持上述假设。如果病灶位于肝脏包膜表面,则肝脏活检的出血风险增加,也能够证明正常肝脏具有压迫活检轨道的能力。对于预计有高出血风险的肝脏病灶(如海绵血管瘤),将一圈正常肝组织夹在包膜穿刺点和病灶边缘间能够使活检安全进行。
缺乏局部机械压迫作用,也是导致那些处于腹膜表面或另一个可能大量存血空间附近的非肝脏病变出血的危险因素之一。
恶性或良性肿瘤都可能表现为动脉高血运。有报道称这些病灶活检后具有高出血并发症发生率。肾脏活检与肝脏活检相比,出血并发症有所增加,也证实了血管分布的重要性。肝脏组织很柔软,主要是由低压力静脉供血;而肾脏组织坚实得多,具有更广泛分布的高压力动脉血供。另一个重要因素是正常动脉与肿瘤血管之间天然的病理学差别。正常的动脉在创伤条件下管壁中的平滑肌可以产生收缩,从而限制失血量。而新生血管不具有中层平滑肌,不能收缩。一旦被破坏,血管将会无限制流血直到有外来压迫作用。病灶的血管分布增加不应当视为活检禁忌症,不过必须谨慎选择穿刺针路径,以便局部机械因素能被用于协助压迫其轨道。
活检技术
一般认为,活检穿刺针的直径与出血并发症的风险有一定关联。在多个不同解剖部位使用大内径的切割穿刺针活检均有报道。但在这些研究中,只选择了预计出血并发症风险较低的病变用大内径穿刺针活检。已有的数据提示,与18-至20-G穿刺针相比,14-至16-G穿刺针带来了很小的但确实存在的出血并发症风险的增加。
同一研究还证实,与21-至22-G穿刺针相比,使用18-至20-G穿刺针的出血风险并无显著增加。某些数据提示,使用切割穿刺针与相同型号的抽吸穿刺针相比,出血风险略有增加,但其差别是微小的,很可能不具有显著意义。这一文献得到的最重要的结论是,中等内径的切割穿刺针能够可靠的获取组织学标本,而不会显著增加并发症的发病率。
同一研究还证实,与21-至22-G穿刺针相比,使用18-至20-G穿刺针的出血风险并无显著增加。某些数据提示,使用切割穿刺针与相同型号的抽吸穿刺针相比,出血风险略有增加,但其差别是微小的,很可能不具有显著意义。这一文献得到的最重要的结论是,中等内径的切割穿刺针能够可靠的获取组织学标本,而不会显著增加并发症的发病率。
预防措施
在任一例病例中都能够通过主观的(如果不是定量的)方法评估上述危险因素的相对可能意义,如果预计有较高风险,可以采取相应措施预防出血并发症。
当患者具有严重的凝血功能障碍,而这一障碍又是可以纠正的,推迟活检是可以考虑的。最明显的实例就是,停用影响细胞或凝血酶介导止血的药物。可以在活检之前输注血小板或冷凝蛋白质,但通常是不必要的。能够采取的最为重要的预防性措施时,谨慎选择一条活检穿刺针路径,避开血管结构同时又能利用局部压迫的影响。很可能需要避免使用14-至16-G切割活检针,除非确保有局部机械性压迫作用。
当患者具有严重的凝血功能障碍,而这一障碍又是可以纠正的,推迟活检是可以考虑的。最明显的实例就是,停用影响细胞或凝血酶介导止血的药物。可以在活检之前输注血小板或冷凝蛋白质,但通常是不必要的。能够采取的最为重要的预防性措施时,谨慎选择一条活检穿刺针路径,避开血管结构同时又能利用局部压迫的影响。很可能需要避免使用14-至16-G切割活检针,除非确保有局部机械性压迫作用。
在有严重凝血功能障碍的病例中,有人推荐进行经颈静脉肝脏活检。就获取合适的组织学标本而言,经颈静脉技术稍逊于经皮切割穿刺活检,不过仍然是可以接受的。这一技术某种程度上比经皮活检繁琐。考虑到患者群体原因,并发症发生率相对较低,但可能很严重。在2-6%的病例中可能会发生不小心刺破颈动脉、心律失常或颈动脉鞘穿孔。在肝硬化患者中,经颈静脉活检技术的一大优势是,能够在同一操作中测量肝脏血流动力学指标。考虑到许多介入医生都有经颈静脉经肝门体分流术的操作经验,可以预期对于他们中的大多数,经颈静脉活检技术是相对简单的。
当预计到有较高出血风险时,栓塞经皮活检路径也不失为一种选择。该技术需要活检中使用某种类型的共轴系统。活检完成后,导向针或管道被用作将栓塞材料放入活检路径的通道。最常使用的两种栓塞材料是明胶海绵栓以及自体血凝块。也可以使用血管栓塞弹簧圈和凝血酶组织密封剂。活检和栓塞可以在任何影像手段的引导下进行。可以在透视导向下可以进行栓塞的实时监控,而使用CT或超声导向手段时,栓塞则是某种程度上“盲目”进行的。文献报道的绝大多数使用路径栓塞的病例,都是在CT或超声导向下进行;在有经验的情况下,实施该操作还是很简单的。由于使用了标准共轴导向针,活检可以使用任何自动活检枪。组织恢复率和诊断准确性比经颈静脉活检时高。这一技术可以用在任何器官或部位的活检之后,而不仅仅是肝活检。尽管栓塞的主要适应症是凝血功能障碍,它也可以用于其它适应症,如富血运病灶的活检或没有可助于局部压迫的边缘性组织的活检。
至今仍无随机对照试验证明路径栓塞技术的有效性,而实际上这样的试验由于伦理问题可能也是不能实施的。该项技术已经被未加限制地用于大量具有凝血功能缺陷的患者身上,其并发症率很低。存在的潜在风险是,栓塞材料的小片断可能进入血管中导致远端栓塞;但至今对与该栓塞技术相关的特异性不良影响并无报道。
Pulmonary Hemorrhage in SPN in a former smoker with previous breast cancer
![]() |
![]() |
![]() |
![]() |
|
肿瘤细胞对GATA3表达阳性,支持肿瘤的乳腺原发性;免疫组化检测约35%的肿瘤细胞雌激素受体(Dako克隆EP1抗体)阳性;免疫组化检测孕酮受体(抗体Dako克隆PgR 1294
|
第五代绵羊气道的3D OCT重建图像 |
至今仍无随机对照试验证明路径栓塞技术的有效性,而实际上这样的试验由于伦理问题可能也是不能实施的。该项技术已经被未加限制地用于大量具有凝血功能缺陷的患者身上,其并发症率很低。存在的潜在风险是,栓塞材料的小片断可能进入血管中导致远端栓塞;但至今对与该栓塞技术相关的特异性不良影响并无报道。
其它肺出血的因素包括
【Nour Eldin 2014;Yeow 2004】- 小病变和基底病变的活检 Biopsy of small and basal lesions
- 从胸膜表面起点的病变深度增加 Increased lesion’s depth from pleural surface
- 小病变大小为≤2cm Small lesion size of ≤2 cm
- Traversing aerated lung of ≥2 cm
- 空腔病变的存在 Presence of cavitary lesions
- 如果患者不舒服,对呼吸命令反应不佳,可在大肺血管附近进行肺活检Aviod biopsy near large pulmonary vessels if patient is uncomfortable and does not well respond to breathing commands.
- 当消除与凝血系统和凝血相关的其他因素时,同轴和非同轴技术之间没有差异 No difference between coaxial & non-coaxial techniques when other factors related to the clotting system and coagulation are eliminated.
![]() |
![]() |
![]() |
胸腔积液的密度正常吗?Does pleural effusion have a normal density?
病人出院0?Dismiss the patient?
在同一时间,监测患者60分钟后重复CT扫描?Repeat a CT scan after 60 minutes monitoring the patient in the same time?
大咯血可能的危险因素
- Female sex (P = .001),
- Older age (P = .003),
- Emphysema (P = .004),
- Coaxial technique (P = .025),
- Nonsubpleural location (P , .001),
- Lesion size of 3 cm or smaller (P ,.001),
- Subsolid lesions (P = .028).
Enlarged mPAD (main pulmonary artery diameter)at CT ( 2.95 cm) was not significantly associated with higher grade hemorrhage (P = .430).【Tai 2015】
![]() |
|
大咯血的处理
如有严重咯血:
- 应停止该程序
- 口腔吸引
- 支持性治疗处理
- 拔针
- 将患者置于穿刺肺侧卧位,将吸入的血液限制在活检后的肺内
- 一旦拔出针头,应鼓励咳嗽并进行气道抽吸,因为咯血可导致气道刺激,并可能引起呼吸停止
![]() |
![]() |
| 我们的结论是,关于使用TA(凝血酸,氨甲环酸,止血环酸)治疗咯血的研究有限。由于咯血的病因、治疗时间、TA给药剂量和形式不同的研究不同,因此很难给出强有力的建议。然而,目前的最佳证据表明,TA可以减少咯血患者的出血持续时间和出血量,并降低短期血栓栓塞并发症的风险。 |
凝血酸的用法
【用量用法】1.口服:每次0.25g,1日3~4次。2.静注或静滴:每次0.25g,1日1~2次。静注以25%葡萄糖液稀释、静滴以5%~10%葡萄糖液稀释
虽然不能给出有强有力证据的建议,但TA可以减少出血的持续时间和体积,且血栓栓塞性疾病的短期风险较低(弱推荐,2B) 【Moen 2013】
81岁,女性 右上肺病变CT引导下穿刺活检
Intravenous: 500mg 0.5-1g;2-3 time 1ml /min
(1 ampoule=5ml)
虽然不能给出有强有力证据的建议,但TA可以减少出血的持续时间和体积,且血栓栓塞性疾病的短期风险较低(弱推荐,2B) 【Moen 2013】
![]() |
![]() |
18G 半自动共轴穿刺三次取样后,显示预期的肺泡出血和轻微咳血。4小时后患者出现低容量,立即进行CTA。
![]() |
![]() |
| CT扫描并没有看见预期中肋间动脉出血,可见造影剂经针道外溢至游离胸膜腔,形成血胸 | |
由于患者快速恶化,会诊后经血管内栓塞成为选择
![]() |
![]() |
|
肺动脉血管造影显示肺动脉分支持续外渗至胸膜腔。右侧经右股总静脉置换5 Fr C2诊断导管。
然后使用2.4F同轴微导管使用微弹簧栓子栓塞出血血管,用明胶海绵胶浆辅助弹簧栓子栓塞以达到更快的栓塞效果。一周后患者从出血事件康复出院
|
|
- 肺活检后出现血胸是非常罕见的并发症,<0.4%。出血的来源通常是肋间动脉或乳内动脉。肺活检时肺动脉分支损伤导致自限性咯血最常见,仅有限的胸腔少量出血,也不需处理。
- 本病例中,患者有二尖瓣置换术的历史。也许是一个潜在的肺动脉高压和肺的继发性变化,尽管口服抗凝药已经停用5天。
- 肺活检后延迟发生的致命性血胸罕见,但存在
出血因素(1004例)多因素分析
包括活检宿主因素,病变因素和技术因素

所有变量均采用单因素和多因素logistic回归模型进行分析,以评估独立的出血危险因素
患者因素
![]() |
| 单因素分析证明,出血更多发生在女性中。抗凝治疗不会增加出血的风险 |
病变因素
![]() |
| 病变体积小,位于肺实质的位置较深,增加出血风险。 |
技术因素
![]() |
| 在CT透视控制下使用长针,当通过肺叶间裂或肺血管时,更常发生出血或咯血。 |
![]() |
| 出血的独立危险因素有女性、CT透视的使用、病变的深部部位、病变的小大小和肺血管交叉 |
每一位进行经胸活检的放射科医生都应熟悉出血的危险因素,以减少并发症的数量,改善这种有创手术患者的预后。
术中咯血死亡病例 On table death due to hemoptysis – a rare complication of lung biopsy
一位78岁女性,前吸烟者因胸痛接受胸片检查,发现潜在的肺结节。随访CT及PET-CT证实右下叶部分实性磨玻璃状代谢活性结节,Tlc分期 N0 M0,多学科会议推荐CT引导肺活检。
![]() |
![]() |
| 肺窗CT扫描图像显示右下叶根尖段有一个24mm实性结节,周围有磨玻璃影。 | 显示FDG高代谢结节的PET/CT图像 |
![]() |
![]() |
![]() |
最后一组图像显示同轴针的位置。技术:卧姿17G同轴针18G Biopince活检针通过次数:1次
患者肺功能检查正常,凝血情况正常,血常规无活检禁忌症,一般状态良好,未进行抗凝治疗。在CT引导下采用同轴针技术进行活检。17G同轴针推进至结节处未见出血。一次使用18G活检针。患者出现咯血并陷入无反应状态。放弃活检,立即气管内抽吸,改仰卧。活检后3分钟内开始心肺复苏,持续近40分钟,患者无法复苏,CT台上宣告死亡。
组织切片显示分化良好的腺癌。
尸检:活检部位和病灶周围的肺组织出血。活检部位或肿瘤与大支气管或大血管无连续性。验尸,得出的结论是,死因是肺活检后咯血
CT引导下的肺活检有一个很好的技术成功率,这取决于肿瘤的大小、位置,但也不是没有风险,如气胸、咯血或血胸。肺活检后死亡是一种罕见的并发症,据报道发病率为0.1-0.2%,本病例报告了一例罕见的并发症,患者发生灾难性的肺内出血并在手术台上突然死亡。









































