| 名词和定义: TIPS 是Transjugular Intrahepatic Portosystemic Shunt 的英文简称。它是以非外科的方式,经皮经肝通过支撑架建立门静脉和腔静脉系统之间的通道,目的是减少门静脉高压的影响。 历史: 1969年,Rösch 开始实验性TIPS;1988年,Ricther进行了人类第一例TIPS;2001年,第一例覆膜支撑架临床成功;2004年,Viattor或FDA批准。 TIPS目标: 食道静脉曲张再出血的预防和缓解顽固性门静脉高压腹水。
TIPS在门静脉高压治疗的角色: 1. 首先是血管活性药物 (terlipressin,somatostatin) 预防初次消化道出血。 2. 治疗失败导致首次消化道急性大出血时考虑先使用Blakemore 球囊(但不能超过24小时),出血间歇期或生命体征稳定的消化道出血考虑进行内窥镜检查,出血来自食道静脉曲张进行硬化治疗或套扎。 3. 胃镜下若出血来自门脉高压性胃病考虑使用β受体阻滞剂和利尿药;两者都失败是才考虑TIPS治疗(Child B & C)或TIPS及外科治疗(Child A)。如果食道静脉曲张硬化成功,持续药物治疗(5天)以预防再出血,再出血时二次内窥镜治疗。失败时再考虑TIPS治疗。 ![]() in “Current practise of TIPS”editors Petr Hulek and Antonín Krajina, 1st edition 2 TIPS适应症(有效性评估未经随机对照研究) (1)顽固性急性消化道出血 (2)门脉高压胃病 (3)胃食道静脉曲张出血 (4)胃窦血管扩张(Gastric antralvascular ectasia) ![]() (5)肝性胸水 (6)肝肾综合征(I 型 或II 型) (7)布加氏综合征 (8)肝小静脉闭塞性疾病(Veno-Occlusive) (9)肝肺综合征 TIPS禁忌症 1. 绝对禁忌症 (1)门脉高压初次出血的预防 (2)充血性心力衰竭 (3)多囊肝或多发性肝囊肿 (4)未能控制的全身感染或败血症 (5)胆道梗阻 (6)严重肺动脉高压 ![]() 2. 相对禁忌症 (1)肝癌 (2)所有肝静脉阻塞 (3)门静脉血栓 (4)严重凝血障碍(INR >5) (5)血小板减少(<20,000/cm3) (6)中度肺动脉高压 TIPS 在急诊情况下,若 Child-Pugh score≥ 12;APACHE II score ≥18;Prognostic Score ≥ 18 时结果较差。 Prognostic Score = 1,54 (ascites) + 1,27 (ventilation) + 1,38 loge (WBC) + 2,48 loge (APTT) + 1,55 loge (creatinin) –1,05 loge (PC) TIPS 在择期情况下,Child-Pugh score ≥ 12;Meld Score > 25 时,三个月时死亡率较高 MELD score = 9,6 x loge (creatinin) + 3,8 xloge (bilirrubin) + 11,2 x loge (INR) + 6,4 TIPS成功的关键是:病人充分的选择 TIPS与外科比较: 外科分流主要包括门腔分流和末端脾肾分流(Distal splenorenal shunt,DSRS)。外科手术在围手术期或后期有相对高的并发症和死亡率。
TIPS vs DSRS 在门脉高压再出血预防随机对照显示(食道静脉曲张再出血N=140,Child Pugh A/B)对预防再出血两者都有效,DSRS再出血率5.5%,TIPS再出血率10.5%。肝性脑病和生存率两者无差异【1】。 预防再出血 外科分流 和TIPS vs 内窥镜治疗【2】 ![]() 治疗顽固性腹水 TIPS vs 腹腔引流术【3】 ![]() TIPS 术前检查 心脏、肝、肾功能评价; 有无肝性脑病、EDA、麻醉前检查 TIPS术前影像 肝静脉和门静脉是否通畅 (1)多普勒超声:门静脉血流方向、门静脉血流速度、肝静脉和门静脉解剖关系。 (2)经动脉间接门静脉造影 (3)二氧化碳 门静脉造影 (4)CTA 门静脉重建 ![]() TIPS 技术上考虑 1. TIPS穿刺前 (1) 清醒镇定/ 全麻 (2) 术前和术后肝静脉压力梯度测定 (3)生命体征监测 (4)门静脉造影 (5)超声或透视引导下门静脉穿刺(标记门静脉) 2. TIPS穿刺 (1)右颈静脉穿刺 (2)右肝静脉造影 (3)经右门静脉穿刺门静脉
注意门静脉分叉分类 ![]() (4).穿刺成功后引入导丝 (5) 经导丝引入导管
(6) 测量门静脉压力
(7)球囊导管扩张
(8) 支撑架释放 ![]() 支撑架直径8-10mm
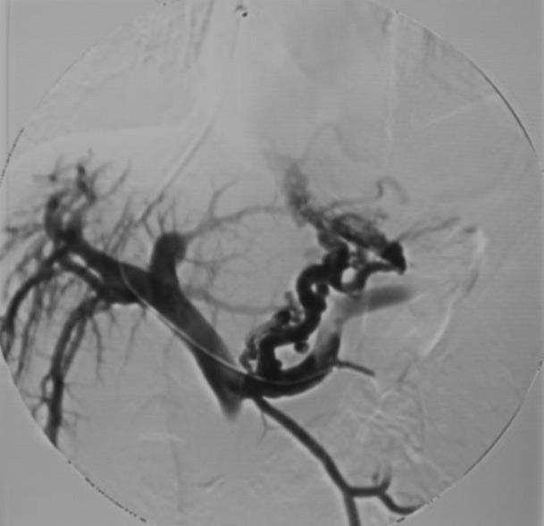
(9)胃冠状静脉栓塞术
TIPS 并发症 (1)分流通道狭窄:多为后期并发症,主要原因胆汁污染(Biliary contamination)和新生内膜异常增生。
通常可以ePTEF覆膜支撑架减少再狭窄;裸支撑架1年初始开通率16~50%;到两年时开通率下降至5%;作为密切随访和反复再干预(球囊扩张或新支撑架植入)情况下,开通率可以保持2年90%【4~6】。 克服裸支撑架再狭窄缺陷,考虑使用覆膜支撑架
多普勒超声随访覆膜支撑架
(2)肝性脑病(Hepatic Encephalopathy) 需要肝脏解毒的肠道衍生物质(包括氨)经TIPS分流通道绕过肝脏;突触传递(Neurotransmission)变化导致患者行为和意识的波动。内科治疗主要是限制蛋白质饮食(<0.5g/kg/d);乳果糖摄入;抗菌素(氨基糖苷类,甲硝唑);结合GABAa 受体药物。 肝性脑病血管内治疗主要包括永久性分流通道阻塞;可逆性分流通道阻塞和分流通道减少,主要是再植入约束性裸支撑架或覆膜支撑架 。
(3)膨胀球囊被固定不能缩回
(4)意外动脉穿刺
TIPS术后随访 1. 术后立即随访(实时疗效判定、技术成功判定)
2. 后续随访
随机对照研究,裸支撑架 vs PTEF 覆膜支撑架【10】
相同作者第二次随机对照研究像是2年开通率,覆膜支撑架和裸支撑架分别为76%,36%【11】。
关于DIPS 通过肝尾叶从下腔静脉直接穿刺门静脉,多使用覆膜支撑架,最好在超声引导下穿刺;可以减少TIPS阻塞的不利因素。包括胆汁瘘、肝实质从支架两端阻塞支撑架(overgrowth)以及肝静脉狭窄。 DIPS 【12】
| ||||||||||||||||||||||||||||||||||||||||||||||||||||||||||||||||||||||||||||||||||||||||||||||||||||||||||||||||||||||||||||||||||||||||||||||||||||||||||||||||||||||||






























































































