61岁女性 孕4 产2 Gravida 4 para 2 无激素应用历史 No use of hormones Chronic pelvic pain and out of work for 2 years
The case was discussed in a multidisciplinary team
The patient probably had pelvic congestion syndrome
It was decided to treat the condition by IR
治疗
Ultrasound guided insertion into the right common femoral vein。6 French 45 cm long introducer was used,
The patient received
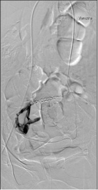
Entered the left renal vein with a C2 catheter and a smooth wire Performed venography and found the left ovarian vein
![]()
Bilateral treatment must be performed for optimal effect.
Venography findings: Significantly reduced flow down the left ovarian vein and less plexus filling than before. This will probably occlude as planned. Removes introducer, compressing and use V-PAD and compression roll.
Clinical Control 5 months later
Evidence/References
6 cases of vessel perforation 血管穿孔6例
20 cases of nontarget embolization 非靶栓塞20例
6 groin hematomas 腹股沟血肿 6例
1 arrhythmias 心律失常1例
1 internal iliac venous thrombus and 2 contrast reactions among 944 unique procedures (Abstract 19 Laborda A. et al 2013, 6, 21, 22, 24-31)
Discussion
- relapse? recanalization and/or collaterals?
- treatment using a combination of Coils and Aethoxysklerol (1% ): the relapse was significant lower versus patients treated with coils alone
- to lower recurrency should we also combine Coils and Aethoxysklerol in patients with PCS?
- retreatment when symptoms re-emerge?
| |||||||||||||||||||||||||













