病例简介:男性,胰头癌Whipple(胰十二指肠切除术)术后6个月,腹胀疼,黄疸,发烧,腹部可扪及一包块。化验:TBil 20mg,DBil 15mg,wbc 14000。
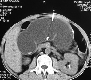
![]() ![]() CT显示腹部孤立性肠管扩张,CT引导下扩张肠管经皮空场造瘘。 ![]() PET及PET/CT显示右肾前方高代谢区,提示肿瘤复发
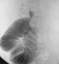
经皮肠造瘘10天后显示Whipple术后的输入袢狭窄
![]() 经皮经空场造瘘行支撑架植入术
术后病人症状缓解,TBil 2mg ,wbc 8000
讨论:
Whipple术(胰十二指肠切除术):
在Whipple手术中,胰头,部分的胆管和胃,胆囊和十二指肠被切除。这些结构切除后,剩余的胰腺,胆管和小肠再重新与肠道吻合,使其其分泌直接进入肠道。此种手术的主要适应症是胰头癌,胆管下端癌,壶腹癌,有时良性病变也进行此类手术包括慢性胰腺炎和良性的胰腺肿瘤。
![]() 胰头,部分的胆管和胃,胆囊和十二指肠被切除,被重新吻合 输入袢综合症:
![]() 输入袢综合症是胃空肠切除重建后,少见的纯粹的机械并发症。由于输入袢梗阻导致近端扩张,正常分泌物排泄受阻。 输入袢综合症(Afferent Loop Syndrome,ALS)是包括Billroth II胃空肠吻合术后、胰十二指肠切除术后,由于空肠支狭窄导致的不常见的并发症。狭窄可以发生在胃空肠吻合口近端空肠或十二指肠的任何位置。主要原因包括内疝、粘连、扭曲、肠套叠、吻合口狭窄和肿瘤复发[1]。
ALS处理的外科方法的空肠和空肠吻合术(Jejunojejunostomy)或Roux-en-Y吻合(Roux-en-Y conversion)已经建立[2]。如果不适合进行外科手术也可以进行PTCD或经PTCD十二指肠引流。但是,这两项手术有时可以导致肠内容物经引流导管返流到胆道,引起有生命危险的并发症[4,5]。有两例报告提示直接经皮空肠造瘘安全有效姑息治疗方法,可以缓解肠梗阻和阻塞引起的黄疸[7,8]。本例为经空肠造瘘放置支撑架缓解输入袢综合症的过程。
按照Moriura等人的说法,输入袢阻塞引起黄疸进行空肠-空肠吻合术或Roux-en-Y外科转流的成功率为75%[8]。但是,很多病人难以第二次手术,主要因为情况差难以承受、腹腔粘连和肿瘤广泛转移。黄疸或胆管炎急需姑息治疗的措施。
Lee等人[3]首次报告了经皮经肝经胆道途径(PTCD),放置引流管在阻塞的输入袢被证明是提供了首选的,有效的姑息治疗方法[6]。但是这种方法可以引起逆行性胆管炎,导致败血症[4,5]。PTCD后由于注射造影剂或暂时性或血凝块、管道碎片的阻塞可以胆道内压力升高,这甚至在胆道引流有效的时候发生。胆道内压力升高和被阻塞的十二指肠返流的影响可以引起胆管炎[9]。因此,输入袢阻塞的情况下尽量避免经皮经肝途径的输入袢引流。
按照Moriura等人的说法,输入袢阻塞引起黄疸进行空肠-空肠吻合术或Roux-en-Y外科转流的成功率为75%[8]。但是,很多病人难以第二次手术,主要因为情况差难以承受、腹腔粘连和肿瘤广泛转移。黄疸或胆管炎急需姑息治疗的措施。
胆道内压力升高和被阻塞的十二指肠返流的影响可以引起胆管炎[9]。因此,输入袢阻塞的情况下尽量避免经皮经肝途径的输入袢引流。
一般来讲,因为潜在肠内容物的腹腔内溢出,腹膜炎,肠蠕动导致的导管脱出,败血症,出血[3,4,10]应避免直接穿刺被阻塞的肠袢。但是,小肠或结肠梗阻采用经皮穿刺减压已经获得成功的应用[10,11]。此外,以前已经报告直接穿刺阻塞的输入袢是安全和有效的[7,8]。本例没有发生传说中的操作相关并发症。可能,由于肠粘连和腹膜腔肿瘤的种植粘连隔离了阻塞的肠袢在其中扮演了防止肠内容物外溢到腹膜腔。考虑到前人的经验[7,8,10,11],经皮急性输入袢穿刺造瘘是安全的,至少腹膜炎的可能性甚少。
经皮空肠造瘘应用的导管直径可以是8.5~12F各种导管,包括肾造瘘导管,胃造瘘导管,多用途猪尾巴导管引流管,膀胱造瘘导管和Foley导管[7,8,10,11]都在选择之列。这些导管的特点是都具有保持肠壁贴服腹前壁的加强装置,如球囊或卷曲成猪尾巴构型。
自膨式金属支撑架已经被用于姑息性治疗恶性胃和十二指肠阻塞[12,13]。目前为止仅有一例报告经皮经肝透视引导下释放支撑架治疗十二指肠狭窄[14]。但是,本例经空肠造瘘释放支撑架,和文献报告一样没有并发症。基于目前商业应用的9F输送器,20mm直径的支撑架经肠途径释放到梗阻输入袢是安全、有效的。
文献中曾提到有人即使进行经皮空肠造瘘输入袢梗阻缓解但黄疸并没解除,主要原因是病人同时存在胆道梗阻。患者胃癌切除术后或晚期胃癌胆道周围转移性淋巴结(特别是在胆囊管周围)肿大导致胆道梗阻和黄疸的最常见原因[15]。Caldicott等人[14]报告成功地经皮经肝途径同时放置胆道和输入袢支撑架。因此若经皮空肠造瘘临床缓解不明显时,应考虑同时存在胆道梗阻,此时经皮经肝造影和胆道支撑架置入对患者是有帮助的。如果胆道梗阻在胆肠吻合口处或以上水平或Roux袢阻塞,需要在术前通过PTCD或US,MRCP明确诊断。一经证实进行胆道支撑架植入。
输入袢梗阻进行空肠造瘘和支撑架植入是安全有效的。
以下为文献中的输入袢综合症介入治疗影像
病例一:
![]() ![]() CT提示输入袢肠管扩张,经皮扩张的肠管穿刺 ![]() 支撑架植入术后
病例二:
![]() ![]() 箭头所示为肿瘤复发导致输入袢梗阻,并胆道扩张 ![]() 经皮空场造瘘后,支撑架植入 ![]() 尽管输入袢梗阻缓解,但胆道梗阻需进一步进行PTCD 1.Fischer JE, Fegelman E, Johannigman J. Surgical complications.In: Schwartz SI, Shires GT, Spencer FC, Daly JM, Fischer JE, Galloway AC, eds. Principles of Surgery. 7th ed. New York: McGraw-Hill, 1999; 441–483.
2.Stabile BE, Passaro E Jr. Sequels of surgery for peptic ulcer.In: Bockus HL, Berk JE, eds. Bockus Gastroenterology, 4th ed. Philadelphia: WB Saunders, 1985; 1225–1254. 3.Lee LI, Teplick SK, Haskin PH, Sammon JK, Wolferth C, Amron G. Refractory afferent loop problems: percutaneous transhepatic management of two cases. Radiology 1987; 165: 49–50. 4.Morita S, Takemura T, Matsumoto S, Odani R. Septic shock after percutaneous transhepatic drainage of obstructed afferent loop: case report. Cardiovasc Intervent Radiol 1989; 12: 66–68. 5.Moriura S, Ikeda S, Kimura A, Iwatsuka Y, Ikezawa T, Naiki K. Jaundice due to afferent loop obstruction following hepatectomy for a hilar cholangiocarcinoma. Abdom Imaging 1996; 21: 226–227. 6.Yao NS, Wu CW, Tiu CM, Liu JM, Whang-Peng J, Chen LT. Percutaneous transhepatic duodenal drainage as an alternative approach in afferent loop obstruction with secondary obstructive jaundice in recurrent gastric cancer. Cardiovasc Intervent Radiol 1998; 21: 350–353. 7.Maile CW, Hanna PD. Direct percutaneous drainage of an obstructed afferent loop. AJR Am J Roentgenol 1989; 152: 521–522. 8.Moriura S, Takayama Y, Nagata J, et al. Percutaneous bowel drainage for jaundice due to afferent loop obstruction following pancreatoduodenectomy: report of a case. Surg Today 1999; 29: 1098–1101. 9. Audisio RA, Bozzetti F, Severini A, et al. The occurrence of cholangitis after percutaneous biliary drainage: evaluation of some risk factors. Surgery 1988; 103: 507–512.
10.Bezreh JS. Percutaneous catheter drainage of closed-loop small bowel obstruction. AJR Am J Roentgenol 1983; 141: 797–798. 11. Morrison MC, Lee MJ, Stafford SA, Saini S, Mueller PR. Percutaneous cecostomy: controlled ransperitoneal approach. Radiology 1990; 176: 574–576.[Abstract] 12.Song HY, Yang DH, Kuh JH, Choi KC. Obstructing cancer of the gastric antrum: palliative treatment with covered metallic stents. Radiology 1993; 187: 357–358. 13. Jung GS, Song HY, Kang SG, et al. Malignant gastroduodenal obstructions: treatment by means of a covered expandable metallic stent-initial experience. Radiology 2000; 216: 758–763. 14.Caldicott DGE, Ziprin P, Morgan R. Transhepatic insertion of a metallic stent for the relief of malignant afferent loop obstruction. Cardiovasc Intervent Radiol 2000; 23: 138–151.
15.Lee BH, Chin SY, Kim SA, Kim KH, Do YS. Obstructive jaundice in gastric carcinoma: cause, site, and relationship to the primary lesion. Abdom Imaging 1995; 20: 307–311.
|















