TIPS 病例
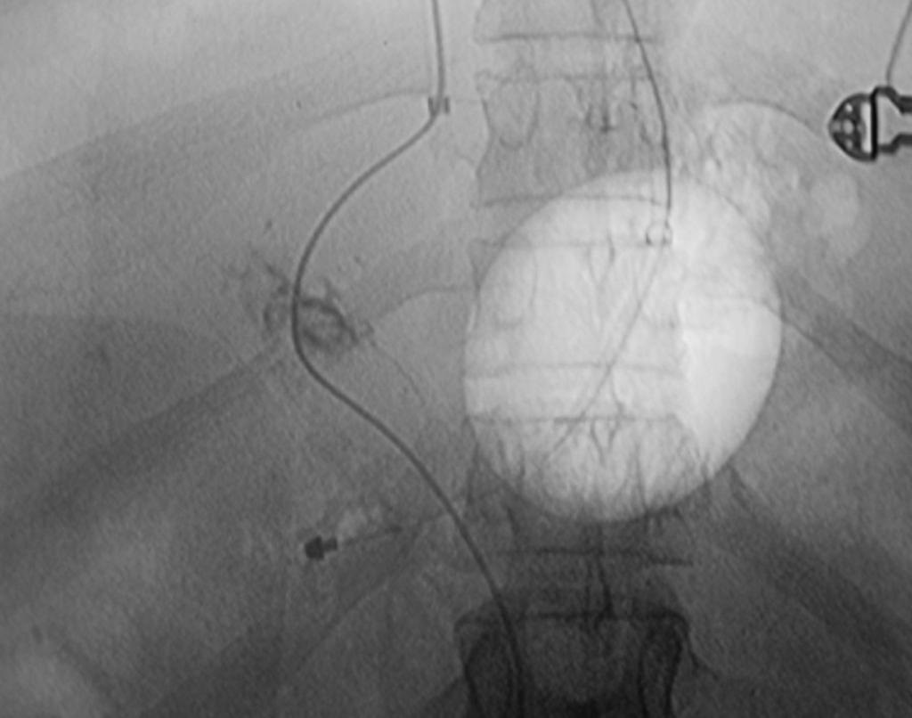
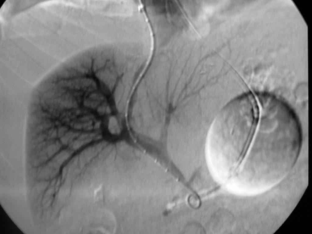
病例2:经左肝静脉-左门静脉穿刺,支撑架植入术
肠系膜上静脉血栓TIPS
(未完待续) 1. Henderson et al. Distal splenorenal shunt versus transjugular intrahepatic portal systemic shunt for variceal bleeding: A randomized trial. Gastroenterology 2006; 130:1643-1651 2. Boyer and Haskal. The role of Transjugular Intrahepatic Portosystemic Shunt in the management of portal hypertension. AASLD Practice Guideline. Hepatology, Feb 2005. Update 2009 (Hepatology Jan 2010) 3. Boyer and Haskal. The role of Transjugular Intrahepatic Portosystemic Shunt in the management of portal hypertension. AASLD Practice Guideline. Hepatology, Feb 2005. Update 2009 (Hepatology2010) 4. Fillmore DJ et al. Transjugular intrahepatic portosistemic shun: midterm clinical and angiografic follow-up.JVIR 1996 5. Haskal ZJ et al.Transjugular intrahepatic portosystemic shunt stenosis and revision: early and midterm results. AJR 1994 6. Saxon RS et al. Transjugular intrahepatic portosystemic shunt patency and the importance of stenosis location in the development of recurrent symptoms. Radiology 1998. 7. Otal P et al .Preliminary results of a new expanded-polytetrafluoroethylene-covered stent graft for trnasjugular intrahepatic portosystemic shunt procedures.AJR 2002 8. Cejna M et al.Creation of trnasjugular intrahepatic portosystemic shunts with stent-grafts:initial experiences with a polytetrafluoroethylene-covered nitinol endpprosthesis.Radiology 2001 9. Hausegger KA et al.Transjugular intrahepatic portosystemic shunt creation with the Viatorr expanded polytetrafluoroethylene-covered stent-graft.JVIR 2004 10. Bureau et al, Improved clinical outcome using polytetrafluoroethylene-coated stents for TIPS: Results of a randomized study. Gastroenterology 2004 11. Bureau et al, Patency of stents covered with polytetrafluoroethylenein patients treated by trans-jugular porto-systemic shunts: long-term results of a randomized multicentre study. Liver Int 2007 12. Bryan Peterson et al. Intravascular Ultrasound-guided Direct Intrahepatic Portocaval Shunt: Mid-term Follow-up. JVIR Set. 2004 |






















































