病例1病例二 病例三
返回首页

病例二:结肠憩室急性大出血(微导管接近出血)

时间:2020-11-07 22:46来源:未知 作者:Mr.Editor
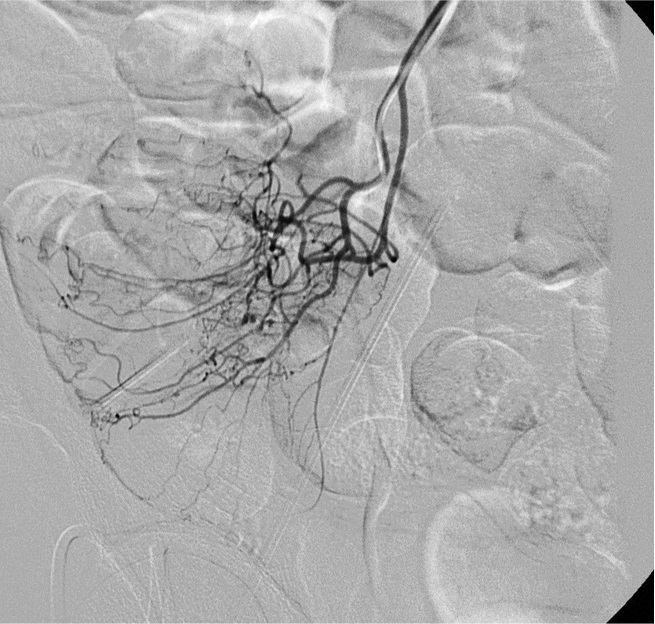
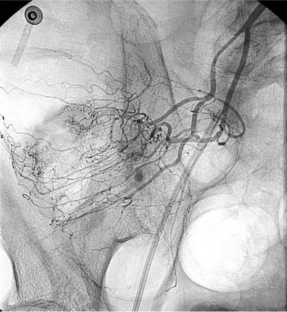
64岁 男性 无相关病史。因下消化道出血急诊室就诊。考虑到急诊出血情况下效果差,未进行结肠镜检查。CTA 未显示造影剂外溢,但右结肠/回肠大憩室。临床持续出血和生命体征恶化,介入医生会诊决定进行动脉造影。 下一步最好? 选择性腹腔动脉造影? 肠系膜下动

64岁 男性 无相关病史。因下消化道出血急诊室就诊。考虑到急诊出血情况下效果差,未进行结肠镜检查。CTA 未显示造影剂外溢,但右结肠/回肠大憩室。临床持续出血和生命体征恶化,介入医生会诊决定进行动脉造影。




   

   



   


 
   

下一步最好?
  • 选择性腹腔动脉造影?
  • 肠系膜下动脉造影?
  • 超选择回结肠动脉和右结肠动脉造影?
  • 肠系膜上动脉溶栓剂激发出血?
  • 肠系膜上动脉血管扩张剂激发出血?
 
 
 
 

如果你能用微导管接近出血点,最好的栓塞材料是什么?
 
  • Gelfoam pledgets
  • PVA particles 300-500 microm
  • Glue
  • Coils
 

   
   

 
What would be the best next step if you can not  get close to the bleed with a micro-catheter?
  • Embolise from unselective position
  • Abandon procedure and ask endoscopist to treat the bleed
  • Abandon and ask surgeon to treat the bleed
 
造影剂外溢
 

   

顶一下
(0)
0%
踩一下
(0)
0%
------分隔线----------------------------
  • 上一篇:没有了
  • 下一篇:没有了
推荐内容