C-TACE
作为改进2022年BCLC分期中的B期,重新分为三个亚组,仅其中一组被认为适合TACE
Consensus StatementA Changing Paradigm for the Treatment of Intermediate-Stage Hepatocellular Carcinoma:Asia-Pacific Primary Liver Cancer ExpertConsensus Statement
1. 在ss-cTACE(荷瘤门静脉及微血管侵入)过程中应覆盖整个肿瘤体积。
2. 血管- CBCT 应用于检测被增强肿瘤、肿瘤供血动脉和指导肿瘤靶向栓塞。(鼓励使用导航或仿真软件。)
3. 2.4 French被认为是执行ss- TACE所接受的最大口径限制,但更低的微导管口径(低至1.5-2.0 F)是首选和推荐的。
4. 治疗应以70-100微米液滴的油包水乳剂的形式注射。
![]() ![]() ![]()
数十年来的治疗标准
大量文献证据,特别是来自亚洲的文献证据:
限制
手术后影像学更复杂的复发评估
不标准稀释,可能影响手术结果 更高的全身CHT峰
在肝癌的经动脉化疗栓塞术(c-TACE)中,化疗药物与栓塞剂(如碘油)的乳化类型对治疗效果至关重要。以下是关于水包油(oil in water, O/W)和油包水(water in oil, W/O)乳剂的详细分析:
1. 油包水乳剂(W/O)优势:
稳定性:碘油(油相)作为连续相包裹化疗药物(水相),形成稳定的乳剂,不易分层,确保栓塞的均匀性和持久性。
缓释作用:药物从油相中缓慢释放,延长肿瘤局部药物暴露时间,增强杀伤效果。
栓塞效果:碘油滞留在肿瘤血管中,阻断血流并诱导缺血坏死。
临床应用:
经典c-TACE多采用W/O乳剂,如阿霉素与碘油的混合,广泛用于肝细胞癌(HCC)治疗。
文献支持其疗效,如多项研究显示W/O乳剂可提高肿瘤坏死率并减少全身副作用。
2. 水包油乳剂(O/W)特点:
快速释放:水相为连续相,药物释放较快,可能适合需要短期高浓度药物的场景。
稳定性挑战:易分层,需添加乳化剂(如Span 80)维持稳定性,可能增加操作复杂性。
应用场景:
较少用于传统c-TACE,但可能与其他栓塞材料(如微球)联用,或在特定药物(亲水性)输送时考虑。
3. 关键考量因素
|
![]() |
![]() |
4 ml药物(100 mg)转移到空的20 ml注射器中。
所有的药物都应推入含有lipodol(油包水乳剂)的注射器中。
通过三通旋塞进行剧烈混合,以减少内相液滴的大小(20泵送)。
需要在70-100微米范围内获得液滴的内相尺寸。混合物必须在给药时制备。
![]() |
![]() |

结论
任何时候建议进行cTACE,都应该是ss-cTACE,最好使用1.5-2.0 Fr的微导管。
理想情况下,ss- TACE应少于5个病变,最多累及2个节段,最大肿瘤小于5cm。
油包水乳化液,其质量可通过其内部测试指标进行评价
术前CT,69岁女性,HBV + 肝硬化, S3段 直径3cm肝癌
术前CT,69岁女性,HBV + 肝硬化, S3段 直径3cm肝癌
![]() |
![]() |
![]() |
![]() |
![]() |
![]() |
![]() |
![]() |
![]() |
![]() |
![]() |
d-TACE
DSM-TACE
EmboCept S DSM 50μm是一种栓塞材料,用于无法手术的肝肺肿瘤的动脉内治疗,结合细胞毒性药物使用。使用大约50μm大小的微球,半衰期约为35分钟,EmboCept S DSM 50μm可用于单段超选择性治疗和选择性靶向一个肝脏叶以治疗多发性肿瘤。EmboCept S DSM 50μm DSM-TACE与药物洗脱珠经动脉化疗栓塞(DEB-TACE)以及常规经动脉化疗栓塞(cTACE)并驾齐驱,成为治疗肝肿瘤患者的可行治疗选择。尽管几十年前就已经上市,不像前两者但并没有在全球范围推广开来、
一、技术概述

DSM-TACE(可降解淀粉微球经动脉化疗栓塞术)是一种新型介入治疗技术,通过50μm的可降解淀粉微球(EmboCept S DSM)联合化疗药物进行靶向栓塞。其核心特点包括:
可降解性:微球半衰期约35分钟,术后数小时内完全降解,避免长期血管阻塞。
灵活性:允许重复栓塞同一血管,适用于多病灶或需分阶段治疗的患者。
减少副作用:短效栓塞减少缺血性疼痛及VEGF等促血管生成因子的释放,降低肿瘤复发风险。
技术对比:
与传统TACE(cTACE):cTACE使用永久性栓塞剂(如碘油或明胶海绵),可能损伤肝功能,尤其对肝硬化患者不利。
与DEB-TACE(药物洗脱珠栓塞):DEB-TACE需更大栓塞颗粒(100-300μm),穿透力弱于DSM,且不可降解。
二、核心优势
肝细胞癌患者放疗栓塞后停用索拉非尼后不符合药物洗脱珠- tace (debtace) (k)适用于所有mCRC患者/肝内CCC
适应症广泛:【Haubold J, 2020】
肝脏:由于其独特的可降解特性,EmboCept S DSM 50μm可以用于更广泛的患者群体,主要在多灶性或多段性疾病的患者中使用EmboCept S DSM 50μm。临床实践中主要是肝癌,因为你可以以高疗效和低毒性治疗患者。其它包括肝转移瘤(如结直肠癌转移)。多灶,双叶肝脏肿瘤,d-TACE术后患者,SIRT术后,索拉非尼停药,转移性结直肠癌,肝内胆管细胞癌(CCC)【Schicho A, 2017】
肺部:肺癌的经肺化疗栓塞(DSM-TPCE)。
复杂病例:肝硬化合并多发性HCC、不可切除的肝门周围胆管癌(pCCA)。
安全性提升:
保护肝功能:EmboCept S DSM 50μm特有的可降解机制允许暂时性缺血,显著减少了副作用并提高了治疗效果。在治疗过程中,长时间缺血有可能产生毒性,导致栓塞后综合征,进而引发肝脏功能恶化。然而,使用EmboCept S DSM 50μm时,这些情况发生的风险要小得多,甚至可以忽略不计,即使在更广泛的疾病中使用,也能提供大大改善的安全性特征——尽管我们治疗的肝脏比例较大,但与其他技术相比,它仍然更容易被接受。短暂栓塞减少对非靶组织的损伤,尤其适用于肝功能储备有限的患者。另一个优点可以扩大TACE治疗的适应症,即使是肝功能差或晚期HCC患者,即使在TARE或索拉非尼失败后【Lezzi R, 2018】。
低毒性:化疗药物(如顺铂、吉西他滨)缓慢释放,降低全身毒性反应(如恶心、呕吐)。
治疗效果显著:
病例数据显示,DSM-TACE治疗后8个月,肿瘤体积显著缩小(如图四所示)。
三、临床应用案例
病例背景:
78岁女性,不可切除的Bismuth IV型pCCA,一线化疗失败。
MRI显示肝内肿瘤进展(图一),肝功能轻度异常,胆红素正常(术后胆道支架维持)。
治疗过程:
术前准备:联合卡培他滨化疗,预防性使用抗恶心药物及抗生素。
介入操作:
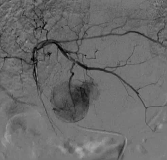
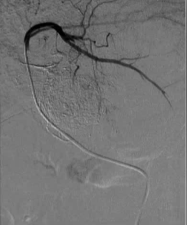
血管造影发现腹腔干狭窄,通过肠系膜上动脉侧支建立通路(图二)。
微导管精准置入肝动脉,缓慢输注顺铂(75mg/m²)及吉西他滨(1000mg/m²),联合DSM微球栓塞(图三)。
结果:术后8个月肿瘤显著缩小,未出现严重并发症。
四、治疗策略和技术亮点:
治疗策略
EmboCept S DSM 50微米可降解的特性是一个显著的优势,它能够在材料角度不用担心闭塞或在侧支循环的情况下进行再血管化治疗。对于转移性结直肠癌(mCRC),能够重复进行治疗至关重要,因为化疗栓塞通常与伊立替康联合使用,后者需要健康肝脏的反复激活。、
在为转移性结直肠癌患者提供栓塞治疗时,需要采用肝叶栓塞术,这涉及每肝叶总共两次治疗——如果是一个双肝叶栓塞治疗,则是四次治疗——这些治疗之间间隔两到三周。我们必须有能力在非常短的时间内重复进行栓塞治疗。、
EmboCept S DSM 50微米与多种药物(如多柔比星或表柔比星)结合使用的可能性可能更有价值。相关研究正在取得非常好的结果,并且它与其他药物结合使用的潜力为治疗新适应症打开了大门。不仅是肝癌或转移性结直肠癌,还包括胆管癌和其他肝转移瘤,从肺部或胃肠道的肿瘤到妇科肿瘤。这是一种针对局部晚期多灶病变的患者的治疗选择,EmboCept S DSM 50微米在各种适应症中的潜在应用正在获取证据中。患者通常不能接受其他类型的TACE治疗,接受放射栓塞治疗也不高的情况,采用可降解淀粉微球进行栓塞是一种耐受性非常好的选择
技术亮点
全肝栓塞可行性:通过侧支循环完成全肝治疗,突破血管狭窄限制。
药物优化:使用高溶解度顺铂粉末(PlatiCept),减少注射体积,增强栓塞效果。
五、临床证据
Ludwig等人,进行了迄今为止最大的回顾性欧洲多中心研究,该研究仔细审查了 DSM-TACE 在不适合接受其他标准治疗或这些治疗失败的晚期肝癌患者中的安全性和有效性。他们的研究结果于 2021 年在《癌症》杂志上发表。【Ludwig JM 2021】
调查人员从三个欧洲中心确定了 121 名患者。为了接受 DSM-TACE 治疗,患者需要患有不可切除的肝癌,并且满足各机构特定的纳入标准。在柏林,巴塞罗那诊所肝癌分期(BCLC)为 C 和 D 的患者被认为符合条件;在罗马,对 TACE 耐药或不敏感的 BCLC B 期患者以及 C 期患者、Child-Pugh 评级为 A 或 B 的患者以及东部肿瘤协作组(ECOG)状态为 0-1 的患者;在埃森,不适合消融、移植、常规 TACE、放射栓塞或系统治疗使用蛋白激酶抑制剂的患者以及 ECOG 状态为 0-2 的患者。
这群人的总体肿瘤负担很高,其中 63.6% 为双叶病变、61.2% 有>3 个肝癌结节、26.4% 有血管侵犯。然而,他们的结果显示,患者的生存中位数达到了 15.5 个月,肿瘤进展的中位时间为 9.5 个月,疾病控制率为 83.2%。此外,他们发现存活时间较长的患者病变为≤10cm
![]() |
| 首次DSM-TACE后的整体生存率(OS)。所有患者(A)以及按机构分层的患者(B)在首次DSM-TACE后的OS。各机构之间没有统计学显著差异。 |
![]() |
| 根据BCLC分期,整体生存率(OS)有所不同。在首次DSM-TACE后,按BCLC分期对OS进行了分层。BCLC分期B和C的患者之间OS存在统计学显著差异(p=0.003)。A和B(p=0.1)以及C和D(p=0.1)之间的差异没有统计学意义。 |
六、未来发展方向
目前,并没有看到更多介入治疗师使用这项技术,Medline DSM-TACE为检索词,也就59篇。应继续继续向更广泛的专业人员传播关于其益处的知识,因为这种方法在许多国家仍然有点鲜为人知。对于医疗专业人士来说,这并非是一种吸引人的选择,但能够为不同患者提供服务,强调了这种有效的治疗方法也是相对简单和成熟的。
回到患者身上,使用EmboCept S DSM 50微米的DSM-TACE代表了那些可能选择有限的人的另一种治疗选择。它以患者的高度舒适性为特点,他继续说道,它可以与径向途径相结合。在艾泽伊看来,EmboCept S DSM 50微米在肝癌中的明显疗效和安全性能为未来的门诊和流动护理打开大门。他补充说:患者可以在治疗后六小时出院,目的是为患者提供有效且舒适的治疗选择。
联合免疫治疗:
机制:DSM栓塞后肿瘤微环境释放趋化因子,促进T细胞归巢,增强免疫检查点抑制剂(如PD-1/PD-L1抗体)疗效。
潜力:临床前研究显示DSM与免疫调节剂(如IL-2)联用可提升抗肿瘤效果。
扩大适应症:
肺癌:探索支气管动脉DSM-TPCE在晚期肺癌中的应用。
其他实体瘤:如胰腺癌、肾癌的动脉栓塞治疗。
技术优化:
剂量标准化:建立化疗药物与微球的最佳配比。
影像引导升级:结合MRI实时监测栓塞效果,减少辐射暴露。
五、挑战与局限性
研究规模:当前支持数据多来自小规模临床试验(如德国马尔堡大学案例),需更多多中心研究验证长期疗效。
操作复杂性:依赖介入医师经验,尤其在复杂血管解剖(如侧支循环建立)中操作难度较高。
药物可及性:PlatiCept等定制化药物尚未全球普及,可能限制技术推广。
六、结论
DSM-TACE通过可降解微球与化疗药物的创新结合,为肝脏及肺部肿瘤提供了更安全、灵活的治疗选择。其核心价值在于平衡疗效与安全性,尤其适用于肝功能受损或多病灶患者。未来,随着免疫联合治疗的探索及技术标准化,DSM-TACE有望成为肿瘤介入治疗的重要支柱。
参考文献:
Schicho A et al. (2016).
Kelley RK et al. (2020).
Cillo U et al. (2019).


























