历史
在肝细胞肝癌(HCC)的治疗中经常使用栓塞疗法是因为肝脏肿瘤较大或在很多病例中由于肿瘤生长在硬化的肝组织中肝功能较差而不能被外科切除。经导管栓塞首先由法国的Doyon等人在1974年报道。随后,1978年Yamada等人在获得对很多肝细胞肝癌患者的经验后也作了报告。两组试验在栓塞时都使用了明胶海绵(海绵胶:GS),但是后来此种治疗步骤的局限性逐渐被认识。1979年,Nakakuma等人首次尝试将碘化油,一种油性的对比剂,注入肝动脉。而Ohishi等人在1985年同时使用碘化油和明胶海绵进行栓塞。碘化油可以加强明胶海绵的栓塞作用,而且因为碘油可以选择性沉积在肝癌组织中而在诊断细胞肝癌时有意义,因此,现在被很多文献中所使用使用。作者发现碘化油同时是抗肿瘤药物的一个很好的载体,因此,在肝癌患者的化学栓塞治疗中加入了碘化油,使用碘化油与抗肿瘤药物的混合物同时加入明胶海绵进行栓塞。再随后,段或亚段的碘化油化学栓塞被尝试。碘化油在化学栓塞治疗的领域中的价值逐渐被认识到。
原理
肝脏的血液供应有肝动脉和门静脉两者来源。因此,如果只有肝动脉被栓塞,肝组织不会坏死。但是,肝细胞肝癌主要靠肝动脉供血(占95%),因此,动脉栓塞只引起肝癌缺血而导致坏死。但是,非肿瘤的肝实质组织在不同程度上受到注入肝动脉的栓塞物质的影响。
当碘化油被注入肝动脉时,它很容易就流入门静脉。Kan等人发现高剂量的碘化油加明胶海绵会导致猪的肝脏坏死。有包膜包裹的肝细胞肝癌完全由肝动脉供血,而包膜外的侵润病变以及周围的卫星病变同时接受门静脉的供血。因此,有包膜的肝细胞肝癌在使用明胶海绵栓塞后完全坏死,而无包膜肿块或者包膜外的病变部分很少坏死。显然,在促使大部分肿瘤坏死的过程中明胶海绵扮演了重要角色。另外,它可以被吸收,两至四周后,肝动脉可以再通,因此非肿瘤组织很少受到损害。

另一方面,碘化油阻塞动脉血流的作用很小。但是,它可以随着大量的血流进入肝细胞肝癌组织内,并储留在那里而担当抗肿瘤药物的载体。如果一个稳定的抗肿瘤药物与碘化油的混合物制成,则此混合物一起储留在肿物内,由于碘化油的存在,抗肿瘤药物可以缓慢的释放并始终保持局部有高的浓度。当我们使用碘化油乳剂进行化学栓塞时,抗肿瘤药物的血药浓度大大低于静脉注射时的血药浓度,但是在切除的肿瘤组织内浓度非常高。
最常用的细胞毒性化疗药物有
-
Doxorubicin hydrochloride
-
Mitomycin
-
Cisplatin
-
Epirubicin hydrochloride
常规TACE与碘油混合的药物
|
药物 |
mg/m² |
|
Doxorubicin |
20-40 |
|
Mitomycinin |
10-20 |
|
Cisplatinin |
60-100 |
|
Epirubicinn |
50-60` |
碘化油与抗肿瘤药物的混合物也经过胆囊周围血管网,流入门静脉的分支,因此,它也可以作用于对明胶海绵栓塞无反应的包膜外病变。但是,如果碘化油在门静脉内的浓度增加非肿瘤组织可能更容易被损伤。因此,强烈推荐,治疗时应根据肿瘤的大小以及血管分布使用需要的最小剂量碘化油。导管的头端应该尽可能的接近肿瘤的供血动脉,从而使流入非肿瘤组织的碘化油的量最少。保证在一个限定的局域内局部注射药物,大大提高了药物的抗肿瘤疗效。
另外,由于肿瘤同时受肝动脉与门静脉的影响,因此,碘化油向门静脉的回流也提高了其抗肿瘤作用。当入碘化油与抗肿瘤药物的混合物后继续注入明胶海绵栓塞可以达到最佳疗效。在化学栓塞中是否使用明胶海绵取决于门静脉的血流与肝功能。门静脉的供血情况很重要是因为,如果门静脉血流良好则在栓塞后正常肝细胞很少受影响。
因此,在门静脉完全阻塞又没有侧枝循环的患者,是使用明胶海绵进行栓塞禁忌的。但是,它可以用于门静脉主干未完全闭塞,或门静脉主干完全闭塞但存在侧支血管,或只有右主门静脉完全性闭塞,而栓塞的区域较小同时残余肝功能足够。门静脉血流可以通过动脉门静脉造影估计,但是,可以从动脉门静脉造影时进行的CT(CTAP)中得到更准确的信息。如果CTAP显示门脉区域灌注小于整体的50%时,尽管无门脉造影证明存在瘤栓阻塞门静脉,栓塞治疗也是禁忌的。
另一个决定化学栓塞的重要因素是栓塞前的肝脏功能。患者必须有足够的肝储备功能才能从栓塞造成的损伤中恢复。如果总的胆红素水平等于或大于2.0mg/L,则进行整肝的完全性栓塞是很危险的。如果总的胆红素水平小于1.0mg/L,栓塞治疗是很安全的,如果在两者之间,则栓塞的安全性取决于门脉的血流。经常使用的高选择性亚段动脉栓塞可用于肝功能严重受损的病人。肝细胞肝癌破裂的急诊的动脉栓塞,多为高选择性的,即使存在门静脉内瘤栓患者也是适应证。但是,如果总的胆红素水平等于或大于3.0mg/l,栓塞预后不良。
导管技术
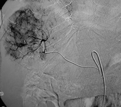
在没有出现多排CT之前,在肝癌肝动脉栓塞之前首先应该进行腹腔动脉造影以及肠系膜上动脉造影,以判定肝脏血管解剖和门脉血流以及是否存在胃底食道血管曲张。然后再行肝总动脉或肝固有动脉造影,以确定肿瘤的范围并辨认供血动脉。如果必要,肝动脉造影还应取斜位。如今多排CT的普遍应用可以更轻易获取肝动脉解剖变异,肝癌供血以及门静脉受累情况,是否可以直接进行肝癌主要供血动脉的栓塞应直接到考虑。
多排CT血管重建还可以发现位于肝表面肿瘤或者肝动脉存在狭窄或闭塞的情况下,是否有膈下动脉、肋间动脉或其它侧支动脉肿瘤供血。
判断肿瘤供血主要决定需要栓塞的肿瘤血管。如果肿瘤的范围较大,则应从肝固有动脉或者右肝、左肝动脉进行化疗性栓塞。如果将导管置于肝固有动脉有一定的困难,或可先进行胃十二指肠动脉栓塞(通常为弹簧栓子)以改变血流方向,从而可以从肝总动脉处释放栓塞剂。这项技术也用于左肝动脉从胃左动脉发出处。当导管不能被放入发自胃左动脉的副左肝动脉远端时,这项技术也是有效的。如果肝固有动脉严重的狭窄或者闭赛,则可以使用球囊导管经门静脉周围的动脉侧支阻塞肝总动脉从而达到肿瘤的化学栓塞作用。
当肿瘤比较局限,导管可以前进至段或者亚段动脉,从而只对存在肿瘤区域进行化学栓塞。使用这项技术时推荐使用共轴的微导管。整体肿瘤区域是否完全被导管栓塞可以从动脉造影中估计,但是,从导管内注入造影剂时进行动脉造影CT可以得到更准确的评价。
化学栓塞的步骤
关于碘油化疗性栓塞的步骤,首先应准备与碘化油混合的抗肿瘤药物。阿霉素类药物(20~50毫克),或表柔比星(30~60毫克),丝裂霉素C(10~20毫克)等可以用于这个目的。水溶性抗肿瘤药物与碘油混合后要成为稳定的乳剂,可以通过先将药物溶于几乎与碘化油等比重的非离子造影剂剂,或者溶于60% 泛影葡胺(urographin)以1比5的体积比稀释后的,再注入碘化油溶液中振荡。
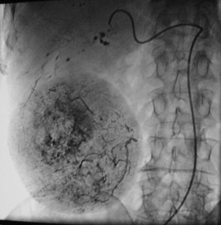
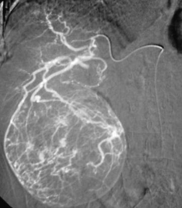
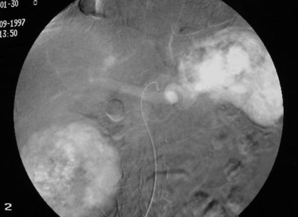
碘化油的量取决于肿瘤的大小和血管分布,导管置入部位,和肝功能受损情况。一般剂量为3至10毫升。在靶动脉内放置的导管内注射2%的利多卡因5ml后再进行化学栓塞注射。这样可以避免在操作过程中或操作刚结束时肝脏内产生的剧烈疼痛。然后,抗肿瘤药物与碘化油的混合物被缓慢注入。最后,被剪成小块状的明胶海绵或海绵颗粒或PVA与造影剂和少量的抗肿瘤药物的混合物注入肝动脉。如果存在肝外侧支动脉,则在此动脉中也应放置导管,进行化学栓塞。如果存在显著的动-门脉短路,则在注入碘化油乳剂前,应首先注入少量明胶海绵以阻断血流。动-肝静脉短路也应该被同样处理,但在注入碘化油之前寻找是否有到体循环的短路是最重要的,避免肝动脉栓塞后的肺栓塞。 注入碘化油乳剂之后,应进行数字减影血管造影(DSA),从而确定肿瘤染色是否已经消失。术后定期应拍摄腹部X线片,以确定碘化油是否持续沉积。
碘油乳剂的栓塞终点:新生血管的阻塞,意味着应避免肿瘤滋养动脉出现血流停滞。对于常规TACE来说栓塞时知道门静脉分支可见时是最理想的。而对于DEB-TACE,我们需要血流载运微球,所以心脏两、三跳之后造影剂消失。
最理想的是栓塞时门静脉分支可以看见
 |
|
|
碘油+化疗药物肝癌灌注后用微粒进行栓塞治疗,是为了进一步导致肿瘤缺氧坏死。最常用的微粒包括明胶海绵颗粒和PVA颗粒。尽管碘油灌注时的终点是避免滋养动脉停滞,但随后的微粒栓塞直到滋养动脉停滞。
随访
完成碘油化疗性栓塞后,标准的随访程序并没有建立。但患者应随访肿瘤标记物和CT。早期的治疗反应是通过CT来评价的,一般在治疗后一周和一个月各进行一次。治疗反应于肿瘤内碘化油的储留关系密切。
一般栓塞后早期情况下肿瘤与碘油沉积有4种情况。满月型,半月型,弥散型和没有碘油储存的情况。当碘油满月型沉积在肝癌内,其储留时间为一个月或者更长,则肿瘤一般都坏死。半月型碘油沉积说明栓塞不足或一部分碘油已经经瘤内的动静脉瘘分流。晚期出现的半月型或碘油内出血充盈缺损(结节内结节,Nodular in Nodular)则表明肿瘤可能复发。如果存在任何肿瘤残余或者复发。尽管该位置病变在螺旋动力CT可表现为高密度(例如,动脉期)。但由于碘化油的聚集使的肿瘤的内部状态很难从CT上观察,此时应该使用MRI增强。聚集的碘化油并不影响MRI信号,因此活动性肿瘤可以通过MRI早期发现。 弥散型碘油沉积和根本就没有碘油沉积预示预后不良,特别是没有其它辅助治疗的情况下。诊断错误也应在考虑范围内,如不是原发性肝癌,而是胆管癌或其它少血管肝内肿瘤。
结果
在栓塞后进行了肝切除术的患者中,可以观察肿瘤标本对于化疗性栓塞的反应。据报告(Hashimoto T,1995)在100例肝癌患者进行肝动脉栓塞后(不包括那些进行了亚段化疗性栓塞的患者)进行了肝切除术。从标本中直接观察肝细胞肝癌对与碘化油化疗性栓塞的病理学反应。结果显示发生肿瘤完全坏死的有29例患者。肿瘤的反应与肿瘤的生长方式关系密切。报告中有79例患者的肿瘤有明显的包膜并呈膨胀式生长,此类肿瘤中有66例(83.5%)发生80%以上的肿瘤组织坏死。而另外21例患者的无包膜生长的肿瘤中只有6例(28.5%)发生80%以上的肿瘤组织坏死。较大肿瘤没有任何肿瘤组织在栓塞后发生完全坏死。
在碘化油的剂量小于5毫升时,使用明胶海绵与碘化油进行化学栓塞的安全性基本上与单用明胶海绵进行栓塞相同。但是,对于有肝功能损害的患者应仔细控制药量,因为他们可能进展为肝衰竭。碘化油的一个副作用是形成胆汁瘤(胆汁湖)。研究中,当使用碘化油乳剂时其发生率为1%或更低。胆汁瘤除非感然并进展为脓肿,否则可以不予处理。脐周的皮下硬化可能与碘化油乳剂流入肝镰状动脉有关。
(责任编辑:Mr.Editor) |