1. 背景与目的
肝细胞癌(HCC)是全球常见的恶性肿瘤,巴塞罗那临床肝癌分期(BCLC)中的A期患者属于早期,适合接受根治性治疗。射频消融(RFA)作为经皮热消融技术的代表,长期被视为早期HCC的标准治疗方案。近年来,微波消融(MWA)因其技术优势(如更快的加热速度、更大的消融范围)逐渐被广泛应用。然而,两者在疗效和安全性上的对比仍存在争议。
本研究旨在通过系统回顾与Meta分析,综合随机对照试验(RCT)数据,比较MWA与RFA在BCLC-A期HCC中的临床效果及安全性。
2. 研究方法
-
数据来源:检索PubMed/Medline、Cochrane Library及EMBASE数据库,筛选符合条件的研究。
-
纳入标准:仅纳入RCT研究,比较MWA与RFA在BCLC-A期HCC中的疗效。
-
评估指标:完全消融率(CA)、局部复发率(LR)、1年及3年总生存率(OS)、主要并发症发生率。
-
统计分析:采用Meta分析方法,合并效应量(如风险比、比值比)并进行异质性检验。
3. 主要研究结果
共纳入5项RCT研究,涵盖794例患者(MWA组409例,RFA组385例)及1008个HCC结节(MWA组519个,RFA组489个)。
4. 讨论与潜在机制
5. 临床意义与建议
6. 结论
MWA与RFA在BCLC-A期HCC中展现出相当的完全消融率、局部控制率和安全性。MWA在1年OS上的优势提示其潜在的短期疗效更优,但需进一步研究验证其机制及临床适用性。两种技术应根据患者具体情况及医疗资源可及性进行个体化选择。
微波消融治疗极早期及早期肝细胞癌的长期疗效:MARATHON 研究
肝细胞癌(HCC)是肝脏最常见的原发性恶性肿瘤,其死亡率在全球范围内呈上升趋势,尤其是在西方国家。 主要的风险因素包括病毒性感染(乙型肝炎病毒、丙型肝炎病毒)、酒精引起的肝脏疾病以及代谢功能障碍导致的脂肪肝疾病(MAFLD)。【Song 2023】 极早期和早期肝细胞癌阶段是进行有效治疗的关键时期,在此阶段采取的治疗措施能够显著改善患者的生存率和生活质量。 治疗方案包括肝脏移植、手术切除以及局部区域治疗(热消融)。

为什么是微波
 |
 |
|
射频消融 |
微波消融 |
MWA 具有多项技术优势,包括加热速度更快、消融区域更大且更均匀,以及对由邻近血液流动引起的散热器效应的敏感度更低。【Gala 2020】。 RFA 在长期效果方面表现出了显著的成效,而关于 MWA 的现有临床数据主要依赖于短期结果,且缺乏持续性的数据。
MARATHON 研究
(肝细胞癌肿瘤治疗中微波消融长期效果的评估)
这是一项回顾性、单中心、单臂的研究,旨在评估 2016 年至 2023 年期间在本机构接受微波消融治疗且符合入选标准的极早期和早期肝细胞癌患者。
年龄 ≥ 18 岁;
直径约为 2 厘米的孤立性结节(BCLC 0 期)
最多 3 个结节,每个结节的大小为 3 厘米(BCLC A 期)
血小板计数大于 50,000微升且国际标准化比值(INR)小于 1.5;
良好的身体状况(ECOG 0-1 分级):
肝功能保存良好(ALBI 评分为 1 至 2 级)。 |
血管侵犯和/或肝外疾病;
临床显著腹水;
肝性脑病;
动脉内疗法的联合治疗;
之前非微波消融治疗的复发情况 |
|
纳入标准: |
排除标准: |
主要终点:局部肿瘤进展率(LTP) 次要终点指标:总生存期(OS)、无病生存期(DFS)、安全性特征
局部肿瘤进展



局部反应的中位持续时间(DoR):28 个月(范围:2 - 107 个月)
中位疾病进展时间(TTP):20 个月(范围:3 - 87 个月)
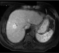
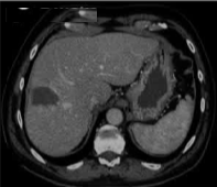
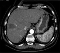
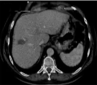
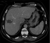
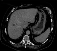
69 岁的男性患者,患有丙型肝炎相关肝硬化,其肝脏增强扫描(S8)中可见一个 22 mm 肝细胞癌结节。
总体生存率




肿瘤治疗效果:磁波消融术被证明是治疗极早期和早期肝细胞癌的一种有效疗法,其有效率高达 96.2%,局部肿瘤进展率总体较低(18.3%),且疾病缓解期延长至 107 个月。
安全性评估:未记录到任何重大并发症。
局限性:回顾性设计以及单中心研究的特点
优势:长期评估与全面跟踪 “马拉松”研究证实,微波消融术对于极早期和早期肝细胞癌患者而言是一种可行的治疗选择,其具有良好的长期疗效和良好的安全性。 |