| 不可逆电穿孔(IRE):
非热消融技术
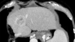
脉冲电场促使细胞膜产生缺陷 细胞内稳态的丧失导致细胞死亡(细胞凋亡++) 周围结构(血管、胆管、热敏感器官……)的保护措施 不存在“散热效应(heat sink effect)” 对于无法切除且不适合常规热消融治疗的肝脏肿瘤的治疗方案 对肝细胞癌(HCC)经 IRE 治疗后长期预后的回顾性评估 ![]() 来自两家三级医疗机构长达 12 年使用IRE的真实案例经验 IRE 治疗 HCC的局部疗效、安全性以及长期肿瘤学结果的评估 主要目标: 单独使用内镜下射频消融术后的局部肿瘤进展率 次要结局指标: 所纳入标准 肝细胞癌的诊断(依据欧洲肝脏学会标准或通过组织学确认) 最大肿瘤直径≤5 厘米 在首次的内镜射频消融手术中, 最多可治疗 3 个肿瘤。 BCLC 0 期、A 期或 B 期 排除标准 浸润型肝细胞癌伴血管或胆管侵犯 肝移植术后肝细胞癌的复发有类型的复发
操作
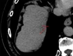
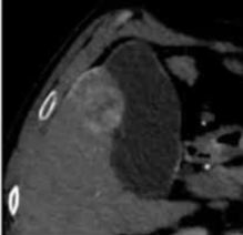
超声(CT/磁共振/Carm-CT) + 虚拟靶点透视显示
插入 3 至 6 根电极 对于肿瘤直径小于 3 厘米,无接触式操作 最大电极间距为 25 毫米 心脏同步化和去极化(curarization)
终点:
|
![]() |
![]() |
周围组织病变(即使采取了防护措施) (或被认为被认为不足)
![]() |
![]() |
*Bhutiani HBP 2016; Sutter Radiology 2017
患者相关
轻度肝功能障碍或可能出现热消融后肝功能衰竭 * (Child-Pugh B 级,近期急性肝衰竭、门静脉高压....…
患者衰弱或合并症情况…
患者衰弱或合并症情况…
![]() |
![]() |
局部肿瘤进展 Local tumor progression (per-nodule)
![]() |
![]() |
中位随访时间:25.6 个月
局部肿瘤进展(LTP) 81/304 例(占 26.6%)
局部肿瘤进展 LTP 中位时间:14.8 个月
IRE 完全消融后的(LTP)累积发生率:
1 年期:19.4%
2 年期:32%
3 年:36.1%
2 年期:32%
3 年:36.1%
3年LTP总体发生率(包括首次 IRE 失败的情况):
直径≤ 2 厘米27.5% 适用于的肿瘤 为
直径2 - 3 厘米48.4%(对数秩检验 p < 0.01) 55.9% 适用于肿瘤
直径大>3 厘米55.9%(对数秩检验 p < 0.01)
直径2 - 3 厘米48.4%(对数秩检验 p < 0.01) 55.9% 适用于肿瘤
直径大>3 厘米55.9%(对数秩检验 p < 0.01)
![]() |
![]() |
中位总生存期:35.9 个月
在没有接受治疗(naive patients)患者和接受过治疗(non naive patients)患者整体生存率相似
死亡原因:
与肝细胞癌相关的(52%)
肝硬化并发症(20%)
非肝内病因(28%)
肝硬化并发症(20%)
非肝内病因(28%)
24 例肝脏移植手术(占 9.8%)
中位无进展生存期:8.6 个月
PFS 的首个事件:first event for PFS(无进展生存期)
远处肿瘤转移(49%)
局部肿瘤进展(24%)
死亡(27%)
局部肿瘤进展(24%)
死亡(27%)
4.5% 发生了肝外转移的情况
16 例严重并发症(II 级或 III级) → 重大并发症发生率:6.5%
3 例V发症(治疗相关死亡病例在 30 天内发生) 死亡率:1.2% (所有处于病情恶化风险中的患者)
少数患有急性肝功能衰竭的患者 胆道或胃肠道未受损伤
18 例部分门静脉血栓形成(占 7%,属II 级并发症)
对于无法进行切除手术且不适合热消融治疗的肝细胞癌患者而言,IRE(不可逆电穿孔消融术)是一种有效的治疗选择。
尽管肿瘤位置复杂,IRE 技术仍能取得令人满意的长期局部治疗效果。
3 年局部肿瘤进展(LTP)率率:36%(肿瘤直径小于 2 厘米者为 27%)
良好的安全性记录
该人群的预后较差,容易出现远处复发(血管周围肿瘤,/更严重的肝脏疾病等)













