避开胸壁结构
时间:2023-03-11 20:43来源:www.ynjr.net 作者:杨宁介入医学网
避开胸壁结构 Avoiding Chest Wall Structures 在入路规划时应避开软骨和骨骼。胸骨侧软骨在CT上可能不可见,只有当针不能按计划推进时才明显。在这种情况下,轻轻向内侧和外侧滑动针,同时施加轻微的向前压力,可以发现软骨上的开口。 避开肋骨最好使用CT龙
避开胸壁结构 Avoiding Chest Wall Structures

在入路规划时应避开软骨和骨骼。胸骨侧软骨在CT上可能不可见,只有当针不能按计划推进时才明显。在这种情况下,轻轻向内侧和外侧滑动针,同时施加轻微的向前压力,可以发现软骨上的开口。
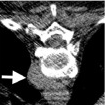
避开肋骨最好使用CT龙门成角。肩胛骨可以横向移动,方法是让病人双手平躺,以最大限度地使肩膀内旋。如果针头接触到骨头,我们建议不要立即退出,而是在轻轻平移针头之前注入大量1%的利多卡因。用生理盐水进行水膜剥离可拓宽胸腔外狭窄通道,如前纵隔或毗邻椎体(下图)。
 |
 |
 |
|
术前轴位CT图像显示右侧椎旁结节(箭头) |
在椎旁软组织注射生理盐水以扩大间隙 |
拓宽的椎旁间隙(箭头)允许引导针安全推进到目标而不穿过充气肺 |
倾斜患者可以独立地改变前纵隔结构,以创造一个安全的针头轨迹(图)。
 |
|
主动脉旁纵隔肿块活检。通过抬高患者右侧,重力将纵隔结构移至左侧,允许针安全插入肿块(箭头)。 |
|
------分隔线----------------------------