弹簧栓子 微粒液体栓塞剂 明胶海绵 OCE 亚胺培南/西司他丁
返回首页

下消化道出血栓塞:液体栓塞剂

时间:2024-09-03 16:29来源:www.ynjr.net 作者:杨宁介入医学网
背景 Embolisation for lower GI bleeding The role of liquid agents 下消化道出血栓塞主张用微弹簧栓子栓塞终末支(直动脉)是因为可以充分的降低出血动脉的灌注压,利于出血点的痉挛和血栓形成,达到止血的目的。 所以弹簧栓子的应用要超选择,所谓How di

 

背景


下消化道出血栓塞 Embolisation for lower GI bleeding

 
下消化道出血栓塞主张用微弹簧栓子栓塞终末支(直动脉)是因为可以充分的降低出血动脉的灌注压,利于出血点的痉挛和血栓形成,达到止血的目的。

所以弹簧栓子的应用要超选择,所谓How distal does LGIB embolization need to be?
  • 空肠,回肠,结肠 Jejunum, ileum, colon
  • 直动脉末梢栓塞 Distal embolization of vasa recta (straight artery)
  • 超越边缘动脉 Beyond the marginal artery
  • 尽可能接近出血的位置 As close as possible to the site of haemorrhage
  • 减少肠缺血的危险 Bowel wall ischaemia is unlikely
                  - <三个直动脉没有危险 3 or fewer vasa recta: not risky
                  - ≥ 4个直动脉有危险 4 or more vasa recta: risky
 

 

那么,液体栓塞剂在下消化道出血栓塞中的角色是什么呢?

1. 什么时候和如何在下消化道出血的情况下使用液体栓塞剂栓塞
2. 下消化道出血液体栓塞剂的优缺点
3. 下消化道出血液体栓塞剂的结果和并发症

液体包括哪些?

NBCA:Acrylic glues: n-butyl cyanoacrylates = N-butyl 2-cyanoacrylate

Onyx:Onyx Liquid Embolic System

           - Polymere: Ethylene-vinyl
           - alcohol copolymer (EVOH)
           - Solvent: Dimethyl sulfoxide  (DMSO) solvent
           - Radiopacifying: Micronized  tantalum powder
 

 
 
Glue
Onyx
Polymerizes
Precipitates
No controlled release Controlled release
nflammation +++ Inflammation (+)
Hard cast Sponge-like cast
Free flow Free or blocked flow
Fast release Slow release
Sticks to catheter Does not stick to catheter
Adhesive Cohesive
Cheap 
Expensive
Loffroy et al. Curr Vasc Pharmacol 2009;7:250-63



EVOH


其它?




液体栓塞剂理论上优点


  • 高穿透性 Highly penetrable
  • 阻塞效果不取决于凝血参数 Occlusive effect does not depend on coagulation  parameters
  • 止血效果好 High hemostatic effect
  • 严重出血效果好 Interesting for massive bleeding
  • 能够到达远端较少依赖导管导引 Can reach distal targets that can not be navigated with  catheters
  • 微导管容易通过 Best option with neuro microcatheters
 

下消化道出血栓塞什么时候用液体栓塞剂? 


  • 患者有凝血功能障碍 Coagulation disorders
  • 严重的局部出血 Massive focal bleeding
  • 直径小和迂曲的血管 Small sized and tortuous vessels
  • 假性动脉瘤 False aneurysms

 

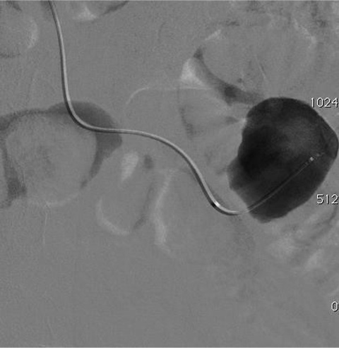
病例一


   



   

 

   



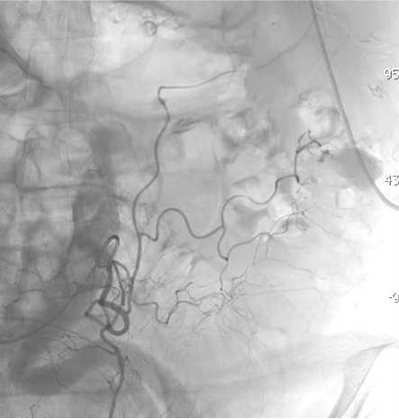
病例二 Onyx


   

   


   


 

下消化道出血栓塞液体栓塞剂如何用?

  • 标准4或5Fr导管 Standard 4 or 5-Fr catheter
  • 微导管选择到尽可能的远端 Microcatheter as distal as possible
  • 注射Onyx之前用5%葡萄糖水或MDSO冲洗 Previous flushing with G5% or DMSO
  • 1-3ml带锁扣的注射器注射 1 or 3 mL luer-lock syringe for injection
  • 用碘油调整聚合的速率 Use Lipiodol to modulate the rate of glue polymerisation
  • 在透视下缓慢注射Slow and regular injection under strict fluoroscopic control
  • 快速去除微导管 Prompt removal of microcatheter with glue
  • 血管近端对照造影 Final proximal control angiography
     



病例三:Front and back door  embolization with  Onyx

 
   


   


   

 

病例四:Also possible with Glubran2  (< 4 vasa recta)

 

   



   


   


液体胶的缺点(Drawback)


学习曲线 Learning curve:
- 稀释 Dilution (glue ++)
- 理想注射 Optimal injection
- 并发症预防 Prevention of  complications:
      + 导管粘连 Sticking catheter:
                  Glue >> Onyx
      + Ischemic risk:
                 Glue = Onyx
      + Non target occlusion:
                 Glue > Onyx

强力胶水



液体栓塞剂的结果





消化道出血最常见应用微弹簧栓子、500-700μmPVA,明胶海绵粉,但在严重出血的情况下,胶或Onyx应该考虑,但是否增加肠缺血是值得进一步探讨的事。总的来说下消化道出血栓塞严重的肠缺血需要外科的大约2%。

Outcomes of LGIB embolization with ONYX
  UGIB LGIB Technical  success Clinical  success Re  bleeding Major  complications 30-day  mortality
Lenhart Eur Radiol 2010 10 6 100% 81% 6.2% 0% 12.5%
Urbano JVIR 2014 0 31 93.5% 96.7% 10% 0% 6.4%
Sun Indian J Cancer  2015 7 2 100% 100% 0% 0% 0%
39例下消化道出血没有严重肠缺血



  UGIB LGIB Technical  success Clinical  success Re  bleeding Major  complications 30-day  mortality
Frodsham
JVIR 2009 (T)
0 14 100% 79%
 
21% 0% 7.1%
Huang
JVIR 2011 (H)
0 27 100% 67% 14.8% 0% 33%
Yata
JVIR 2013 (H)
16 23 100% 95% 5% 8.1% 21.6%
Hur
JVIR 2014 (?)
0 84 100% 75.3% 15.2% 4.8% 26.2%
Koo
AJR 2015 (H)
72 30 100% 76.5% 15.7% 1.9% 8.8%
Kodani
JVIR 2016 (?)
0 16 100% 93.8% 6.2% 12.5% 0%
Zhao
Gastr Res 2016 (?)
0 7 100% 85.8% 14.2% 0% 0%

201例下消化道出血栓塞的病人,4例肠缺血需要外科手术,=1.99%



   


   


   


   
Cavity filling  Controlled sandwich  (Onyx+++)



Onyx

   






   

   



 


   



   


 

顶一下
(0)
0%
踩一下
(0)
0%
------分隔线----------------------------
  • 上一篇:没有了
  • 下一篇:没有了
推荐内容