![]() 1. 血流动力学不稳定 2. 基于CT的影像 3. 尽管外科手术仍然持续出血 4. 在非手术处理(Non Operative Management,NOM)情况下,虽然出血缓慢,但持续出血。 骨盆骨折发生后,不同原因的出血理想的治疗选择是不一样的。静脉损伤一般可以通过不进入腹膜腔的外固定(external fixation with intact peritoneum),髂内动脉损伤或/腰动脉损伤可以通过经导管栓塞。而骨盆骨折后髂外动脉损伤比较常见,一般需要外科手术或覆膜血管支撑架进行治疗。但问题是通常出血原因是不清楚的。在此种情况下,输液和输血都不能维持生命体征稳定的情况下,要积极地考虑出血可能是动脉来源。所谓不能维持生命体征稳定,意味着2000ml液体输注后血压低或需要不断地增加升压药物维持,影像检查血肿仍然不断扩大。>4单位PRBC/24hrs或>6单位PRBC/48hrs,都提示出血速度较慢。
临床预示盆腔骨折后动脉性腹膜后动脉出血征象包括:不稳定骨折的血管阳性率在6~18%之间(Cryer 1988);低血压,盆腔骨折,对复苏治疗无反应,血管造影阳性率73%(Miller 2003,J Trauma 54:437);>500ml的血肿,血管造影阳性率45%[5]。 临床预期骨盆骨折后动脉性盆腔腹膜后出血[6]
若有3~4项同时存在的话,大出血的可能性为66%。 ![]() CIRSE Guidelines for Treatment of Traumatic Hemorrhage: Chakravety CVIR 2012; 35: 472 – 482 • Recommendation 13: “Embolization should be used to manage arterial bleeding resulting of pelvic trauma and should precede treatment other than pelvic binder” 需要讨论的是,可否通过骨盆的外固定减少骨盆容积增加盆腔填塞效应达到止血的效果?
有人在上面这篇文章中写了这样的话,血管造影和栓塞是费时间的,并经常是被滞后的。因此,不稳定骨折伴有生命体征不稳定患者最好联合急诊盆骨稳定手术(C-clamp)和通过骨盆填塞的外科止血。这是确实的,特别是在紧急情况下严重受伤的病人(原文见下)。 ![]()
看起来这或许是一个临床医生亲身的临床体验,没有这样体验的人或许根本就不同意这样的说法,因为外科手术也是 Time-Comsuming!
一个虚构的假设是,生命体征不稳定的不稳定的骨折,由于动脉出血仅占10~20%(Gansslen)。所以上述外固定(external fixation with intact peritoneum)的假设是盆腔出血的大部分是来源于被撕裂的盆腔静脉丛。这是对最初复苏治疗没有反应病人的主要出血源。
但Huittinen等人尸检发现[7],骨盆骨折动脉出血占85%(23/27),其中有解剖名称的大动脉3支,骨折部位的小动脉20支。即使是对液体复苏无效的病人血管造影发现动脉出血的为67~78%[8~13]。
另一个虚构的假设是,关于外固定的效果。开放性骨折导致的骨盆容量增加被完全减少[14],但是骨盆填塞的效果不存在[15]。外固定被认为改善不稳定骨折的长期结果,但在外伤性腹膜后出血病人生命体征不稳定情况,这是一个没有被证实的治疗,更没有随机对照的研究。
![]() 此图表表明骨盆完整、开放性骨折和外固定后腹膜后不同的压力[15]。
前瞻性研究支持外固定骨盆不如经导管栓塞治疗。Bassam等人[16]的研究设计如下:
骨盆外固定的临床试验[16]
![]()
对于生命体征不稳定患者,前骨盆环骨折的患者急诊进行外固定控制出血,而后骨盆环骨折急诊进行血管造影及栓塞治疗控制出血。
骨盆外固定的临床试验[16]
这个首个前瞻性研究显示,两组输血量和住院时间相似,但最初进行急诊外固定手术的病人并发症发生较高,主要是由于不能充分地控制缺血。作者认为不稳定骨折如果并不适合开腹手术应该立即进行血管造影和栓塞 。如果适合开腹手术血管造影栓塞后在进行外固定手术。
Miller等人[12]报告,1171骨盆环骨折,28例复苏治疗后仍然低血压,血管造影26例为阳性,阳性率为73%。因为行骨盆外固定而延迟进行血管造影的病人,44%(7/16)进行了延迟的动脉出血栓塞。
二、骨盆骨折出血栓塞禁忌症创伤血管造影的禁忌症*
盆腔血管造影禁忌症(相对如果血管造影不能立即进行) 1. 快速扩张的血肿 2. 血肿破裂到腹腔内 3. 血肿通过会阴伤口破裂 三、骨盆骨折出血栓塞技术上的考虑
一旦临床考虑动脉出血,且常规液体复苏治疗无效,当考虑进行血管栓塞治疗
(2)时间就是生命,是第一要素;需要有一个绿色通道,有一个诊断和治疗的快速路径。这意味着对于一个盆腔损伤的生命体征不稳定的病人,若胸片和腹部检查(体检和影像学检查)没有问题,立即考虑进行血管造影检查。 ![]() PRBC:纯红细胞;FFP:新鲜冻干血浆;FAST:Focused Assessment with Sonography for Trauma DPL:Diagnostic Peritoneal Lavage
(3)明胶海绵胶浆对于盆腔多数动脉损伤是快速和有效的栓塞剂。一旦血管造影发现盆腔动脉(髂内动脉所属分支)问题,包括造影剂外溢,血管中断等首先考虑用明胶海绵经导管栓塞,特别是腹膜后出血的病人。 盆腔创伤的病人,如果血流动力学不稳定,胸腹部无异常,就进行血管造影。如果血流动力学稳定首先考虑利用CTA指导盆腔动脉出血的栓塞。 1. 首先用4-5F猪尾导管进行盆腔动脉造影 2. 选择性双侧髂内动脉造影时必须的 3. 双斜位造影 4. 图像采集持续到静脉期 5. 关注可能的多支血管出血 6. 首先栓塞出血最严重的血管 7. 尽可能超选择动脉栓塞(Embolize as selectively as possible) 8. 栓塞也是腹膜后出血选择的治疗方法
1. 全麻:有条件的情况下全麻,以便在影像摄取时控制呼吸暂时停止。
2. 穿刺入路多选择股动脉入路,尽量选择微穿刺装置。是否在超声引导下穿刺取决于操作者的经验和导管室的条件。 3. 主动脉下端盆腔血管造影(low abdominal aortogram) 一旦穿刺成功,进行下腹主动脉造影。至少包括部分的腰动脉的盆腔造影。
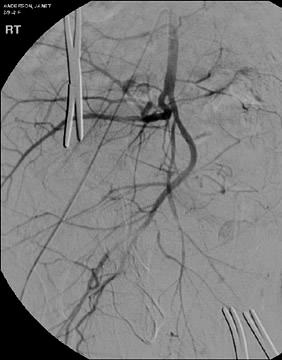
病例:交通事故,96F,被挤在Car vs Wall之间。Hct 20.5,BP 106/? 心率94,2单位 红血球后,血压130,心率106.
同一病人
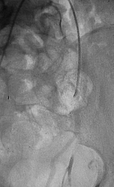
病例2:10岁 男孩 BIKE vs CAR后,发现盆腔搏动性肿物。ISS 27, BP 70
4. 选择性髂内动脉造影:(选择髂内动脉,选择可以血管,或选择已知可疑损伤区域血管) 选择性髂内动脉造影是必须要进行的,同时选择已知损伤部位可疑的血管。当阳性发现(造影剂外溢,假性动脉瘤,动静脉畸形,血管闭塞等)时进行选择性动脉栓塞。栓塞后进行对照血管造影以期发现侧支循环供血再行栓塞,避免再次大出血。血管造影所见造影剂外溢的大小,不表明血肿的大小。如果可以看见造影剂外溢,说明至少出血1ml / 分钟。
30yo M HSMVC, tachy, hct 40→30 选择性血管造影是必需要进行
盆腔腹膜后出血的侧支循环[21]也是非常重要的。它们包括:
38岁女性,摩托车车祸,颈部、腰部和盆腔骨折,生命体征不稳定,Hct 下降
盆腔骨折后不同检查方法的发现出血最低注射率[22]
动脉:后中循环(posterior median loop):从腰动脉到髂腰动脉和骶正中动脉到骶外侧动脉(posterior loop)
前中循环(anterior median loop):直肠上动脉到直肠下动脉和直肠中动脉;股深动脉分支到闭孔、阴部内动脉。中线侧支:骶外侧动脉,直肠中、下动脉,阴部内动脉。
外侧血管循环(lateral vascular loop):股深动脉分支到臀下动脉和臀上动脉(lateral loop)。
静脉: 门静脉
病例一
5. 盆腔骨折出血血管栓塞技术(1)被认为盆腔骨折出血栓塞的目标有两处:
<1>仅栓塞活跃出血的病变:造影剂外溢、假性动脉瘤和动静脉畸形等。
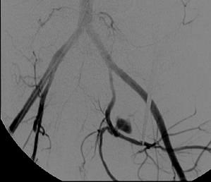
<2>栓塞所有被损伤的动脉:不规则的动脉,或被闭塞的大于2mm动脉(基本应该被栓塞的),下图。
车祸,除了盆腔血肿,Hct 进行性下降
同一病人
同一病人
ARTERIAL INJURIES:BCVI-OUTCOMES
动脉创伤的血管造影证据
造影剂外溢
文献上可以用于盆腔骨折出血栓塞的栓塞材料比较多包括明胶海绵,PVA,Embospheres,弹簧栓子,自体凝血块,可脱球囊,液体栓塞剂(胶和酒精)等。但常用的主要有弹簧栓子和明胶海绵块。
明胶海绵快速获取,便宜,有效,是标准的盆腔血管栓塞的材料;在血流导向下,明胶海绵微粒“飘”到血管分支的末端,对于多发损伤病变是理想的栓塞材料(Katsumori CIR 29:1077)。 避免使用<200μm的明胶海绵微粒,阻塞毛细血管可以导致组织坏死,神经周壁层小动脉(perinerual arterioles)栓塞可以导致神经损伤。 PVA和栓塞微球
血流导向栓塞,机械性永久阻塞血管,可用于多发血管损伤或经验性栓塞。直径可以在150-2000μm。 非重要器官的非不可恢复(non expendable artery)的小分支,又没有侧支循环的情况下可考虑用3F微导管,颗粒>250μm,在最终微弹簧栓子栓塞前,少量(small volume)栓塞PVA或微球,阻塞出血血管。 为避免返流,导管位置最大限度接近出血血管,使用小注射器,通过精确控制注射量,避免意外栓塞。 1毫升注射器,每次就一点,就能精确控制栓塞剂注射的量
臀上下动脉,非重要器官动脉
车祸,左侧闭孔环骨折,左侧骶骨骨折,Hct ↓
栓塞材料的选择(Embolization Agents)
明胶海绵胶浆
微粒
2. 弹簧栓子
Anomalous arterial vasculature
所谓局部扩张血管,focal large vessel -expendable 30英尺坠地,腹膜后血肿
止血:局部扩张血管管道化(conduit vessels)
non-expendable large vessel injury
自体凝血块:已经很久没有人报告其应用 阻塞球囊
液体栓塞剂
Onyx 胶
病例一
骨盆骨折血管造影的禁忌症:
盆腔血管造影的禁忌症还包括* :
(1)快速扩张的血肿
(2)血肿破裂到腹膜腔
(3)通过会阴部创口的血肿
* 但如果血管造影恰好能够立即进行....,说不定....
骨盆骨折血管造影技术及栓塞术
有条件的情况下全麻,以便在影像摄取时控制呼吸暂时停止。穿刺入路多选择股动脉入路,尽量选择微穿刺装置。是否在超声引导下穿刺取决于操作者的经验和导管室的条件。一旦穿刺成功,进行下腹主动脉造影,至少包括部分的腰动脉的盆腔造影。选择性髂内动脉造影是必须要进行的,同时选择已知损伤部位可疑的血管。当阳性发现(造影剂外溢,假性动脉瘤,动静脉畸形,血管闭塞等)时进行选择性动脉栓塞。栓塞后进行对照血管造影以期发现侧支循环供血再行栓塞,避免再次大出血。
血管造影所见造影剂外溢的大小,不表明血肿的大小。如果可以看见造影剂外溢,说明至少出血1ml / 分钟。
交通事故,96F,Car vs Wall
同一病人
10岁 男孩 BIKE vs CAR后,发现盆腔搏动性肿物
盆腔骨折后不同检查方法的发现出血最低注射率[22]
被认为盆腔骨折出血栓塞的信条:
(1)仅栓塞活跃出血的病变:造影剂外溢、假性动脉瘤和动静脉畸形等。
(2)栓塞所有被损伤的动脉:不规则的动脉,或被闭塞的大于2mm动脉(其本应该被栓塞的),下图。
盆腔骨折出血的栓塞材料
文献上可以用于盆腔骨折出血栓塞的栓塞材料比较多包括明胶海绵,PVA,Embospheres,弹簧栓子,自体凝血块,可脱球囊,液体栓塞剂(胶和酒精)等。但常用的主要有弹簧栓子和明胶海绵块。
弹簧栓子
弹簧栓子在导管头释放,选择弹簧栓子的大小应与被栓塞的靶血管相一致。尽量超选择释放,一旦释放成功,栓塞血管是永久性的。
明胶海绵制作
明胶海绵的优点是快速获取并制成,经济,有效,是标准的骨盆骨折出血的栓塞剂。明教海绵可以随血流直接流向远端分支,对于多血管损伤的病例是理想的栓塞剂[23]。
1. Feliciano DV. Management of traumatic retroperitoneal hematoma. Ann Surg. 1990 Feb;211(2):109-23. Review.
.
5. Blackmore CC, Jurkovich GJ, Linnau KF, Cummings P, Hoffer EK, Rivara FP. Assessment of volume of hemorrhage and outcome from pelvic fracture. Arch Surg. 2003 May;138(5):504-8; discussion 508-9.
13. Hamill J, Holden A, Paice R, Civil I. Pelvic fracture pattern predicts pelvic arterial haemorrhage. Aust N Z J Surg. 2000 May;70(5):338-43.
14. Ghanayem AJ, Stover MD, Goldstein JA, Bellon E, Wilber JH. Emergent treatment of pelvic fractures. Comparison of methods for stabilization. Clin Orthop Relat Res. 1995 Sep;(318):75-80.
15. Grimm MR, Vrahas MS, Thomas KA. Pressure-volume characteristics of the intact and disrupted pelvic retroperitoneum. J Trauma. 1998 Mar;44(3):454-9.
16. Bassam D, Cephas GA, Ferguson KA, Beard LN, Young JS. A protocol for the initial management of unstable pelvic fractures. Am Surg. 1998 Sep;64(9):862-7.
17. Bayliss Am J Surg 103:477
18. Rothenberger DA, Fischer RP, Strate RG, Velasco R, Perry JF Jr. The mortality associated with pelvic fractures. Surgery. 1978 Sep;84(3):356-61.
19. Flint LM Jr, Brown A, Richardson JD, Polk HC. Definitive control of bleeding from severe pelvic fractures. Ann Surg. 1979 Jun;189(6):709-16.
21. Brotman S, Soderstrom CA, Oster-Granite M, Cisternino S, Browner B, Cowley RA.Management of severe bleeding in fractures of the pelvis. Surg Gynecol Obstet. 1981 Dec;153(6):823-6.
23. Katsumori T, Kasahara T. The size of gelatin sponge particles: differences with preparation method. Cardiovasc Intervent Radiol. 2006 Nov-Dec;29(6):1077-83.
》》》》》》》》》》》》》》》》》》》》》》》》》》》》》》》》》》》》》》》》》》》》》》》》
盆腔骨折出血栓塞治疗的主要的技术要点包括:
(1)血管造影室必须具备支持和进行复苏的功能
(2)时间就是生命,是第一要素;需要有一个绿色通道,有一个诊断和治疗的快速路径。这意味着对于一个盆腔损伤的生命体征不稳定的病人,若胸片和腹部检查(体检和影像学检查)没有问题,立即考虑进行血管造影检查。 ![]() PRBC:纯红细胞;FFP:新鲜冻干血浆;FAST:Focused Assessment with Sonography for Trauma DPL:Diagnostic Peritoneal Lavage
(3)明胶海绵胶浆对于盆腔多数动脉损伤是快速和有效的栓塞剂。一旦血管造影发现盆腔动脉(髂内动脉所属分支)问题,包括造影剂外溢,血管中断等首先考虑用明胶海绵经导管栓塞,特别是腹膜后出血的病人。 骨盆骨折发生后,不同原因的出血理想的治疗选择是不一样的。静脉损伤一般可以通过不进入腹膜腔的外固定(external fixation with intact peritoneum),髂内动脉损伤或/腰动脉损伤可以通过经导管栓塞。而骨盆骨折后髂外动脉损伤比较常见一般需要外科手术或覆膜血管支撑架进行治疗。但问题是通常出血原因是不清楚的。在此种情况下,输液和输血都不能维持生命体征稳定的情况下,要积极地考虑出血可能是动脉来源。所谓不能维持生命体征稳定,意味着2000ml液体输注后血压低或需要不断地增加升压药物维持,影像检查血肿仍然不断扩大。>4单位PRBC/24hrs或>6单位PRBC/48hrs,都提示出血速度较慢。
临床预示动脉性腹膜后出血征象包括:不稳定骨折的血管阳性率在6~18%之间(Cryer 1988);低血压,盆腔骨折,对复苏治疗无反应,血管造影阳性率73%(Miller 2003,J Trauma 54:437);>500ml的血肿,血管造影阳性率45%[5]。 Blackmore 等人认为,临床预示骨盆骨折后动脉大出血指征包括,1. 心率>130,2. Hct(红细胞压积)<30,3. 闭孔环骨折脱位>1cm,4. 耻骨联合脱臼>1cm[6]。他们还对动脉出血可能性进行了评分 临床预期动脉性盆腔腹膜后出血[6]
若有3~4项同时存在的话,大出血的可能性为66%。
![]() 有人在上面这篇文章中写了这样的话,血管造影和栓塞是费时间的,并经常是被滞后的。因此,不稳定骨折伴有生命体征不稳定患者最好联合急诊盆骨稳定手术(C-clamp)和通过骨盆填塞的外科止血。这是确实的,特别是在紧急情况下严重受伤的病人(原文见下)。 ![]()
看起来这或许是一个临床医生亲身的临床体验,没有这样体验的人或许根本就不同意这样的说法,因为外科手术也是 Time-Comsuming!
一个虚构的假设是,生命体征不稳定的不稳定的骨折,由于动脉出血仅占10~20%(Gansslen)。所以上述外固定(external fixation with intact peritoneum)的假设是盆腔出血的大部分是来源于被撕裂的盆腔静脉丛。这是对最初复苏治疗没有反应病人的主要出血源。
但Huittinen等人尸检发现[7],骨盆骨折动脉出血占85%(23/27),其中有解剖名称的大动脉3支,骨折部位的小动脉20支。即使是对液体复苏无效的病人血管造影发现动脉出血的为67~78%[8~13]。
另一个虚构的假设是,关于外固定的效果。开放性骨折导致的骨盆容量增加被完全减少[14],但是骨盆填塞的效果不存在[15]。外固定被认为改善不稳定骨折的长期结果,但在外伤性腹膜后出血病人生命体征不稳定情况,这是一个没有被证实的治疗,更没有随机对照的研究。
![]() 此图表表明骨盆完整、开放性骨折和外固定后腹膜后不同的压力[15]。
前瞻性研究支持外固定骨盆不如经导管栓塞治疗。Bassam等人[16]的研究设计如下:
骨盆外固定的临床试验[16]
![]()
对于生命体征不稳定患者,前骨盆环骨折的患者急诊进行外固定控制出血,而后骨盆环骨折急诊进行血管造影及栓塞治疗控制出血。
骨盆外固定的临床试验[16]
这个首个前瞻性研究显示,两组输血量和住院时间相似,但最初进行急诊外固定手术的病人并发症发生较高,主要是由于不能充分地控制缺血。作者认为不稳定骨折如果并不适合开腹手术应该立即进行血管造影和栓塞 。如果适合开腹手术血管造影栓塞后在进行外固定手术。
Miller等人[12]报告,1171骨盆环骨折,28例复苏治疗后仍然低血压,血管造影26例为阳性,阳性率为73%。因为行骨盆外固定而延迟进行血管造影的病人,44%(7/16)进行了延迟的动脉出血栓塞。
Bayliss[17]报告,外科探查术发现出血动脉的比例是1/25,认为出血动脉在探查盆腔时罕有发现。而盲目进行髂内动脉结扎并不获益[18~20],因为止血进行外科探查术并非理想的选择。
盆腔骨折出血的栓塞材料
文献上可以用于盆腔骨折出血栓塞的栓塞材料比较多包括明胶海绵,PVA,Embospheres,弹簧栓子,自体凝血块,可脱球囊,液体栓塞剂(胶和酒精)等。但常用的主要有弹簧栓子和明胶海绵块。
弹簧栓子
弹簧栓子在导管头释放,选择弹簧栓子的大小应与被栓塞的靶血管相一致。尽量超选择释放,一旦释放成功,栓塞血管是永久性的。
明胶海绵制作
明胶海绵的优点是快速获取并制成,经济,有效,是标准的骨盆骨折出血的栓塞剂。明教海绵可以随血流直接流向远端分支,对于多血管损伤的病例是理想的栓塞剂[23]。 | ||||||||||||||||||||||||||||||||||||||||||||||||||||||||||||||||||||||||||||||||||||||||||||||||||||||||||||||||||||||||||||||||||||||||||||||||||||||||||||||||||||||||||||||||||||||||||||||||||||||||||||||||||||||||||||||||||||||||||||||||||||||||||||||||||||||||||||||||||||||||||||||||||||||||||||||||||||||||||||||||||||||||||||||||||||||||||||||||||||||||||||||||||||||||||||||||||||||||||||||||||||||||||||||||||||||||||||||||||||||||||||


























































































































































