创伤的抢救室是多团队协作的过程。包括血管造影室必须能够有支持进行复苏抢救的设备。时间就是生命(time is of the essence),必须有一个诊断和治疗的策略。
盆腔创伤有较高的死亡率。盆腔创伤的出血源主要来自于静脉/静脉丛的破裂、网状骨质(cancellous bone)的弥漫性出血、动脉的破裂或三种原因的联合。而出血是最常见的本可治疗的死亡原因。

一、概论
二、盆腔出血的来源(三个来源)
三、动脉性出血的判断:诊断/发现
四、盆腔出血的治疗策略:适应症选择/栓塞技术上考虑
五、并发症和结果
六、盆腔特殊出血:腹膜后出血的判断

一、盆腔创伤出血概论
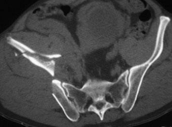
高能量的(猛烈撞击)骨盆骨折常伴有危及生命的大出血,失血性休克发生的比率比四肢和脊柱骨折高出40%。盆腔骨折主要的死亡原因包括出血,多脏器衰竭和脓毒血症,这是骨盆骨折需要除外盆腔腹膜后出血和进行包括动脉栓塞等干预治疗的原因。
二、盆腔出血的主要来源判断
盆腔创伤出血的主要来自(1)静脉/静脉丛的破裂、(2)网状骨质(cancellous bone)的弥漫性出血和(3)动脉出血或(4)三种出血的联合。出血往往是最常见的可治疗的死亡原因。严重盆腔出血往往由于不稳定和严重盆腔骨折。骨出血和静脉出血占80-90%,可以通过骨盆固定得到治疗。动脉出血占10-20%,主要治疗方法为栓塞。Hemodynamically unstable pelvic fractures. Injury. 2009
出血来源的判断
盆腔创伤的血流动力学可以是稳定和不稳定两种。低血压和盆腔骨折有关吗?需要通过MDCT观察出血源。
如果对液体复苏治疗无反应,血管造影证实为动脉出血为67-78%。(Totterman 2006; Cook,R.E. 2002; Fangio,P. 2005;Wong,Y.C. 2000; Miller,P.R. 2003; Hamill 2000)
但有尸检显示,盆腔骨折的出血来自命名的大动脉3例,在骨折位置的小动脉20例,27例中23例(85%)发现动脉出血。Huittinen, Surgery 73:454
|

|

|
|
骨盆骨折患者,复苏治疗后血压持续低下,动脉造影早期显示造影剂外溢 |
动脉造影延迟期显示外溢的造影剂被滞留并且形态学有变化
|
问题是骨折后出血的来源经常是不清楚的,有时候有可能出血来自盆腔以外的实质脏器出血或腹部实质脏器和盆腔骨折都参与供血。如果容量补充后仍然不稳定需要尽快确定是否动脉来源出血。检查方法的选择根据临床情况不同选择不同。特别是复合伤患者如从高空坠落,很难判读
如果出血可能来自于腹部,可以通过进行进一步诊断
1. FAST(Focused Assessment with Sonography for Trauma):超声创伤评估
2. DPL(Diagnostic Peritoneal Lavage):诊断性腹腔灌洗
3. CTA Visceral Injuries:腹腔脏器损伤
4. DCL(Damage Control Laparotomy):损伤控制剖腹术
即使是盆腔出血也有游离出血和腹膜后出血之分
腹膜后出血
|
|
病因 |
发生率 |
|
钝性创伤 |
67-80% |
13-44% |
|
穿透伤 |
20-33% |
6-25% |
Feliciano Ann Surg 211:109;Steichen SGO 123:581;Goins SGO 174:281
腹膜后出血+盆腔骨折的死亡主要原因(Dalal J Trauma 29)
止血:出血原因和理想治疗
|
骨折 |
治疗 |
|
静脉损伤 |
骨盆外固定和保持腹膜后完整 |
|
髂内动脉和腰动脉损伤 |
经导管动脉栓塞 |
|
髂总动脉损伤 |
外科修补或覆膜支撑架 |
|
|
需要干预治疗 |
腹膜后出血的诊断 |
|
急性 |
尽管2000ml液体补充仍然低血压 |
CXR,DPL/FAST |
|
|
进行性增大的腹膜后出血血肿 |
术中探查(introperative visualization) |
|
亚急性 |
>4单位 PRBC/24小时或
>6单位 PRBC/48小时 |
CT |
 |
|
Curr Opin Crit Care 9: 515-523 |
|
” 血管造影栓塞是费时(time consuming)并且经常被延时。因此不稳定骨折伴有生命体征不稳定病人最好的方式是紧急骨盆固定(C-clamp)和盆腔填塞进行外科止血。在万不得已情况下,这一方法对于严重创伤的病人尤其重要。 |
不稳定骨折伴有生命体征不稳定由于动脉出血的仅占10-20%(Gansslen (reference: Huittinen and Slatis)。
出血不能控制的情况下考虑动脉栓塞。
|
后环 |
臀上或臀下动脉(Superior & Inferior Gluteal arteries)、髂腰动脉(Iliolumbar arteries)和骶外侧动脉(Lateral Sacral arteries) |
|
髋臼 |
闭孔动脉(Obturator arteries)、臀下动脉(Inferior Gluteal arteries) |
|
前环 |
阴部内动脉(internal Pudendal arteries)、闭孔动脉(Obturator arteries) |
如果出血来自于盆腔,可以考虑
1. 栓塞
2. 外固定
3. 进入ICU,
4. 进行手术止血或内固定
出血不能控制的情况下考虑再动脉栓塞。
一般情况下不先考虑手术,因为增加出血危险,手术视野不清和复杂,并增加医源性并发症,而且往往难于控制出血。考虑栓塞主要由于栓塞后的结果趋于良好和改善生存。
盆腔创伤动脉栓塞的适应症
1. 血流动力学不稳定
2. 基于CT的影像
3. 尽管外科手术仍然持续出血
4. 在非手术处理(Non Operative Management,NOM)情况下,虽然出血缓慢,但持续出血。
除了高能量的猛烈撞击导致的创伤出血,老年人低能量的创伤也能导致骨折出血。特别是老年人群中服用阿司匹林的的人。即使是稳定性骨折也会发生危机生命的出血
盆腔创伤的动脉栓塞技术:盆腔创伤的病人,如果血流动力学不稳定,胸腹部无异常,就进行血管造影。
1.首先用4-5F猪尾导管进行盆腔动脉造影
2.选择性双侧髂内动脉造影是必须的
3.双斜位造影
4.图像采集持续到静脉期
5.关注可能的多支血管出血
6.首先栓塞出血最严重的血管
7.尽可能超选择动脉栓塞
8.栓塞也是腹膜后出血选择的治疗方法
|