肾损伤的分级也按照AAST分类标准,损伤包括肾动脉损伤、肾实质撕裂、不断扩大的血肿和持续性血尿。 各种肾损伤
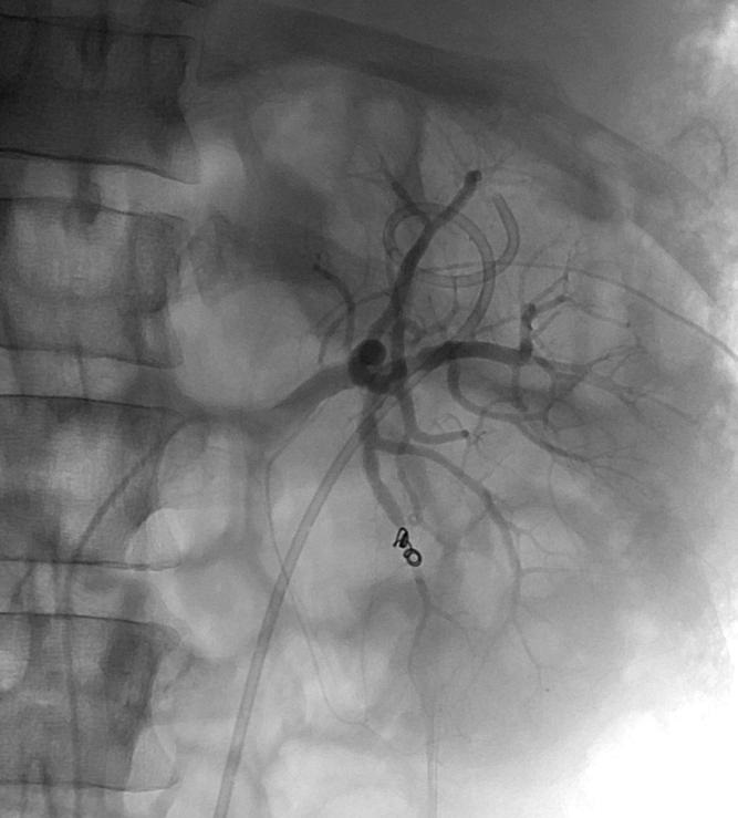
肾动脉损伤
AAST I & II 级损伤是低级别的损伤,III & IV 损伤(无血管损伤)为中等级别的损伤,而IV(有血管损伤)和 V级损伤是高级别的损伤【1】。
动脉栓塞在91%的病例,临床成功率为82%【2】。 肾损伤栓塞并发症<10%,包括感染、尿瘘和肾梗死【3】。 1. Incidence and management of penetrating renal trauma in patients with Multi organ Injury: Extended experience in an inner city trauma center. Journal of Urology Oct 2004;172:1355-1360 2. Cardiovasc Intervent Radiology 2005;28(1):38-47 3. Embolotherapy in renal trauma.Semin Intervent Radiology 1992;9:13-18 |









