肾活检后的并发症主要包括 肾外(extrarenal)出血,或包膜下(subcapsular)出血 肾假性动脉瘤 肾动静脉瘘 肾动脉肾盂瘘 如果认真的筛查,肾活检后50%-70%病例中可以发现有并发症,特别是在移植肾中更常见。幸运的是,它们90-95%不需要接受治疗就消失了,而且没有症状。
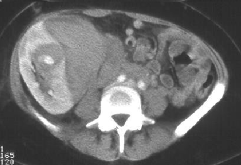
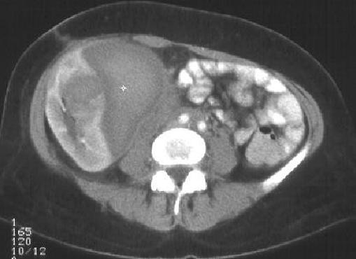
肾外出血或肾包膜下出血有时会偶然发现在随访的病例,CT最常表现为包膜下的血肿,罕有危及生命的大出血。 病例1 女性,32岁,肾移植后 常规活检
假性动脉瘤 肾包膜下血肿通常与损伤的动脉交通。动脉瘤与肾盂肾盏交通导致间歇性血尿
动脉-肾盂瘘
动静脉瘘:同时动脉和静脉壁损伤导致持续的动静脉间的交通
肾移植在活检后,超声可检测到高达15%的动静脉瘘,但70-80%的瘘管在未经治疗后可自行消失。部分病人可以发展成持续性的动静脉留,这些现象可能导致(移植)肾功能损害。如果发生的动静脉瘘不进行治疗,它可能进展为血流动力学改变显著的动静脉分流
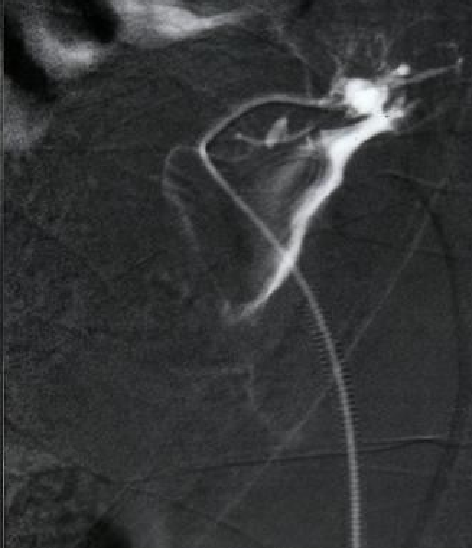
肾活检穿刺有时会伤及肾外动脉导致致命出血 年轻女性,急性肾功能衰竭(goodpasture syndrome),需要紧急活检。共穿刺5次。超声探及肾周血肿,血压下降需要输血。紧急血管造影
(Super)selective embolization is a method of choice in treatment of postbioptic kidney complications
| ||||||||||||||||||||||||||||||||||||||||||||||||||



























