| 
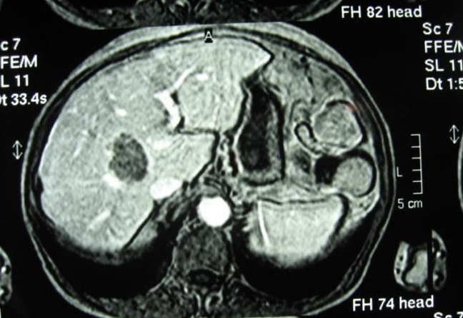
 1. 什么是肝脓肿的诱发因素(predispoing factors)? (1)病人没有术后抗生素治疗 (2)肿瘤的中心位置 (3)肿瘤周围有些胆管分支的扩张 
 有两个回答: (1)不,如果有很好的供血血管可以一次完全栓塞 (2)对,因为大肿瘤的TACE应该分次栓塞(staged manner) 栓塞后肝脓肿 
 Gastrointestinal and Liver Serious Adverse Events (SAEs)  
	相似和较低的脓肿并发症,打破了关于药物洗脱TACE比常规TACE有较高的肝脓肿并发症的传说。There is a low and similar incidence 2. 预防性抗生素可以消除肝脓肿的发生? (1)Geschwind et al : aggressive prophylaxis regimen IV with 24–36 hours of intravenous tazobactam/piperacillin AND bowel preparation with neomycin, erythromycin, and bisacodyl sodium J Vasc. Interv Radiol ; 13 (11):1163-1166 (2)Patel et al :even under an aggressive prophylactic regiment no significant reduction of abscess formation J Vasc. Interv Radiol ; 17:1931-1934 3. 脓肿发生后应该做什么? 1. Varela M, Real MI, Burrel M, Forner A, Sala M, Brunet M, Ayuso C, Castells L, Montañá X, Llovet JM, Bruix J. Chemoembolization of hepatocellular carcinoma with drug eluting beads: efficacy and doxorubicin pharmacokinetics. J Hepatol. 2007 Mar;46(3):474-81. Epub 2006 Nov 29. 2. Malagari K1, Pomoni M, Kelekis A, Pomoni A, Dourakis S, Spyridopoulos T, Moschouris H, Emmanouil E, Rizos S, Kelekis D. Prospective randomized comparison of chemoembolization with doxorubicin-eluting beads and bland embolization with BeadBlock for hepatocellular carcinoma. Cardiovasc Intervent Radiol. 2010 Jun;33(3):541-51. doi: 10.1007/s00270-009-9750-0. Epub 2009 Nov 24. 3. Del Poggio P, Maddeo A, Zabbialini G, et al.(2007) Journal of Hepatology. 47: 157–159 4. Lammer J, Malagari K, Vogl T, et al Cardiovasc Intervent Radiol.33(1):41-52 5. Geschwind F. H, Kaushik S, Ramsey D. E et al. Influence of a new prophylactic antibiotic therapy on the incidence of liver abscesses after chemoembolization treatment of liver tumors J. Vasc. Interv. Radiol 2002; 13(11): 1163 – 6 6. Patel S, Tuite CM, Mondschein JI et al (2006) Effectiveness of an aggressive antibiotic regimen for chemoembolization in patients with previous biliary intervention J Vasc. Interv Radiol ; 17:1931-1934 7. Poon RT, Tso WK, Pang RW, Ng KK, Woo R, Tai KS, Fan ST.A phase I/II trial of chemoembolization for hepatocellular carcinoma using a novel intra-arterial drug-eluting bead. Clin Gastroenterol Hepatol. 2007 Sep;5(9):1100-8. Epub 2007 Jul 12 | 

 
        
      






