返回首页

结肠癌肝转移介入治疗现状

时间:2015-10-04 00:58来源:未知 作者:Mr.Editor
一、结肠癌肝转移介入治疗的历史 二、结肠癌肝转移介入治疗的现状和角色: 传统结直肠癌的围手术治疗包括肝转移癌的新辅助治疗、肝转移癌的辅助治疗、肝转移癌的转化治疗、肝转移癌围手术期化疗(新辅助+辅助)以及肝转移癌的姑息化疗治疗。在这些传统治疗方

 


一、结肠癌肝转移介入治疗的历史

二、结肠癌肝转移介入治疗的现状和角色:

        传统结直肠癌的围手术治疗包括 肝转移癌的新辅助治疗、肝转移癌的辅助治疗、肝转移癌的转化治疗、肝转移癌围手术期化疗(新辅助+辅助)以及肝转移癌的姑息化疗治疗。在这些传统治疗方法中,介入治疗究竟可以或已经扮演什么样的角色?定义如何?结果又如何呢?

      1. 结直肠肝转移癌经导管治疗新辅助治疗(Neoadjuvant):可一期切除的肝转移癌,外科术前进行经导管肝动脉灌注化疗。 术前治疗预防结肠癌肝转移,即结肠癌切除前进行肝动脉或结肠癌供血动脉的灌注化疗,所谓新辅助治疗。它应该还包括单独介入灌注化疗,全身化疗的联合和单一治疗间的对比,以及结肠癌切除术围手术期的化疗对比,如术前化疗+术后化疗 vs 单一术前化疗等。目的是减少肝转移癌发生率或推迟肝转移癌发生的时间,或改变肝转移癌发生的形式,提高结直肠癌手术切除的生存率。(chemotherapy given to facilitate surgery)

      2. 结直肠肝转移癌经导管辅助治疗(adjuvantive):是指可一期切除的肝转移癌,外科切除术后进行经导管肝动脉灌注化疗(chemotherapy post surgery)

      3. 结直肠肝转移癌经导管转化治疗(conversion therapies):经导管肝动脉灌注后,将不可一期切除的肝转移癌变成可一期切除的肝转移癌(down staging)。

      4. 结直肠癌肝转移经导管围手术期化疗:对于可切除肝转移癌进行外科术前、术后经导管化疗


      5. 结直肠癌肝转移癌的经导管姑息治疗:对永久不可切除的肝转移癌进行经导管化疗。


三、结肠癌肝转移介入治疗的未来

结直肠癌联合治疗(Multimodality Management)包括


   
辅助治疗 肝转移癌切除后的治疗
新辅助化学治疗 使可切除的肝转移病更方便外科切除
转化治疗 转化不可切除的肝转移病变成为可切除
肝转移癌的姑息治疗 对于不可切除的肝转移癌的姑息治疗
肝转移癌的联合治疗 联合其它治疗


 
        结直肠肝转移病人预后差。只有少于25%的患者有机会进行治愈性切除或经皮消融,他们其中70%的患者治疗后3年内消逝【1】。
 
        经静脉全身化疗首选5-FU联合伊立替康或奥沙利铂和单克隆抗体的治疗反应率为31-62%,中位无进展期(Progression free survival,PFS)为6.9-10.6个月,中位整体生存率(overall survival,OS)14-21.5个月【2-5】。但是,对一线治疗不敏感的患者,二线或三线全身治疗疗效也不好,RR 4-21%,中位PFS 2.5-4.8【6-8】。
 
        尽管基于导管治疗肝脏肿瘤有许多优势,并且在过去10年越来越多地在临床得到应用。但当与全身化疗和最好的支持治疗比较,仍然没有证据表明结直肠癌肝转移患者经肝动脉经泵灌注化疗(HAIC),或隔离循环化疗(isolated hepatic perfusion ),经肝动脉栓塞治疗(TACE)或经肝动脉放射治疗(TARE)治疗后可以分别提高提高生存率和改善PFS 。但是这些治疗的局部反应率和转化到可切除性一直以来显示可能对拯救病人(salvage patients) 。
 
        2007年10个RCT研究表明肝动脉灌注化疗与全身化疗比较,并不改善病人的生存率【9】。但是,对于一线治疗失败的患者,肝动脉灌注化疗联合全身治疗可以改善病人无进展生存期4-7个月【10-12】。转化为可切除性转移癌达到35-47%【11,13】。
 
        静脉化疗后进展的病人,隔离式循环化疗局部反应率可以达到60-80%,PFS可以达到12个月【14,15】。
 
       1998年开始,有几个临床试验用于评价对静脉化疗耐受的肝转移癌病人进行常规TACE。这些研究的大多数,联合顺铂、表阿霉素和丝裂霉素和PVA进行栓塞治疗,但是方案差异程度大,带来是TACE术后结果的差异,报告客观反应率2-63%,PFS 为3-8个月,OS 8.6-14.3个月【16-20】。仅有有限的资料可以决定亚分组病人将从这一治疗获益。
 
        TACE前进行一线或二线治疗的病人比较3-5线静脉化疗(中位生存期6个月;P=0.03)【20】后的病人似乎有较好的结果(中位生存期 11-12个月)。存在肝外转移还不清楚对生存率的影响。大样本病人报告的客观反应率低于15%【19,20】。包括晚期肿瘤肝侵犯研究显示首次TACE术后的整体生存率低于10个月【16,18,20】。
 
        药物洗脱微球可以提供有控制的药物释放到肿瘤,减少静脉化疗对全身的副作用,并改善TACE 可重复性。伊立替康对于治疗结直肠癌肝转移是一种强有力的药物,体内高清除率和高肝分泌率,适合经动脉肝治疗。
 
         今天,各种载药微球应用于临床,如荷载伊立替康的微球。用伊立替康载药微球TACE有六个回顾性研究,一个215例随机对照研究【21~27】。

 
        如果病人事先进行静脉化疗,局部肿瘤控制(无进展)是40-86%;然而首次DEB-TACE术后,PFS和 OS分别是有限的4-8.1个月和5.4-13.3个月。 应用荷载伊立替康微球的经导管栓塞,可以在相当的比例下获得结直肠癌肝转移病灶血管几近消失。据报告【25】,使用伊立替康荷载的微球栓塞,肝转移病变经增强CT扫描,在第三个月染色完全消失的为7/29例,肿瘤容积≥50%肿瘤坏死为14/29%。在药物、栓塞剂和微球方面,选择与非选择应用没有标准。

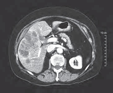
术前:肝左右叶肝转移癌
   


伊立替康荷载微球栓塞
     
两次TACE术后随访:首次TACE术后病人存活12个月
   

 
        应用伊立替康荷载药物洗脱微球进行结直肠癌肝转移的治疗,有报告可以包括两叶动脉的同时栓塞,间隔3-8周时间进行下一次栓塞。考虑到转移性疾病的播散“叶动脉栓塞(lobar treatment)似乎是必须的。但是如果术前影像显示肿瘤大部分在有限肝段内,经导管治疗可以在叶动脉注射前进行选择性肝段动脉注射以增加潜在的疗效。这一技术应用在30/74例的研究中并没有并发症的增加【25】。
 
        经动脉导管放射性栓塞治疗结直肠癌肝转移已经有7个临床试验对1174个病人进行了评价,其中605例的资料来自于多中心的研究【29-34】。多数病人在TARE之前进行了静脉全身化疗。取决于评估的时间和肿瘤的容积,局部肿瘤控制率在29%-73%之间。整体生存率在有限的6.2~11.6之间。


结论:肝动脉灌注化疗(HAIC)、隔离循环化疗(IHP)、颈动脉化疗性栓塞(TACE)以及经动脉放疗性栓塞(TARE)对于一线或N线标准姑息性静脉全身化疗失败的病人是个治疗选择。这些治疗的临床结果仍然是有限的,取决于肿瘤负荷、临床状态和肝外转移播散,PFS延长在4-8月之间。DEB-TACE的优点是高水平的标准化治疗和手术操作简单。
 
 
References:
 
1. Pwint TP, Midgley R, Kerr DJ.  Regional hepatic chemotherapies in the treatment of colorectal cancer metastases to the liver. Semin Oncol. 2010 Apr;37(2):149-59.
 
2. Saltz LB, Cox JV, Blanke C, Rosen LS, Fehrenbacher L, Moore MJ, Maroun JA, Ackland SP, Locker PK, Pirotta N, Elfring GL, Miller LL. Irinotecan plus fluorouracil and leucovorin for metastatic colorectal cancer. Irinotecan Study Group. N Engl J Med. 2000 Sep 28;343(13):905-14.
 
3. Goldberg RM, Sargent DJ, Morton RF, Fuchs CS, Ramanathan RK, Williamson SK, Findlay BP, Pitot HC, Alberts SR. A randomized controlled trial of fluorouracil plus leucovorin, irinotecan, and oxaliplatin combinations in patients with previously untreated metastatic colorectal cancer(免费). J Clin Oncol. 2004 Jan 1;22(1):23-30. Epub 2003 Dec 9.

4. Colucci G, Gebbia V, Paoletti G, Giuliani F, Caruso M, Gebbia N, Cartenì G, Agostara B, Pezzella G, Manzione L, Borsellino N, Misino A, Romito S, Durini E, Cordio S, Di Seri M, Lopez M, Maiello E, Montemurro S, Cramarossa A, Lorusso V, Di Bisceglie M, Chiarenza M, Valerio MR, Guida T, Leonardi V, Pisconti S, Rosati G, Carrozza F, Nettis G, Valdesi M, Filippelli G, Fortunato S, Mancarella S, Brunetti C; Gruppo Oncologico Dell'Italia Meridionale. Phase III randomized trial of FOLFIRI versus FOLFOX4 in the treatment of advanced colorectal cancer: a multicenter study of the Gruppo Oncologico Dell'Italia Meridionale(免费). J Clin Oncol. 2005 Aug 1;23(22):4866-75. Epub 2005 Jun 6.
 
5. Chen HX, Mooney M, Boron M, Vena D, Mosby K, Grochow L, Jaffe C, Rubinstein L, Zwiebel J, Kaplan RS. Phase II multicenter trial of bevacizumab plus fluorouracil and leucovorin in patients with advanced refractory colorectal cancer: an NCI Treatment Referral Center Trial TRC-0301(免费). J Clin Oncol. 2006 Jul 20;24(21):3354-60.
 
6. Hurwitz H, Fehrenbacher L, Novotny W, Cartwright T, Hainsworth J, Heim W, Berlin J, Baron A, Griffing S, Holmgren E, Ferrara N, Fyfe G, Rogers B, Ross R, Kabbinavar F. Bevacizumab plus irinotecan, fluorouracil, and leucovorin for metastatic colorectal cancer(free). N Engl J Med. 2004 Jun 3;350(23):2335-42.
 
7. Rothenberg ML, Oza AM, Bigelow RH, Berlin JD, Marshall JL, Ramanathan RK, Hart LL, Gupta S, Garay CA, Burger BG, Le Bail N, Haller DG  Superiority of oxaliplatin and fluorouracil-leucovorin compared with either therapy alone in patients with progressive colorectal cancer after irinotecan and fluorouracil-leucovorin: interim results of a phase III trial.  J Clin Oncol. 2003 Jun 1;21(11):2059-69.
 
8. Park ER, Li FP, Liu Y, Emmons KM, Ablin A, Robison LL, Mertens AC; Childhood Cancer Survivor Study.  Health insurance coverage in survivors of childhood cancer: the Childhood Cancer Survivor Study(FREE). J Clin Oncol. 2005 Dec 20;23(36):9187-97.
 
9. Mocellin S1, Pilati P, Lise M, Nitti D. Meta-analysis of hepatic arterial infusion for unresectable liver metastases from colorectal cancer: the end of an era?  J Clin Oncol. 2007 Dec 10;25(35):5649-54.
 
10. Boige V, Malka D, Elias D, Castaing M, De Baere T, Goere D, Dromain C, Pocard M, Ducreux M. Hepatic arterial infusion of oxaliplatin and intravenous LV5FU2 in unresectable liver metastases from colorectal cancer after systemic chemotherapy failure. Ann Surg Oncol. 2008 Jan;15(1):219-26. Epub 2007 Sep 26.
 
11.Samaras P, Breitenstein S, Haile SR, Stenner-Liewen F, Heinrich S, Feilchenfeldt J, Renner C, Knuth A, Pestalozzi BC, Clavien PA. Selective intra-arterial chemotherapy with floxuridine as second- or third-line approach in patients with unresectable colorectal liver metastases. Ann Surg Oncol. 2011 Jul;18(7):1924-31. doi: 10.1245/s10434-010-1505-2. Epub 2011 Jan 5.
 
12. Tsimberidou AM, Vaklavas C, Fu S, Wen S, Lim JA, Hong D, Wheler J, Naing A, Uehara C, Wallace M, Kurzrock R. Hepatic arterial infusion therapy in advanced cancer and liver-predominant disease: the MD Anderson Experience. Hepatogastroenterology. 2013 Oct;60(127):1611-23.
 
13. DʼAngelica MI, Correa-Gallego C, Paty PB, Cercek A, Gewirtz AN, Chou JF, Capanu M, Kingham TP, Fong Y, DeMatteo RP, Allen PJ, Jarnagin WR, Kemeny N. Phase II trial of hepatic artery infusional and systemic chemotherapy for patients with unresectable hepatic metastases from colorectal cancer: conversion to resection and long-term outcomes. Ann Surg. 2015 Feb;261(2):353-60.
 
14. Reddy SK, Kesmodel SB, Alexander HR Jr. Isolated hepatic perfusion for patients with liver metastases. Ther Adv Med Oncol. 2014 Jul;6(4):180-94. doi: 10.1177/1758834014529175.
 
15. Magge D, Choudry HA, Zeh HJ 3rd, Cunningham DE, Steel J, Holtzman MP, Jones HL, Pingpank JF, Bartlett DL, Zureikat AH.  Outcome analysis of a decade-long experience of isolated hepatic perfusion for unresectable liver metastases at a single institution. Ann Surg. 2014 May;259(5):953-9. doi: 10.1097/SLA.0000000000000261.
 
16.Tellez C, Benson AB 3rd, Lyster MT, Talamonti M, Shaw J, Braun MA, Nemcek AA Jr, Vogelzang RL.Phase II trial of chemoembolization for the treatment of metastatic colorectal carcinoma to the liver and review of the literature.  Cancer. 1998 Apr 1;82(7):1250-9.
 
17. Leichman CG, Jacobson JR, Modiano M, Daniels JR, Zalupski MM, Doroshow JH, Fletcher WS, Macdonald JS. Hepatic chemoembolization combined with systemic infusion of 5-fluorouracil and bolus leucovorin for patients with metastatic colorectal carcinoma: A Southwest Oncology Group pilot trial. Cancer. 1999 Sep 1;86(5):775-81.
 
18. Hong K, McBride JD, Georgiades CS, Reyes DK, Herman JM, Kamel IR, Geschwind JF.Salvage therapy for liver-dominant colorectal metastatic adenocarcinoma: comparison between transcatheter arterial chemoembolization versus yttrium-90 radioembolization. J Vasc Interv Radiol. 2009 Mar;20(3):360-7. doi: 10.1016/j.jvir.2008.11.019. Epub 2009 Jan 23.
 
19. Vogl TJ, Gruber T, Balzer JO, Eichler K, Hammerstingl R, Zangos S. Repeated transarterial chemoembolization in the treatment of liver metastases of colorectal cancer: prospective study(FREE). Radiology. 2009 Jan;250(1):281-9. doi: 10.1148/radiol.2501080295.
 
20.Albert M, Kiefer MV, Sun W, Haller D, Fraker DL, Tuite CM, Stavropoulos SW, Mondschein JI, Soulen MC. Chemoembolization of colorectal liver metastases with cisplatin, doxorubicin, mitomycin C, ethiodol, and polyvinyl alcohol. Cancer. 2011 Jan 15;117(2):343-52. doi: 10.1002/cncr.25387. Epub 2010 Sep 9.
 
21. Fiorentini G, Aliberti C, Turrisi G, Del Conte A, Rossi S, Benea G, Giovanis P. Intraarterial hepatic chemoembolization of liver metastases from colorectal cancer adopting irinotecan-eluting beads: results of a phase II clinical study ( FREE). In Vivo. 2007 Nov-Dec;21(6):1085-91.
 
22. Martin RC, Joshi J, Robbins K, Tomalty D, Bosnjakovik P, Derner M, Padr R, Rocek M, Scupchenko A, Tatum C. Hepatic intra-arterial injection of drug-eluting bead, irinotecan (DEBIRI) in unresectable colorectal liver metastases refractory to systemic chemotherapy: results of multi-institutional study. Ann Surg Oncol. 2011 Jan;18(1):192-8. doi: 10.1245/s10434-010-1288-5. Epub 2010 Aug 26.
 
23.Fiorentini G, Aliberti C, Tilli M, Mulazzani L, Graziano F, Giordani P, Mambrini A, Montagnani F, Alessandroni P, Catalano V, Coschiera P. Intra-arterial infusion of irinotecan-loaded drug-eluting beads (DEBIRI) versus intravenous therapy (FOLFIRI) for hepatic metastases from colorectal cancer: final results of a phase III study (FREE). Anticancer Res. 2012 Apr;32(4):1387-95.
 
24. Narayanan G, Barbery K, Suthar R, Guerrero G, Arora G. Transarterial chemoembolization using DEBIRI for treatment of hepatic metastases from colorectal cancer. Anticancer Res. 2013 May;33(5):2077-83.
 
25. Huppert P, Wenzel T, Wietholtz H. Transcatheter arterial chemoembolization (TACE) of colorectal cancer liver metastases by irinotecan-eluting microspheres in a salvage patient population. Cardiovasc Intervent Radiol. 2014 Feb;37(1):154-64. doi: 10.1007/s00270-013-0632-0. Epub 2013 May 14.
 
26. Stutz M, Mamo A, Valenti D, Hausvater A, Cabrera T, Metrakos P, Chaudhury P, Steacy G, Garoufalis E, Kavan P. Real-Life Report on Chemoembolization Using DEBIRI for Liver Metastases from Colorectal Cancer(FREE). Gastroenterol Res Pract. 2015;2015:715102. doi: 10.1155/2015/715102. Epub 2015 Feb 26.
 
27. Iezzi R, Marsico VA, Guerra A, Cerchiaro E, Cassano A, Basso M, Devicienti E, Rodolfino E, Barone C, Bonomo L.Trans-Arterial  Chemoembolization with Irinotecan-Loaded Drug-Eluting Beads (DEBIRI) and Capecitabine in Refractory Liver Prevalent Colorectal Metastases: A Phase II Single-Center Study. Cardiovasc Intervent Radiol. 2015 Mar 24. [Epub ahead of print]

28.Cosimelli M1, Golfieri R, Cagol PP, Carpanese L, Sciuto R, Maini CL, Mancini R, Sperduti I, Pizzi G, Diodoro MG, Perrone M, Giampalma E, Angelelli B, Fiore F, Lastoria S, Bacchetti S, Gasperini D, Geatti O, Izzo F; Italian Society of Locoregional Therapies in Oncology (SITILO).Multi-centre phase II clinical trial of yttrium-90 resin microspheres alone in unresectable, chemotherapy refractory colorectal liver metastases (FREE). Br J Cancer. 2010 Jul 27;103(3):324-31. doi: 10.1038/sj.bjc.6605770. Epub 2010 Jul 13.
 
29. Kalva SP, Rana RS, Liu R, Rachamreddy N, Dave B, Sharma A, Ganguli S, Rabito C, Kwak E, Blaszkowsky LS. Yttrium-90 Radioembolization as Salvage Therapy for Liver Metastases From Colorectal Cancer. Am J Clin Oncol. 2014 Nov 4. [Epub ahead of print]
 
30. Golfieri R, Mosconi C, Giampalma E, Cappelli A, Galaverni MC, Pettinato C, Renzulli M, Monari F, Mazzarotto R, Pinto C, Angelelli B. Selective transarterial radioembolisation of unresectable liver-dominant colorectal cancer refractory to chemotherapy. Radiol Med. 2015 Aug;120(8):767-76. doi: 10.1007/s11547-015-0504-6. Epub 2015 Feb 13.
 
31. Kennedy AS, Ball D, Cohen SJ, Cohn M, Coldwell DM, Drooz A, Ehrenwald E, Kanani S, Rose SC, Nutting CW, Moeslein FM, Savin MA, Schirm S, Putnam SG 3rd, Sharma NK, Wang EA.  Multicenter evaluation of the safety and efficacy of radioembolization in patients with unresectable colorectal liver metastases selected as candidates for (90)Y resin microspheres. J Gastrointest Oncol. 2015 Apr;6(2):134-42. doi: 10.3978/j.issn.2078-6891.2014.109.
 
32. Abbott AM, Kim R, Hoffe SE, Arslan B, Biebel B, Choi J, El-Haddad G, Kis B, Sweeney J, Meredith KL, Almhanna K, Strosberg J, Shibata D, Fulp WJ, Shridhar R. Outcomes of Therasphere Radioembolization for Colorectal Metastases. Clin Colorectal Cancer. 2015 Sep;14(3):146-53. doi: 10.1016/j.clcc.2015.02.002. Epub 2015 Feb 16.

 
33. Sabet A, Meyer C, Aouf A, Sabet A, Ghamari S, Pieper CC, Mayer K, Biersack HJ, Ezziddin S. Early post-treatment FDG PET predicts survival after 90Y microsphere radioembolization in liver-dominant metastatic colorectal cancer. Eur J Nucl Med Mol Imaging. 2015 Mar;42(3):370-6. doi: 10.1007/s00259-014-2935-z. Epub 2014 Oct 29. 
 
34. Saxena A, Meteling B, Kapoor J, Golani S, Morris DL, Bester L. Is yttrium-90 radioembolization a viable treatment option for unresectable, chemorefractory colorectal cancer liver metastases? A large single-center experience of 302 patients.Ann Surg Oncol. 2015 Mar;22(3):794-802. doi: 10.1245/s10434-014-4164-x. Epub 2014 Oct 17.
 
顶一下
(1)
100%
踩一下
(0)
0%
------分隔线----------------------------
推荐内容