患者选择患者的选择和治疗目的相关1. 治愈性治疗,在肝癌治疗中,SIRT可以作为不能手术或消融患者治愈性治疗手段。但肝内胆管细胞癌尚未查到相关文献,相信既不能手术切除,又不能消融治疗的临床场景比较少见,但相信SIRT具有临床治愈的潜力 2.新辅助治疗:对于可切除病变进行SIRT治疗,提高手术的便利性和长期效果。就肝内胆管细胞癌来说尚未查到相关文献【Riby D,2020 J Edeline 2023】 3.转化治疗,即将不可切除/不可肝移植的肝内胆管细胞癌经SIRT转化为可切除的或者可肝移植肝内胆管细胞癌。考虑到大部分肝内胆管细胞癌临床发现已经晚期,转化治疗是SIRT最有价值的适应症。也是影响不可切除肝内胆管细胞癌的长期存活的主要影响因素 4. 姑息治疗,对晚期不能手术的肝内胆管细胞癌进行以延长有质量的生命SIRT治疗。这大概是SIRT主要的临床应用场景。 5. 挽救性治疗或提高患者的生存治疗,以此为目的的治疗,资料较少
姑息治疗的患者选择精心挑选的患者能够带来令人满意的临床效果: 【Héloïse Bourien 2023】
单侧肝叶受累
其主要适应症在于术前治疗阶段,旨在为那些原本无法进行手术的胆管癌患者提供手术机会。良好的肝功能 良好的身体状况(PS 为 O 或 1) 单叶肝受累Unilobar liver involvement 大病变Large lesions 血管紧邻 Vascular contact 通常会被认为适合SIRT 肿瘤负荷超过 50% 胆道支架(?)不适合SIRT 方法
放射性肝叶切除术(Radiation lobectomy),
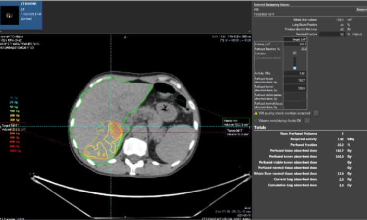
采用选择性肝段切除术(SCD),目标肺叶剂量设定为 140 - 150 戈瑞【Lam M 2025】。
改良放射性肝叶叶切除术:
建议采用 2400 戈瑞的放射性肺段切除剂量,并进行 100 戈瑞的肝叶灌注治疗。 在评估肿瘤相关突变(TAD)和非肿瘤相关突变(NTAD)时,MCD 方法优于 SCD 方法。
建议将肝脏全切区的总辐射剂量设定为 75 戈瑞,作为初步的安全剂量阈值。
灌注的范围可能是整个肝脏,也可能是肝脏的一部分。经证实,这种疗法在一线化疗后是安全且有效的。 在靶向不准确(如[99mTc]TcMAA SPECT/CT 检查)以及肿瘤负荷过低(< 10%)的情况下,需要谨慎处理,因为这可能导致疗效低下和/或毒性过高。
《European Journal of Nuclear Medicine and Molecular Imaging》于2025年发表的一篇国际多学科工作组共识指南,标题为: 《钇-90玻璃微球放射栓塞治疗肝内胆管癌、结直肠癌肝转移和神经内分泌肿瘤肝转移的临床和剂量学考量:国际多学科工作组的建议》 以下是该文件的核心内容整理,涵盖目的、方法,针对非肝细胞癌的肝脏恶性肿瘤,特别是: 肝内胆管癌· 结直肠癌肝转移· 神经内分泌肿瘤肝转移提出基于剂量学的治疗建议,优化患者选择、治疗计划和随访策略。各癌种的临床建议及剂量学推荐:本栏目就涉及胆管细胞癌治疗部分进行阐述 方法学·采用Delphi法进行文献回顾和专家共识,·推荐等级根据证据强度和共识强度分级,·重点讨论剂量学模型:
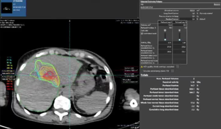
o 单室剂量法
o 多室剂量法 通用剂量学建议
肝内胆管癌治疗目标:根治性或桥接至手术患者选择:
o ECOG ≤ 1、Child-Pugh A、无/有限肝外病灶
·剂量学:o 胆红素可略高(≤ 1.5倍正常上限)
o 放射节段切除:≥ 400 Gy
·治疗方式:o 放射肝叶切除:140–150 Gy o 多室剂量法:TAD ≥ 205–260 Gy,NTAD ≤ 75 Gy
o 可与全身化疗(如gemcitabine/cisplatin)联合
o 可诱导肿瘤降期,提高手术切除率 ·随访:
o 每3个月影像学评估
o CA 19-9可作为生物标志物 未来研究方向
1. 放射肝段切除在胆管细胞癌中的应用
2. 桥接至手术的治疗策略优化 3. 放射肝叶切除术与PVE的对比研究 4. 基于剂量学的个体化治疗计划 5. 预后因素的前瞻性验证 6. 联合系统治疗的研究(如免疫治疗、PRRT等) 7. 功能性影像学(如肝胆显像、Eovist MRI)的应用 结论本共识为胆管细胞癌的钇-90玻璃微球治疗提供了初步但系统的剂量学建议,强调个体化治疗、联合治疗策略和长期随访的重要性。尽管证据尚不充分,专家组一致认为现有数据足以指导临床实践,并呼吁未来研究进一步验证和优化这些建议。![]() 选择联合姑息治疗的患者单纯化疗 vs 化疗+SIRT![]() ![]() 对于患有晚期仅肝脏受累的肝细胞癌患者而言,SIRT与化疗相结合可能比单纯化疗更能改善治疗效果。 SIRT + systemic chemotherapyPM-CARE
单臂、多中心的
II 期临床试验 、 不可切除的胆管癌; 联合使用吉西他滨和度伐利尤单抗的放射栓塞治疗 ![]()
转化治疗 Down staging![]()
背景
上文是一篇回顾性研究,旨在比较接受初始手术或在降期治疗后进行手术的肝内胆管癌(ICC)患者的预后。研究对象为1997年1月至2017年11月期间单中心数据库中的所有连续ICC患者。患者被分为两组:一组是直接进行手术,另一组是在化疗或选择性内部放射治疗(SIRT)联合化疗降期治疗后再进行手术。
研究目的
比较直接手术与降期治疗后手术的ICC患者的预后。
研究方法
纳入1997年1月至2017年11月期间单中心数据库中的所有连续ICC患者。
将患者分为两组:直接手术组和降期治疗后手术组。
直接手术组:137例
降期治疗组:32例(其中13例接受化疗,19例接受SIRT)
比较直接手术和降期治疗后手术患者的生存率。
研究结果
总体生存率(OS)在两组之间没有显著差异:
直接手术组:中位OS为32.3个月(95% CI 23.9-40.7)
降期治疗组:中位OS为45.9个月(95% CI 32.3-59.4),p = 0.54(log-rank检验)
多变量Cox回归模型显示,降期治疗本身与更好的或更差的预后无关。
在多变量分析中,作为降期治疗的SIRT显示出显著的好处(危险比0.34,95% CI 0.14-0.84;p = 0.019)。
研究结论
接受降期治疗后手术的患者总体生存率与直接手术的患者相似。
患者在接受医学治疗后应再次与外科医生讨论手术方案。
SIRT可能是可切除ICC患者的一种有效的新辅助疗法,以改善手术结果。
总结
上文通过回顾性研究对比了直接手术与降期治疗后手术的ICC患者的预后。研究发现,尽管降期治疗后的总体生存率与直接手术相似,但选择性内部放射治疗(SIRT)作为降期治疗手段,在多变量分析中显示出显著的生存优势。因此,对于可切除的ICC患者,SIRT可能是一种有效的术前治疗方式,有助于提高手术效果。核心观点是,虽然降期治疗并未改变总体生存率,但SIRT作为一种降期治疗方法,能够带来显著的生存益处,值得进一步探讨和应用。(内容由AI生成,仅供参考)
![]() ![]() 上图是一篇论文报告了一项针对不可切除肝内胆管癌(iCC)的创新性降期治疗联合肝移植的前瞻性研究。以下是该研究的核心内容总结: 研究背景
· 肝内胆管癌是一种侵袭性胆道恶性肿瘤,手术切除是唯一可能治愈的手段,但70%-80%的患者确诊时已无法切除。 研究目的 评估一项结合全身化疗(吉西他滨+顺铂)与放射性栓塞(TARE)的序贯降期方案,用于筛选适合肝移植的不可切除iCC患者,并报告前13例患者的意向性治疗结果。 研究方法
·纳入标准:单发肿块型iCC(可伴卫星灶)、血管包绕但无癌栓、无淋巴结或肝外转移、年龄18-70岁、PS 0-1。
1.4周期吉西他滨+顺铂化疗;
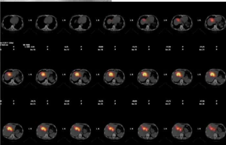
反应评估:采用RECIST、Choi标准及FDG-PET,并监测肿瘤标志物。 主要结果
入组情况:13例患者,中位年龄60岁,77%为女性,多数(57%)伴有代谢相关脂肪性肝病,中位肿瘤直径100mm。
o 中位从诊断到移植时间9个月,等待时间57天; ·非移植患者:中位OS从诊断起29个月,从退出起11.5个月,8例死亡(均为肿瘤进展)。 结论与讨论
· 联合化疗+TARE的降期方案可使部分不可切除iCC患者获得肝移植机会,移植后长期生存良好。 局限性
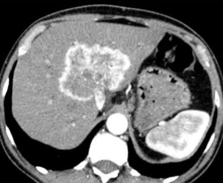
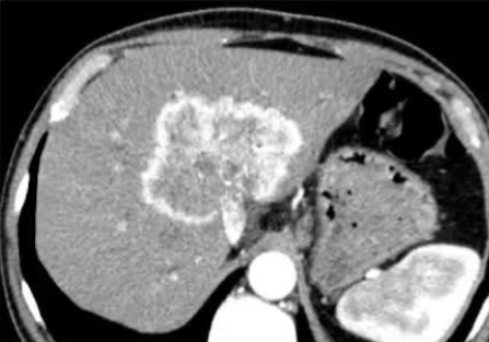
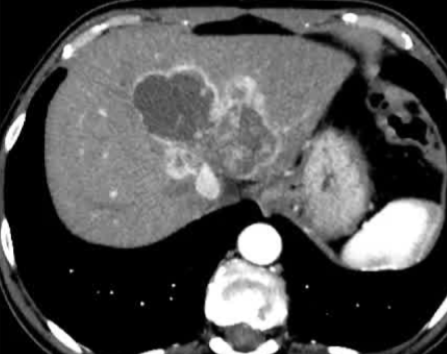
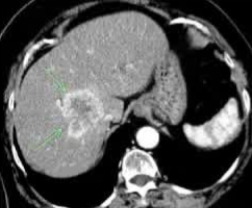
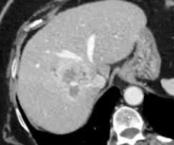
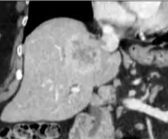
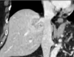
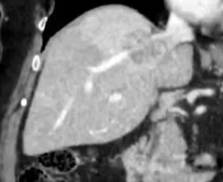
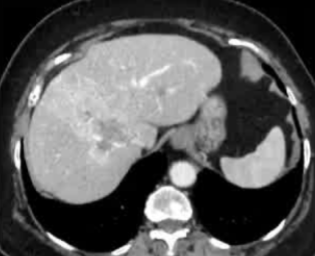
· 单中心、样本量小; 83 岁的女性,体重超标 40 毫米单发 ICC(S7-S8) 中肝静脉和右肝静脉浸润性,活检:非酒精性脂肪性肝炎(慢性肝病),马斯氏(MaS)病(30%)
考虑采用“三步策略 TARE→ PVE → Surgery”方案 剂量活性:1.56 和 3.16 GBq
选择肝切除的患者![]() 除了以肝移植为目的的降期治疗,因为器官来源稀缺,也需要考虑以肝切除为目的的降期治疗。上图是是关于术前肝功能评估的欧洲共识指南,由多国专家共同制定,旨在为计划接受肝脏切除手术的患者提供个体化风险分层指导。该指南基于系统文献回顾和专家意见,通过德尔菲法达成共识,并在2023年欧洲-非洲肝胰胆协会大会上提出。 研究方法
委员会成员选择:由指导委员会根据经验和专长选择专家小组、验证委员会和写作组成员,确保参与者在人口统计学、临床专业和经验方面的平衡。
关键主题选择:确定了四个主要领域:评估的指征和时机、静态血液标志物、功能和形态成像以及非成像测试。 文献检索:各小组根据预设的医学主题词(MeSH)搜索术语和相关关键词,在PubMed/MEDLINE数据库、Cochrane图书馆和WHO国际临床试验注册平台进行系统文献检索。 指南开发方法:采用苏格兰跨院校指南网络(SIGN)方法评估证据和制定指南声明,修改后的德尔菲法达成专家共识,AGREE II全球评分量表评估方法学质量和外部验证最终声明。 证据纳入和分级:根据SIGN方法评估研究质量和证据水平,创建考虑判断表总结证据、质量评级、局限性和优势。 修改德尔菲过程:通过三轮匿名投票的德尔菲过程实现专家共识,每轮达到85%同意率的陈述被排除进一步讨论,未达到的陈述则由指导委员会和工作组领导修订后纳入下一轮。 验证:整个指南过程由验证委员会质量控制,所有成员和一名患者代表审查草稿,出版商的编辑团队参与形式结构和布局。 结果 术前肝功能评估的指征和时机 患者选择:
复杂肝切除术:应在计划进行大范围或复杂肝切除术的患者中常规进行术前功能性肝评估。
潜在或已知肝病:应在有潜在或已知肝病的患者中进行术前肝功能评估。 药物诱导性或化疗相关性肝损伤:应在怀疑或已知药物诱导性(DILI)或化疗相关性(CALI)肝损伤的患者中进行术前肝功能评估。 静态血液标志物 临床评估和血基评分:临床评估和反映肝功能或门脉高压的血基评分(如白蛋白/胆红素、血小板计数)有助于识别PHLF的风险。 未来肝脏残留体积:未来肝脏残留体积的体积测量是评估的基础,可以根据当地专业知识和可用性结合吲哚青绿清除率或LiMAx®。 替代方法:功能性磁共振成像和肝扫描是替代方法,可以将FLR体积和功能结合在一个检查中。 结论
现有方法的反映:这些指南反映了评估术前肝功能和PHLF风险的 established 方法,并发现了未来研究感兴趣的证据空白。
总结文献提出了针对计划接受肝脏切除手术患者的术前肝功能评估的欧洲共识指南。指南通过系统文献回顾和多学科专家的德尔菲法达成共识,涵盖了评估的指征和时机、静态血液标志物、功能和形态成像以及非成像测试等多个方面。核心观点在于,术前肝功能评估对于识别术后肝衰竭高风险患者至关重要,可以降低不良后果。指南提供了标准化的方法来评估肝功能和预测术后并发症,同时指出了当前研究中的证据空白,为未来的研究方向提供了指导。 SIRT栓塞术在肝内胆管细胞癌中的应用 TARE 可用于病情缓解,旨在使患者适合进行具有治愈性目的的手术(移植或切除);也可用于处于姑息治疗环境下的患者。 TARE 可与全身性治疗联合使用,作为一线化疗后病情未出现进展且无肝外疾病的患者的巩固治疗方案。 患者的选取至关重要(单侧肝脏受累、肝功能良好、各项指标表现良好) 对于符合条件的患者,建议采用放射性肝段切除术或放射性肝叶切除术。 采用个性化剂量学方法,使肿瘤接受的照射剂量达到 400 戈瑞(适用于段切除术)/ 140 - 150 戈瑞(适用于肺叶切除术),从而提高治疗效果。 |




























