急性门静脉血栓的病因
肝硬化患者的门静脉血栓形成门静脉血流速度降低最重要的预测变量【Zocco MA 2009】 凝血状态失衡 蛋白质 C 下降 抗凝血酶水平较低 D-二聚体升高 因子 VIII 水平升高
|
| 急性 | 慢性 |
|
CT或MRI 影像 充盈缺损 增强后改变 |
CT或MRI影像 门静脉变细或门静脉缺乏 门静脉蛇形侧支形成的 |
|
超声多普勒 高回声血栓 缺少血流 |
超声多普勒 侧支循环血管 |
门静脉血栓 YERDEL分类
初始地点
管腔阻塞程度
慢性状态
进行客观的系列评估
急性门静脉血栓的危险影响
立即
肠道缺血(小肠静脉受累)
静脉曲张性出血→内镜止血控制失败/再出血的风险更高——6 周死亡率也有所上升(从 16%上升至 36%)
胆管狭窄症
后来
被肝移植除外
增加手术的并发症
治疗方法
内科 - 全身性抗凝治疗
急性门静脉和肠系膜静脉一线治疗
6 个月时,门静脉再通率在 55%至 75%之间。
缺陷
门静脉血流动力学无变化
6 个月时,门静脉再通率在 55%至 75%之间。
缺陷
门静脉血流动力学无变化
肝硬化患者的出血风险(5%)
无法纠正根本病因
外科
外科手术 只有在严重的肠系膜缺血(全层肠梗死)的情况下
介入治疗
介入治疗方案(单独使用或联合使用)
药物溶解
机械
机械
中断
“浸渍”
“吸除” “
壁化(支架)”
“浸渍”
“吸除” “
壁化(支架)”
流量增强

|
急性门静脉/肠系膜静脉血栓 Review回顾 Rationale原理 Advantages优点 Disadvantages缺点 Technique 技术 Outcomes结果 Complications并发症 |
![]() |
| 低压血流出口 |
TIPS原理:
门静脉通路低压血流
介入治疗方案(单独使用或联合使用)
药物溶解
机械作用使血栓
机械作用使血栓
中断
“浸渍”
“吸除” “
壁化(支架)”
“浸渍”
“吸除” “
壁化(支架)”
流量增强
优点 Advantages
Lower bleeding risk (no capsular transgression) 降低出血风险(避免血管壁破裂)
Good for ascites对腹水有好处
Larger caliber system 更大口径的系统
Larger bore outflow for clot clearance更大的管径出口有助于血栓清除
Longitudinal access纵向进入
Good for ascites对腹水有好处
Larger caliber system 更大口径的系统
Larger bore outflow for clot clearance更大的管径出口有助于血栓清除
Longitudinal access纵向进入
缺点
门静脉周围分支进入困难
进入门静脉困难
进入门静脉困难
原理:TIPS 使门静脉低压血流(low pressure outflow)
优点
优点
凝血酶和纤维蛋白单体的清除 ↑
循环血液的剪切力 - 非血栓性血块血液溶解作用
更高的流速——纤维蛋白溶解剂的沉积量增加
更高的流速——纤维蛋白溶解剂的沉积量增加
这可以避免使用抗凝治疗或机械性血栓切除术等方法。
缺点
通过经皮穿刺TIPS,进架先行血流输送,有可能避免影响门静脉分支的血流 “浸润”现象。
技术List
右侧的经颈静脉入口通道→ 10Fr鞘进入→ 右房压力测量→ 5Fr 导管进入右肝静脉→ 肝静脉造影和压力测量→楔形静脉造影及压力测量→ 进入门静脉通道→ 压力测量 →门静脉扩张术 →造影→ 血栓治疗→ 支架置入
关键步骤 :
楔肝静脉造影及压力测量、有限的价值,所提供的信息将取决于: 阻塞程度和 血栓范围
进入门静脉通道、难以确认的回抽血液位于门静脉内, 对造影剂注射时出现异常模糊,仅依赖“盲”导丝导航
血栓治疗
直接溶栓(CDT)
用组织型纤溶酶原激活剂(tPA)、阿替普酶
通过多侧孔导管进行低剂量输注 +/- 一次性大剂量注射
脉冲喷雾
伴随使用的肝素
通过多侧孔导管进行低剂量输注 +/- 一次性大剂量注射
脉冲喷雾
伴随使用的肝素
血栓切除术(单独进行,或与溶栓治疗联合使用)
“抽吸”
“浸渍”
球囊扩张
“浸渍”
球囊扩张
支架置入术
如果进行溶栓治疗,则需避免溶栓剂流失至分流通道中。 需要降低肺栓塞的风险
将支架置入时间推迟 24 至 72 小时,或者直至血栓明显缩小后再进行置入。
目标:压力梯度 <12mmHg
、
结果
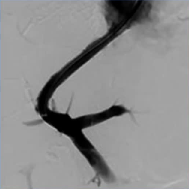
仅TIPS 增加血流
![]() |
![]() |
![]() |
![]() |
![]() |
TIPS联合经导管溶栓和血栓切除
![]() |
![]() |
并发症
TIPS 是安全的: 有经验的操作员 合适的患者
不良事件
脑病 肝
不良事件
脑病 肝
功能衰竭
出血
感染
出血
感染
抗凝治疗是急性门静脉/肠系膜静脉血栓形成的首选治疗方法。
急性PVT(门静脉血栓)是进行经颈静脉肝内门体分流术(TIPS)的禁忌症。
TIPS:
肝硬化患者
对抗凝治疗无反应
非肿瘤性血栓
患有门静脉血栓形成及门静脉高压症并发症的患者
移植手术的受术者
?患有静脉曲张出血患者的一线治疗?
对抗凝治疗无反应
非肿瘤性血栓
患有门静脉血栓形成及门静脉高压症并发症的患者
移植手术的受术者
?患有静脉曲张出血患者的一线治疗?
结论:肝硬化患者中的急性门静脉血栓/肠系膜静脉血栓形成










