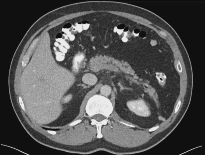
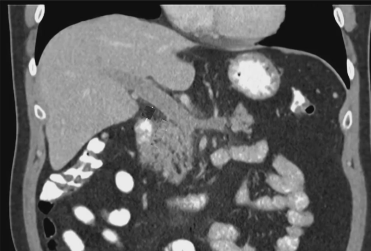
46 岁男性,伴有轻微腹痛和发热症状 诊断出门静脉(PV)和肠系膜上静脉(SMV)存在广泛的、严重的血栓形成。 病史:30 年前因摩托车事故接受脾脏切除手术
抗凝血治疗
全身性或导管导向溶栓疗法(CDT) 经颈静脉取栓术 手术性血栓切除术
治疗
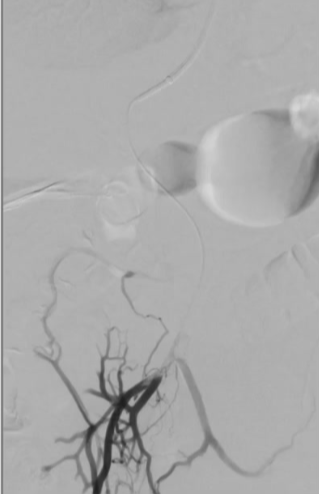
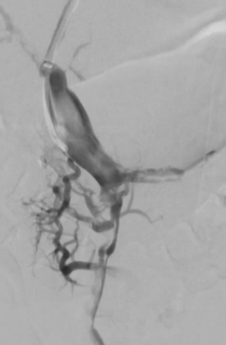
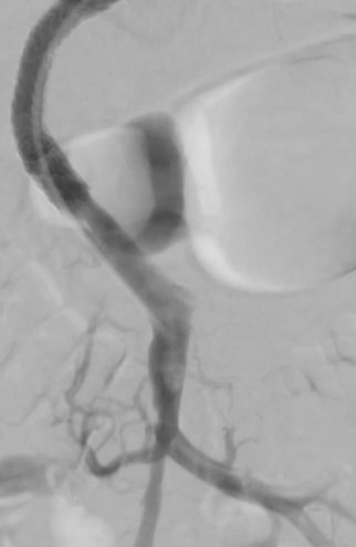
经右侧颈内静脉对肝内门静脉进行穿刺
将 VIATORR CX 型覆膜支架植入体内,以确保能够进入门静脉。 门静脉和肠系膜静脉的血栓清除术 肠系膜静脉中放置带有侧孔的溶栓导管,以处理残留的血栓物质
PVT(门静脉血栓)可能会导致门静脉高压以及侧支循环的形成以及肠道缺血。 抗凝治疗是常规疗法。然而,仅有 39%(6个月内)的患者能够实现门静脉的完全再通。 在血管内治疗技术方面的经验尚显不足,但这类技术确实提供了颇具前景的治疗方案【Pissier 2010】。 TIPS 与血栓切除术及 CDT 结合使用是治疗急性门静脉血栓形成的一种替代疗法,尤其适用于血栓范围广泛的病例。 有必要开展对比不同治疗方法的前瞻性研究,以明确这些方法的益处。 门静脉血栓形成:让“不可能”的经颈静脉肝内门体分流术成为可能……经脾静脉、肠系膜上静脉和肠系膜下静脉 |






