感谢你浏览本栏目,我们要讨论的是经皮活检对儿科肿瘤学有什么价值妈?答案是肯定的。正如你所知道的这种活检的另外一个选择是外科。有许多医院基于多年的偏见,儿科活检依然依赖外科。所以需要你的帮忙,让更多的介入医生了解和学会儿科活检,未来让更多的儿科医生知道有些复杂的临床情况,只需要给介入医生一个电话,毕竟很多儿科肿瘤必须明确诊断,才能指导治疗和估计预后,而活检是不可或缺的。 
 我们先从这个小baby开始。这是一个新生儿,超声偶然发现腹膜后占位病变。乍一看,即使做CT也不能明确诊断 
 患儿需要活检 
 病理诊断神经母细胞瘤 neuroblastoma 从原始神经嵴细胞演化而来,交感神经链、肾上腺髓质是最常见的原发部位。不同年龄、肿瘤发生部位及不同的组织分化程度使其生物特性及临床表现有很大差异,部分可自然消退或转化成良性肿瘤,但另一部分患儿却又十分难治,预后不良。在过去的30年中,婴儿型或早期NB预后有了明显的改善。 也有些大龄晚期患儿预后很差。 在举一个例子,这是一个女婴,出生后6个月,出生后发现腹部膨隆,然后在超声和CT检查发现很大的肿瘤,但仅凭影像学甚至,多个影像学联合诊断,你仍不能明确诊断,很明显为了明确诊断,以指导治疗,女婴需要活检。 
 
 
	活检:肾母细胞瘤 
	
 | 
| 临床特征 | 影像学特征 | 生物学特征 | 
				
  | 
			
				
  | 
			
				
  | 
		
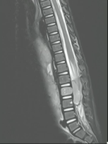
2岁女孩,左腹部病变
				![]()  | 
			
				![]()  | 
			
				![]()  | 
		
| 肺转移 | 椎体转移,脊髓腔内病变 | 
活检:肾母细胞瘤
2岁 女孩,右腹部肿块
				![]()  | 
			
				![]()  | 
			
				![]()  | 
		
| 脊柱两侧病变活检 | 
病理:神经母细胞瘤
3个月大婴儿,右腹部占位
				![]()  | 
		
超声认为肿瘤可能没有侵入到肾
				![]()  | 
			
				![]()  | 
		
CT不认为可以侵入到肾
病理:先天性纤维肉瘤
10岁男孩,腹痛
				![]()  | 
			
				![]()  | 
			
				![]()  | 
		
				![]()  | 
		||
				![]()  | 
			
				![]()  | 
			
				![]()  | 
		
活检:成熟畸胎瘤 导致肾盂漏斗部狭窄
成熟畸胎瘤,也被称为皮样囊肿。属于良性肿瘤。可发生于任何年龄以20-40岁居多
				![]()  | 
			
				![]()  | 
			
				![]()  | 
			
				![]()  | 
		
				![]()  | 
			
				![]()  | 
		||
活检 皮质结缔组织(cortical desmoid),骨皮质硬纤维瘤,纤维骨性病变

        
      































