脾创伤出血栓塞(3)
时间:2025-10-26 18:35来源:www.ynjr.net 作者:杨宁介入医学网
监测 血氧饱和度 SpO2 96%: SpO(血氧饱和度) 是评估身体是否获得足够氧气的第五大生命体征(另外四个是体温、脉搏、呼吸和血压) Hb 12.8 PLT 12.8 CREAT 0.9 考虑 年轻 无共病情况 没有抗凝治疗 左侧先天性单肾
监测
血氧饱和度 SpO2 96%:
SpO₂(血氧饱和度) 是评估身体是否获得足够氧气的第五大生命体征(另外四个是体温、脉搏、呼吸和血压)
Hb 12.8
PLT 12.8
CREAT 0.9
考虑
年轻
无共病情况
没有抗凝治疗
左侧先天性单肾
 |
 |
|
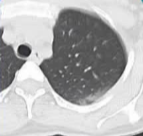
肱骨骨折 |
左侧横突骨折 |

创伤患者的近端和远端脾栓塞
|
类型 |
何时执行 |
治疗目标 |
优势 |
缺点 |
栓塞材料 |
潜在的并发症 |
|
近端栓塞 |
- 多发性损伤 CT 显示撕裂 没有 造影剂外溢 |
脾实质灌注压力下降 |
更短的 操作时间,降低 辐射剂量 |
无法轻易地规划未来栓塞术 |
弹簧栓子和血管塞 |
弹簧栓子移位(<1%) |
|
远端栓塞 |
伴有血管损伤的患者 |
特定受损血管的选择(超选择行) |
选择性栓塞 |
增加操作时间和更大的脾梗塞 |
弹簧栓子和栓塞微粒 |
脾梗死或脾脓肿形成 |
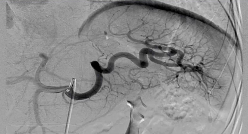
弹簧栓子的位置:胰大动脉和胰背动脉之间
 |
白色细箭头:胰背动脉
白色粗箭头:胰横动脉
短黑箭头:血液流动方向
※:弹簧栓子 |

|
------分隔线----------------------------