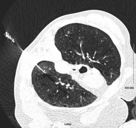
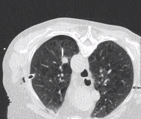
在严重肺气肿患者中预防性胸腔引流插入以促进重复CT引导肺活检 80岁高龄女性慢性阻塞性肺病晚期。左上肺叶针状病变,需活检,支气管镜无法检查。最初经皮CT引导肺活检导致气胸,胸腔引流插入和手术失败。值得注意的是,病人有气胸症状。
随诊影像显示病灶持续,PET/CT无明确结果。计划组织取样以确定治疗方法。由于目标位置和晚期肺气肿,重复气胸的可能性很大。重复经皮活检计划与预防性胸腔引流同时进行。
在手术过程中,CT成像显示,一旦穿刺针穿过胸膜,几乎立即发生气胸。然而,由于有经皮胸腔引流患者无气胸症状,并能忍受手术。手术成功,获得了高质量的病灶核,为病理诊断提供了依据。患者对手术耐受良好,并于摘除引流管后第二天出院。 |







