直肠上动脉(痔)动脉是由肠系膜下动脉发出直肠上动脉
在尸体上的解剖描述
Thompson : 50 observations
Patricio : 30
Shafik : 32
Schuurman : 9
直肠上动脉活体研究还没有得到描述,包括
血流动力学
血管CT,DSA 和 CBCT
60例


Thompson classification
 |
|
Type V :dominante MRA in 10%
|
Thompson WF, The nature of hemorrhoids. Br J Surg 1975; 62: 542-552
I型:equivalent right and left SRA with smaller posterior trunk
 |
|
左右直肠上动脉相等,后干较小 |
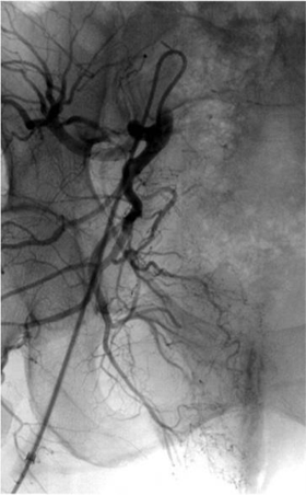
i型 直肠上动脉解剖栓塞
 |
 |
|
I 型 选择性直肠上动脉造影动脉早期 |
I 型 直肠上动脉造影 动脉末期 |
 |
 |
|
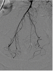
直肠上动脉造影实质期,没有明显异常发现 |
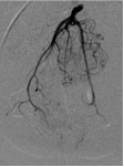
左右直肠上动脉很容易栓塞 |
 |
|
左右直肠上动脉栓塞后造影 |
II 型 直肠上动脉栓塞
III型: 单侧血管化 unilateral vascularization
III 型 直肠上动脉栓塞
IV型 :优势直肠中动脉和对侧直肠上动脉
Type 4 : dominante MRA and controlateral SRA
 |
 |
|
栓塞前,III型? |
栓塞后,VI型! |
V型 直肠上动脉栓塞:双侧直肠中动脉优势
Type 5 : bilaterale dominante MRA
|
分型 |
% |
定义 |
如何治疗 |
图例 |
|
I 型 |
40% |
equivalent right and left SRA with smaller posterior trunk
|
Type 1 : embolization of left and right SRA but not posterior trunk
|
 |
|
II 型 |
20¥ |
equivalent right, left SRA and posterior trunk
|
embolization of SRA and posterior trunk |
 |
|
III 型 |
15% |
unilateral vascularization |
embolization of Unilateral SRA and look for controlateral MRA |
 |
|
IV 型 |
20% |
dominante MRA and controlateral SRA |
embolization of Unilateral SRA and controlateral MRA
|
 |
|
V 型 |
5% |
bilaterale dominante MRA |
双侧优势直肠上动脉栓塞 |
 |
解剖
 |
HEMORRHOIDS = NORMAL TISSUE
痔疮是正常组织
HEMORRHOIDS ≠ VEINES
痔疮不等于静脉
生理上的网络性的复杂结构
静脉腔隙,小动脉
分为内痔和外置
|
|
|
 |
|
HEMORRHOIDS = NORMAL TISSUE |
肛门节制功能 anal continence function
肛门静息压力的20% |
HEMORRHOIDS = NORMAL TISSUE

部分栓塞?Partial embolization ?
 |
 |
|
腹壁下动脉参与供血 |
只栓塞痔动脉,并不意味着完全栓塞 |
目前尚不清楚这种不完全栓塞对痔疮的意义
|