| 经皮CT引导下肺活检是许多医院日常工作,主要并发症包括气胸和肺出血,这两种疾病通常需要很少或不需要进一步治疗。全身动脉系统的空气栓塞则是因为活检过程中空气进入肺静脉,被排出体循环。在最坏的情况下会导致致命的结果,包括冠状动脉栓塞、中风(脑栓塞)和脊髓栓塞。也可以表现为精神状态的突然变化或反应迟钝。文献报道,其发病率很低,在0.001%至0.003%之间【Tomiyama 2006;Hare 2011】。据统计,虽然大多数肺活检医生从不必处理这种复杂并发症。但最近报告这种并发症发生率并不低,约3.8%【Freund 2012】。并发症发生率的不同取决于活检后是否立即进行全身CT扫描【Ibukuro 2009】。空气栓塞还没有得到足够的重视。
全身空气栓塞的危险因素文献广泛进行了推测、假设和报道;这些因素包括同轴活检系统的使用、活检的次数、通过通气肺较长距离的针径、在手术过程中咳嗽、正压通气、病变位于肺下叶或肺下部分、病变位于左心房以上水平、血管炎以及小的或空洞性病变,这些病变有些是可影响甚至可以避免的,有些则是不可避免的【Hare 2011;Kiraki 2007】。
空气栓塞的诊断是基于临床表现(神经和心脏的症状等)这也是无症状患者可能低估其发病率的原因。及时认识和警醒全身空气栓塞(SAE),及时治疗,可避免经皮肺活检的死亡或严重并发症。
俯卧位作为一个真正的影响因素被认为是一个危险因素[【Freund 2012】,但从未在文献综述中系统地评估过。
这种并发症的严重性使我们应该考虑提高经皮肺活检的安全性的方法。本栏目的撰写提出消除空气栓塞的一个主要机制的技术解决方案。
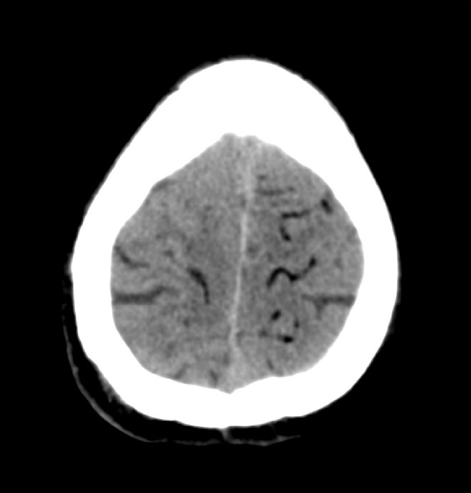
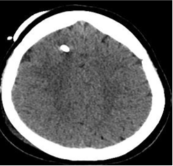
sealing of needle track 是预防空气栓塞的措施。57岁上肺空洞病变。临床结核检查阴性。内镜检查既没显示结核,也没发现肿瘤。病灶对侧侧卧位,CT引导下17/18G 同轴活检,不同方向取样4次。活检期间患者咳嗽一次。术后CT扫描,未发现气胸,出血并发症。患者恢复仰卧位,移位到运转平车上。患者突然昏迷,立即进行头颅CT平扫显示脑气栓。立即气管插管和正压通气,Trendelenburg 位。尽可能长的在CT床上胸部对照CT扫描,除外左心或升主动脉气栓。
后患者去高压氧治疗,5天后CT扫描正常,没有脑缺血表现。患者没有任何主诉。但神经科检查,仍存在右侧轻度锥体束综合征。肺活检结果为炎症,没有发现肿瘤。18天后患者出院。 总结这个病例,至少可以指出四个由CT引导的肺活检引起空气栓塞的危险因素: 1. 空洞性病变, 2. 手术过程中咳嗽 4. 病变位置高于左心房水平 4. 以传统方式使用同轴针,即多次打开外部套管与大气接触。 文献上关于空气栓塞的潜在危险总结如下 【Mansour 2005;Rott 2014】
Glodny 总结全身空气栓塞的危险因素
空气栓塞发生有两种主要的理论假设
因此,文献中提出的预防空气栓塞的策略是当内针被拔出时,外针(引导针)一旦暴露在大气压时
1.立即向针内滴盐水 saline drop into needle
2.用内针或锥形针帽阻塞引导针的针道 occlusion biopsy tract with insert inner stylet,cap needle conus
全身空气栓塞的机理还有三机理说,四机理说
“when performing the coaxial technique, never leave the outer cannula inside the patient without the inner stylet” 【Tsai 2009】
23例中有19例(82,6%)发生于俯卧位,俯卧位在单因素和多因素分析中均为空气栓塞的显著危险因素【Freund 2012】,因此,Freund 建议在CT引导下肺活检时避免俯卧位。Consequently, Freund recommends avoiding prone position in CT-guided lung biopsy.
What to do?
稳定患者 Stabilize the patient
重复CT扫描 Repeat CT scan
空气栓塞的机制
病变位置越低,肺动脉压(PAP)越有可能大于肺静脉压(PVP),而PVP又大于肺泡压。在3区域压力条件下进行活检【West JB 1964】可能是预防系统性空气栓塞的实际线索 全身性空气栓塞的治疗选择
The right lateral decubitus position traps air(气泡) in the non dependent left ventricle, away from the left ventricular outflow tract
活检时昏迷指数下降,胸痛,面部下垂,癫痫发作提示空气栓塞,一但怀疑空气栓塞,呼叫心脏骤停抢救小组,同时应将患者置于左侧卧位,头低脚高。这样做的目的,是由于空气栓子较血液轻,通过这种体位尽可能的将其困与右心,使其不易进入肺循环。肝素化和100%氧气吸入。持续血压和心脏监护。与高压氧舱单元联系。CT brain and thorax in right lateral decubitus position
Durant's 动作是在静脉空气栓塞的情况下让病人保持左侧卧位,以防止肺静脉空气栓塞在肺部停留。 他在1947年发表了一篇具有里程碑意义的论文,通过对狗的实验证明了它的有效性!
36岁,Chron‘病 和何杰金氏病,同种异体移植,发现右上肺结节,怀疑淋巴瘤复发(replapse)
我们的行动: Our actions:
在ICU In the ICU:
Hare等算法【Hare 2011】的使用实现了快速诊断,加快了决策治疗过程。这是单一案例;然而,由于SAE的罕见性及其危及生命的特点,它更重要。事实上,大多数SAE报告描述了心脏和呼吸道症状【Fiore 2017】,而只有少数报告描述了神经系统表现。
Kim【Kim 2013】等人报道,即使是简单的针插入胸壁,也会导致空气通过肺静脉循环,刺穿肺实质可能不是SAE 的唯一危险操作【Kim 2013】。作者的治疗过程偏离了以前的标准治疗的建议,因为作者的医院没有高压氧腔,从未治疗过SAE。
空气栓塞还可以表现为脊髓暂短性缺血导致的四肢瘫痪。
68岁,男,部分实性右上肺叶病变活检,18gx12cm芯针。操作过程保持侧卧位
• 拔针后患者起身发现四肢瘫痪了
• 2小时后症状自行消失
• 未进行特殊处理
• 颈椎磁共振-揭示病理性改变
• 基于临床资料诊断颈椎短暂性缺血发作
事后分析
针直接穿过小肺静脉 Needle directly crossed small pulmonary vein
空气栓塞是肺活检的罕见而严重的并发症。在文献中,病例描述了这种情况,他们都导致脑卒中【Assaly 2010;Um 2010;Tomabechi 2008;Sandoval 2015】。所有病例均采用仰卧位或俯卧位进行活检,这些作者均未报道可见肺静脉穿刺,我们认为这是空气栓塞的直接原因。
在肺活检经验中,作者注意到另外两例空气栓塞合并脑卒中的后遗症。两种手术均采用仰卧位或俯卧位。我们可以得出结论,在平卧位时,气泡可以重力性地转移到椎动脉和脊髓前动脉,引起脊髓卒中。
| ||||||||||||||||||||||||||||||||||||||||||||||||||||||||||||||||||||||||||||||||||||||||||||





















































