活检是活体组织检查的简称,是指通过影像引导下的经皮穿刺、各种内镜引导下钳取和直接外科手术获取患者的病理组织对疾病做出最后的临床诊断,同时指导治疗和评估预后,在特定的条件下病理学的检查可以对疗效进行评估。
一个理想的活检 是有针对性的解决临床问题。同时也没有伤害到病人(On target & solves the clinical questionwithout harm to the patient )就是说技术成功率要在99.8%,临床成功率如下
|
On target & solves the clinical question
|
without harm to the patient
|
 |
 |
Complications excl. pneumothorax 的情况下
活动性出血/血肿
疼痛
感觉缺失(hypesthesia,mostly due to LA-局麻) |
|
Pradella M,…Zech CJ 2014, CT-guided biopsies, CIRSE |
一个理想活检还应包括
-
患者充分的术前准备,疼痛处理,凝血检查以及充分解释后的患者知情同意书签署
-
与相关科室临床医生的讨论包括合适的靶病变选择以及方法
-
选择影像引导的手段
-
选择穿刺针的种类
什么是选择适合的靶病变
-
选择最具活性的病变组织,这通常意味着增强的病变和FDG高代谢病变,穿刺容易到达的病变
-
了解活检的临床问题,尽管活检的目的是明确诊断,还包括指导治疗,要有充分的标本进行分子检测和免疫表达。有时则是因为鉴别诊断,即在获取组织学样本同时获取生物源性培养,甚至是下一代基因测序,鉴别靶病变究竟是肿瘤还是感染性病变。
-
选择进针路径,有时要考虑随后外科手术针道切除性
什么是容易到达的病变(easiest reachable target)和合适的病变(appropriate target)
患者怀疑骨转移性病变,需要原发病变的诊断
 |
 |
|
Easy reachable appropriate
|
Easy reachable appropriate |
 |
 |
|
Easy reachable appropriate |
Soft tissue core revealed focal plasma-cell neoplasia
|
选择活检的路径 Selection of biopsy route
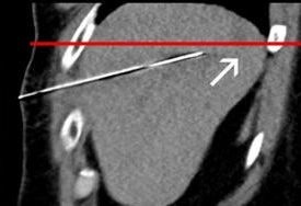
有肱骨高级别软组织肉瘤病史的患者
 |
 |
|
骨科医生会通过外侧通路进行切除 活检系统获取2个软组织样本。 |
DX:性质不明的粘液样梭状增生 |
选择影像学引导手段
选择超声前的要点
 |
|
• 软组织表浅病变,Superficial soft tissue lesions (LN etc)
• CT平片没有发现病变位置 Not visible in plain CT
• 活检平面多变(不稳定)Arbitrary biopsy plane
|
 |
 |
|
T细胞淋巴瘤 |
选择CT的要点
-
长针道 Long needle tracts
-
针道控制良好 Good control of the needle tract
-
超声不可见病变(骨,肺)Poor visualization of target
-
超声入路长,不可见 Long needle tracts
激光导航下CT引导穿刺活检

选择穿刺系统-抽吸 aspiration

• 通常是18或20G的空心细针
• 从软组织病变中抽取单细胞
• 体液吸出,如腹水或胸腔积液
• 细胞标本的评估需要在有丰富的经验细胞病理实验室
• 具有FNAB优秀结果的出版物有室内细胞学实验室
|
 |
|
|
|
 |
 |
|
电动 |
锤子 hammer |
 |
 |
 |
 |
|
腺癌:乳腺癌骨转移,无激素受体表达 |
腺癌:乳腺癌骨转移,有雌激素受体表达 |
 |
 |
|
手动 |
• 大口径针(>14G),带套管针,用于骨进入
• 进入骨头后,将空心针或专用活检针钻入骨头
• 提取时,标本留在空心针内,可将其推出
|
 |
 |
|
腺癌骨转移,最可能结肠癌 |
|
选择活检系统 TruCut side Notch
 |
 |
 |
|
Fully automatic
|
Semi automatic
|
 |
用特殊的半自动或自动活检系统收集组织核心,针系统直径为16、18或20G,适合软组织肿块的核心活检。标本用福尔马林固定,并包埋(embedded)和染色,用于组织病理分析 |
活检系统的选择 end cut type
这种针有更好的组织保存和获取更多的材料【 Constatin 2010】。在侧切槽活检后,发现材料较软/取样不足时,用end-cut type穿刺针有帮助
在实践中,通常使用17/18G侧缺口针。如果需要更多的组织,则使用17/18G端切针(而不是15/16G侧切针)。
左侧内收肌恶性滑膜肉瘤
联合骨组织/软组织活检
 |
 |
|
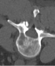
椎体破坏 |
局麻 |
 |
 |
|
14G骨入路 |
16G TruCut 活检针:Osteolytic bone metastasis from urothel carcinoma |
合适的标本处理
 |
|
14/15G 骨活检,细菌培养 |
Specimen for Microbiology: No germs, no bacterial DNA
Specimen for Histology: Metastasis of breast cancer
• 超声或CT引导下的活检是安全有效的腹部组织取样技术
• 活检过程控制良好,准确性高,并发症发生率低(很少术后出血,有时疼痛)
• 几乎可以到达身体的每一个结构
进行理想的活检:正确地计划你的操作程序(临床问题,靶点选择,活检路径,活检系统的选择,样本处理)
本栏目主要介绍经皮穿刺活检的相关内容。也是临床最常用的活检方法。对于可考虑行活检的特定解剖部位、其技术、潜在并发症和结果是不同的,比如胸部活检,肝部活检,肾活检等等,本站在相关解剖系统分类中分别详细阐述其细节 |