获得高质量动脉图像 远端栓塞 选择最好的路径 共轴导管应用 栓塞材料的选择血管造影处理 结论
返回首页

下消化道出血栓塞技术:血管造影的处理

时间:2020-11-10 23:57来源:未知 作者:Mr.Editor
结肠 Colonic 通常是憩室 Usually diverticular 空肠和回肠 血管造影对于病因的诊断可能并不明显Underlying diagnosis may not be apparent on angiography 虽然栓塞可能成功地控制出血,但重要的是随后的检查以确定病因 Whilst embolization may successful

结肠 Colonic

  • 通常是憩室 Usually diverticular
     

空肠和回肠

  • 血管造影对于病因的诊断可能并不明显 Underlying diagnosis may not be apparent on angiography
  • 虽然栓塞可能成功地控制出血,但重要的是随后的检查以确定病因 Whilst embolization may successfully control bleeding it is important to determine cause with subsequent investigations


   



   


   

 
   

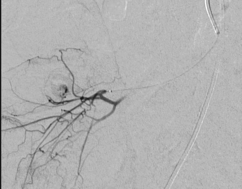
单来源出血 Single point source of bleeding

  • 常见 Most common finding

多来源出血 Multiple point sources

 

  • 少见 Less common
  • 每个出血点尽可能分别栓塞 Each source should be embolized as selectively as possible
  • 不要试图近端栓塞 Do not be tempted to embolize more proximally

   



   


   


   


   

顶一下
(2)
100%
踩一下
(0)
0%
------分隔线----------------------------
  • 上一篇:没有了
  • 下一篇:没有了
推荐内容