理想的技术(Optimal Technique)诊断和下消化道出血的栓塞需要高质量的血管造影图像显示清晰的解剖轮廓,做到
Proper rate to fill vessel without inflow 合适的注射速率充盈血管
充足的容量能够发现造影剂外溢 (通常4-5秒)Adequate volume to be able to identify extravasation (usually 4-5 seconds)
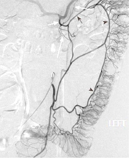
肠系膜上造影
投照没有足够低的中心 Failing to Center Low Enough
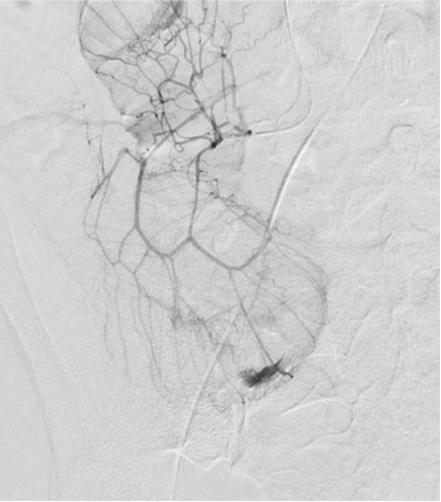
Value of Selective Injection
Value of Selective Injection
| ||||||||||||||||||||||||||||||||||||||



















