根据出血严重程度、血流动力学状态以及诊断时机来分层处理消化道出血的核心策略。
这是一种典型的阶梯式或分流式临床决策逻辑。结合我们之前讨论的所有内容(内镜、CT血管成像、血管造影),我将其解读并扩展如下: 1. 微量出血 (Minor bleeding) —— 保守治疗定义:通常指粪便潜血阳性,或偶尔有少量便血/黑便,但血流动力学稳定,无贫血或仅有轻度贫血。处理:Conservative(保守治疗) 这通常包括观察、饮食调整、使用止血药物(如需要)、以及针对病因的药物治疗(如痔疮栓剂、治疗便秘等)。 此类情况通常不需要紧急住院或急诊内镜干预。 2. 慢性低度出血 (Chronic low-grade bleeding) —— 内镜定义:指长期、间歇性的肉眼血便或持续潜血阳性,通常伴有慢性缺铁性贫血,但无急性血流动力学紊乱。处理:Endoscopy(内镜) o结肠镜是首选,用于排查肿瘤、息肉、炎症性肠病、血管发育不良等慢性出血病因。 o胃镜用于排查上消化道来源(如溃疡、胃糜烂、肿瘤)。 o这类检查通常是择期进行的,可以在充分的肠道准备和优化患者条件后进行,以获得最佳的诊断率和治疗机会(如息肉切除)。 3. 严重出血 — 稳定患者 —— CT定义:患者存在明显的活动性出血(如大量便血或呕血),但血流动力学稳定(血压、心率维持在正常范围,无休克表现)。处理:CT(即CT血管成像,CTA) o目的:快速定位出血点。 o逻辑:对于严重但稳定的患者,急诊结肠镜往往因为视野不清或肠道准备不充分而难以进行。CT血管成像可以快速完成(数分钟),能清晰显示造影剂外溢的位置(阳性结果),为后续的靶向治疗(定向血管栓塞或定向内镜)提供精确的解剖学定位。 o结果解读: §Positive CT – Active Bleeding:如果CT显示活动性出血,则可直接送入介入室进行血管造影+栓塞,或引导内镜精准止血。 4. 严重出血 — 不稳定患者 —— 血管造影定义:患者存在大量活动性出血,且伴有血流动力学不稳定(低血压、心动过速、休克、需要大量输血)。处理:Angiography(血管造影)
o目的:既是诊断手段,也是治疗手段(栓塞)。
o操作:血管造影可以直接显示出血血管并进行超选择性栓塞,迅速阻断血流,达到止血目的。这是稳定危重患者生命体征的最快介入手段。o逻辑:这类患者无法耐受耗时的肠道准备(结肠镜),也无法安全地转运至CT室进行扫描(或者在CT室发生意外风险高)。通常由急诊直接送入介入放射科或杂交手术室。 总结:决策流程图结合你提供的这四点,可以构建出以下清晰的决策树:![]() 关键补充1. CT血管成像的桥梁作用:你提到的“Severe bleeding stable patients > CT”在现代急诊处理中非常关键。它弥补了结肠镜在急诊状态下的局限性(视野差、准备慢),成为了连接急诊室与介入/手术室的高效桥梁。2. 不稳定患者的直接介入:对于“Severe bleeding unstable patients”,血管造影跳过了CT和内镜,直接进入治疗环节,体现了“Damage Control”(损伤控制)的原则——先止血,再明确病因。 3. 内镜的定位:内镜(结肠镜)主要服务于慢性低度出血(择期精准治疗)和部分严重但视野清晰的病例,但它不再是所有严重出血的“必经之路”。 这种分层策略可以最大限度地保证患者安全(避免不稳定患者进行风险较高的内镜检查),同时提高诊断效率(利用CT快速定位)。如果你需要,我可以将这个策略与你之前整理的“急诊结肠镜表格数据”结合起来,形成一个更完整的临床参考。 Optical Colonoscopy赞成 PROS:
缺点 CONS:
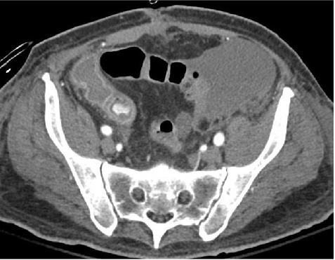
Multidetector CT (MDCT)
MDCT: Imaging Technique
MDCT: Findings on Acute GI Bleeding
99m Tc-labeled red blood cells
DSA (cone beam CT, automatic vessel detection software)EnteroscopyVideocapsule endoscopy
隐匿性消化道出血的金标准 Gold standard for Obscure GI Bleeding
结论✔ 急性上消化道出血,首先是胃镜(Acute UGIB: endoscopy first)
✔ 急性下消化道出血,MDCT优先(尽管没有指南)Acute LGIB: MDCT first (no guidelines yet)
✔ 没有肠道准备的结肠镜没用或没可能 (Colonoscopy without bowel preparation is not useful or possible)
✔ DSA之前 增强CT(Multiphase MDCT without oral contrast always before DSA)
✔ 下消化道出血栓塞和外科治疗是针对靶向目标治疗 (LGIB embolization and surgery are target therapies)
✔ 危及生命的下消化道出血栓塞优先选择(Embolization is the first option for life threatening LGIB)
.
✔ 阳性CT表现,不足以表明适合下消化道出血的栓塞治疗 (A positive MDCT is not enough to indicate a LGIB embolization)
无论如何高质量动脉造影图像(DSA)的获取是下消化道出血栓塞的关键因素▲ 导管位置固定 Have catheter well seated,在注射造影剂情况下,有时导管会向后撤 ▲ 注射足够的造影剂 Inject enough contrast
▲ 胰高血糖素Glucagon或 654-2 抑制肠蠕动(bowel paralysis)
▲ 憋气 , breath holding,
▲ 肠内内充气 air infufflation
▲ 确定解剖部位全覆盖 Make sure to cover the anatomic distribution,小一点的影像增强器可能不能全覆盖,降低管球或多次采集摄影
不能全覆盖 failure to cover full extent of artery)
中心太靠上 Failing to Center Low Enough
▲ 选择性血管分支注射 Inject selectively,例如肠系膜分支的选择性造影可以提高阳性率
选择性分支注射的价值(1)
选择性分支注射的价值(1)
▲ 如果出血没有发现再注射 Re-inject if bleeding not seen initially
▲ 使用短促呼吸 Use breathing runs (不能憋气者)
▲ 先肠系膜下动脉,再肠系膜上动脉,避免肾盂或膀胱显影影像观察
▲ 全麻下停呼吸,如果可能的话,最好
肠蠕动抑制,高质量的血管造影
结肠内内充气 air infufflation
|

















