Cone-beam (CB)-CT and GIH CTA的动脉期和静脉期
患者正在出血
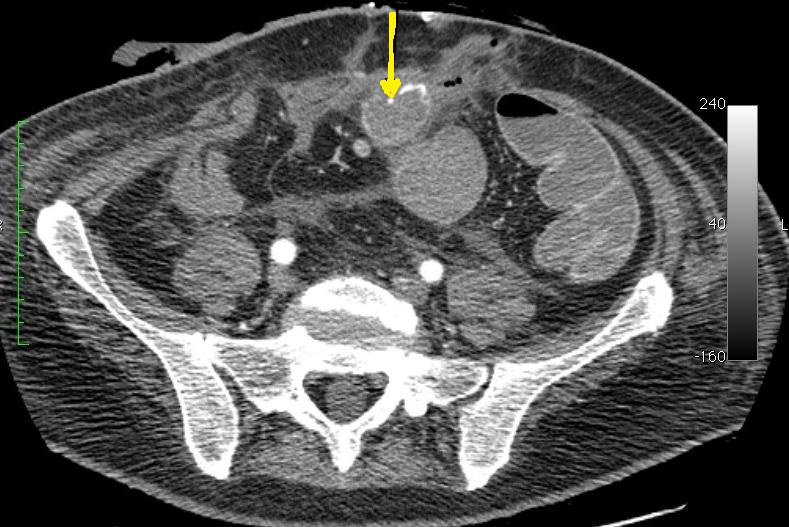
GIH how can we use it? • 非增强CB-CT= CTA或动脉造影后期进行扫描 ( “non-enhanced” CB-CT = late scan after CTA or arteriography) • 半增强CB-CT = 动脉造影后早期惊醒扫描(“semi-enhanced”CB-CT = early scan after ia angiogram) • 真增强CB-CT= 导管动脉内注射造影剂的期间,进行CT扫描(“true enhanced”CB-CT = during transcatheter ia contrast medium injection) 经动脉注射的“真增强”CB-CT是临床经常用到的。经肠系膜动脉或腹腔动脉注射造影剂可以发现活动性出血(造影剂外溢)、和出血的位置。可以追踪到责任血管进行栓塞治疗
angio + axial MPR of ia enhanced Cone-Beam CT
![]() 结语(final remarks):
|

















