腹部实性脏器损伤出血栓塞 盆腔骨折出血的栓塞创伤导致血管损伤 腹膜后出血
返回首页

创伤导致的血管损伤

时间:2021-04-27 21:59来源:www.ynjr.net 作者:杨宁介入医学网
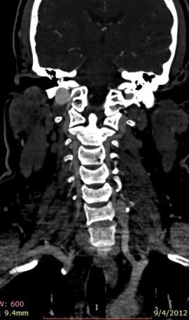
创伤除了全身反应外,主要导致局部实质脏器出血、骨盆骨折出血以及创伤导致的血管损伤出血。血管损伤除了急性出血也导致慢性损伤。创伤后动静脉瘘就是其中之一 男40,近期颈部锐器伤后,2周来左侧颈部进行性肿胀。 增强CT,轴位显示椎动脉与颈内静脉瘘 CT增

创伤除了全身反应外,主要导致局部实质脏器出血、骨盆骨折出血以及创伤导致的血管损伤出血。血管损伤除了急性出血也导致慢性损伤。创伤后动静脉瘘就是其中之一

男40,近期颈部锐器伤后,2周来左侧颈部进行性肿胀。

增强CT,轴位显示椎动脉与颈内静脉瘘

   
   


CT增强,矢状位,假性动脉瘤与扩张的左颈静脉交通的位置
     


冠状位增强,2D和3D,显示左椎动脉形成,可区别为什么不是颈内动脉与颈内静脉的动静脉瘘
     


顶一下
(5)
100%
踩一下
(0)
0%
------分隔线----------------------------
推荐内容