下消化道出血使用微粒栓塞,主要是微导管达不到释放弹簧栓子的位置,不得已根据血流导向和有限度渗透(with limited penetration)阻塞直动脉(vasa recta) 范围较小(limited penetration))出血部位的直小动脉血流导向(微导管不能到达),但栓塞剂的渗透是有限的。此时可考虑
particlesfor embo of lower GIH
• 粒子大小 size of PVA
•150-250μ (controversial! 300-500μ, or >)
• 稀释 dilutePVA
• with 20cc contrast + 20cc saline
• 粒子注射 inject slowly and very smallamounts
• 微导管死腔是 (0.1cc) cave! death space of the microcath
• 控制性间断注射 make intermediate controles,往往意味着含有造影剂的微粒刚刚开始在微导管头显示,就用盐水冲洗,然后重复直到靶血管造影剂停滞。
微粒的准备(preparation of the particles) PVA: 一瓶PVA 用20毫升造影剂+20毫升盐水,共40毫升稀释。注射时用一毫升注射器,抽出0.2cc该混合液,进行出血相关直小动脉(vasa recta)注射。明胶海绵的准备类似PVA。需要注意的是校准微球,渗透到血管末梢的可能性大,过度注射时容易造成肠道坏死。 使用微粒的决定取决于:
出血来自粘膜下“弓”(mural arc)
弹簧栓子释放可能形成侧支循环出血
PVA 栓塞的大小150~250μm 之间(>300μm有争论),需要用造影剂+盐水稀释。以非常少的量(0.1cc)和非常缓慢地注射已经非常稀释的PVA混合液。注意微导管的死腔(death space)。 注射需要间断观察对照(intermediate controls) 在大多数情况下,栓塞剂的选择取决于微导管的位置。考虑到回流/逆向血流重建的危险一般栓塞材料的选择 Coil >>PVA>Glue 换句话说 首先选择 = Coil (但是需要检查 “后门”-colleteral circulation) 第二选择 = PVA (200μm, 低容量,0.1~0.5cc) 第三选择 = Glue (如果这是仅有的方法接近“后门”) 还要考虑肠缺血的危险 直肠出血 ![]()
如果微导管不能到达出血病变处,可以考虑用微粒栓塞,如PVA
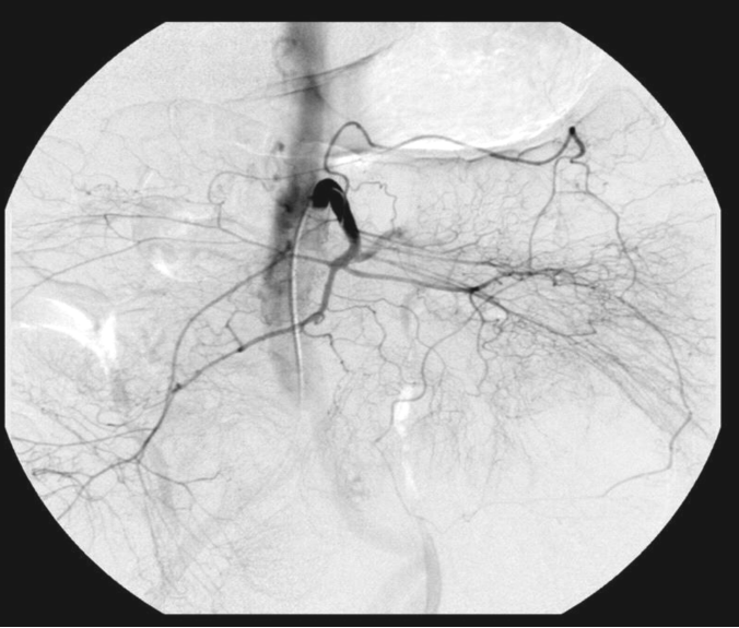
79岁 柏油样便,Hb急速下降;胃镜及结肠镜没能诊断;增强CT提示回肠造影剂外溢 ![]() SMA DSA (6ml/sec, 80ml) 微导管达不到理想的位置
微粒栓塞
术后生命体征开始稳定,但仍然间断出血,最终决定手术
78岁,急性下消化道出血,直接进导管室
患者需要进行危险的外壳手术吗?
PVA栓塞
| |||||||||||||||||||||||||||||||||||||||||||||||||||||||||||||||||||||||||||||||





























