弹簧栓子的选择取决于1. 微导管距离出血的距离和上消化道出血的栓塞不一样,上消化道出血是出血血管的两端栓塞,栓塞的选择性并非关键。如上消化道出血甚至可以 盲栓(blind embolization)胃十二指肠和胃左动脉
下消化道出血仅仅需要选择栓塞终末支,关键是超选择。
弹簧栓子的应用取决于微导管可以达到的位置 position of the microcatheter即微导管头距出血点距离。
在肠系膜动脉微导管的位置可以:微导管近端肠系膜:起始动脉至倒数第一弓 first to last-but-one arc
微导管末端末端肠系膜 最后的肠系膜动脉弓 distally: the “last” mesenteric arc
- between middle and left colonic artery= marginal artery of Drummond 边缘动脉
微导管在肠壁直动脉 in the bowel wall (vas rectum, straight artery) 肠壁直动脉
微导管在近弓位置 Position of the microcatheter in the proximal arcs
no “good” indication for coils because of collateral supply
微导管位置在末梢动脉 Position of the microcatheter in the distal arc/ marginal artery
最后的肠系膜“弓”
should be a good position:
1. to lower blood pressure and enable clot formation
2. risk of back flow via vasa recta arcs is lower
微导管在肠壁直动脉 in the bowel wall (vas rectum, straight artery) 肠壁直动脉
Best position
Position of the microcatheter in the vasa recta
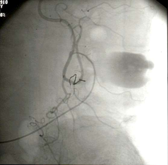
详见《远端栓塞》 2. 血管直径下消化道出血弹簧栓子的栓塞除了取决于微导管距出血点的距离,也取决于出血靶血管的直径。弹簧栓子(coil)在直小动脉内不可能被“卷”起来。![]() 通常适合直小动脉栓塞的弹簧栓子像上图这个,但据知中国市场无货,所以需要选择最短长度的微弹簧栓子,至少有一端在直小动脉内。 直动脉栓塞
3. 侧支循环微导管头位置与出血点之间不应有侧支血管4. 花费 对费用敏感的患者尽量不用价格昂贵的弹簧栓子 ![]()
2. 在肠壁(vasa recta),弹簧栓子最好的位置
下消化道出血,微弹簧栓子直小动脉栓塞
乙状结肠出血:超越边缘动脉栓塞
结肠脾曲:癌出血(姑息性栓塞)
如果微导管超选择太接近肠腔,可能导致被释放的微弹簧栓子立刻或以后进入到肠腔导致出血复发。将微导管后撤,直到看清血管结构再栓塞。但微导管向后过多,或释放弹簧栓子时向后“跳”,就失去弹簧栓子与出血位置的接触,栓塞失败。 栓塞分类 ![]()
|






































