病例1
时间:2022-03-07 09:39来源:www.ynjr.net 作者:杨宁介入医学网
Detailed case study from Oxford67 yr old femaleAdenoca of rectosigmoid 2004; Anterior Resection Dukes B pT3 pN1 R0 V0RUQ pain Dec 09: CT scan showed R lobe liver metastases and small pulmonary nodulesPET-CT: FDG avid lesions R Lobe liver;
来自牛津的病例详细的案例研究
67岁女性,直肠乙状结肠腺癌;
前切口切除,Dukes’B – PT3 PN1 R0 V0
Dukes分期
|
分期 |
亚分期 |
描述 |
|
I 期(Dukes A期) |
A0期 |
癌局限于粘膜 |
|
|
A1期 |
癌局限于粘膜下层 |
|
|
A2期 |
癌侵及肠壁肌层未穿透浆膜 |
|
Ⅱ期(Dukes B期) |
|
病变侵及浆膜,或周围组织和器官,但尚可一并切除 |
|
Ⅲ期(Dukes C期) |
C1期 |
伴病灶附近淋巴转移(指肠壁旁或边缘血管旁淋巴结转移) |
|
|
C2期 |
伴供应血管和系膜切缘附近的淋巴结转移 |
|
Ⅳ期(Dukes D期) |
D1期 |
伴远处脏器转移(如肝、肺、骨、脑等处转移)。 |
|
|
D2期 |
伴远处淋巴转移(如锁骨上淋巴结转移等),或供应血管根部
淋巴结广泛转移无法全部切除者 |
|
|
D3期 |
伴腹膜广泛扩散,无法全部切除者 |
|
|
D4期 |
病变已广泛浸润邻近器官无法切除者 |
|
I~III期 |
原发肿瘤(T)分期 |
Tx |
原发肿瘤无法评估 |
|
T0 |
没有原发肿瘤的证据 |
|
Tis |
原位癌:上皮内癌或粘膜内癌未穿透粘膜肌层而达粘膜下层 |
|
T1 |
肿瘤侵及粘膜下层 |
|
T2 |
肿瘤侵及肠壁固有肌层 |
|
T3 |
肿瘤侵透固有肌层并侵达浆膜下,或原发病灶位于无浆膜层的结肠、直肠时、肿瘤已侵达结肠旁或直肠旁组织 |
|
T4 |
肿瘤已穿透腹膜或直接侵入其他脏器* |
|
注:* 如肿瘤和其他脏器(包括其他结肠和直肠段)发生粘连为T4;如粘连处镜下检查未发现肿瘤细胞为pT3;血管(vascular)和淋巴管(lymphatic)侵润可使用V和L注明) |
|
IV期 |
淋巴结转移(N)分期 |
Nx |
区域淋巴结无法评估 |
|
N0 |
区域淋巴结无转移 |
|
N1 |
1~3个区域淋巴结转移。第7版中有关pN1(1~3枚区域淋巴结转移)与pN2(³ 4枚区域淋巴结转移)的概念与第6版相同。只是各自又细分为a、b两个亚组 |
|
N2 |
≥4个区域淋巴结转移 |
|
远处转移(M)分期 |
M0 |
无远处转移 |
|
M1 |
有远处转移 |
肿瘤根治术因其区域淋巴结清除的范围不同,分为不同的四种:
|
R0 |
未将第一站淋巴结完全清除的术式 |
|
R1 |
将第一站淋巴结完全清除的术式 |
|
R2 |
清除全部第二站淋巴结的术式 |
|
R3 |
第三站淋巴结清除的术式 |
根据淋巴结转移程度与淋巴结清除范围的关系区分绝对根治与相对根治。绝对根治是指淋巴结清除超越转移淋巴结第一站以上,否则就是相对根治。如第一站淋巴结有转移,施行R2或R3根治属于绝对根治;如仅作R1手术,虽然临床上也无残存转移淋巴结,但只能认为是相对根治。
|
R0 |
为切除后显微镜下无残留 |
|
R1 |
为显微镜下有残留 |
|
R2 |
为肉眼可见有肿瘤残留 |
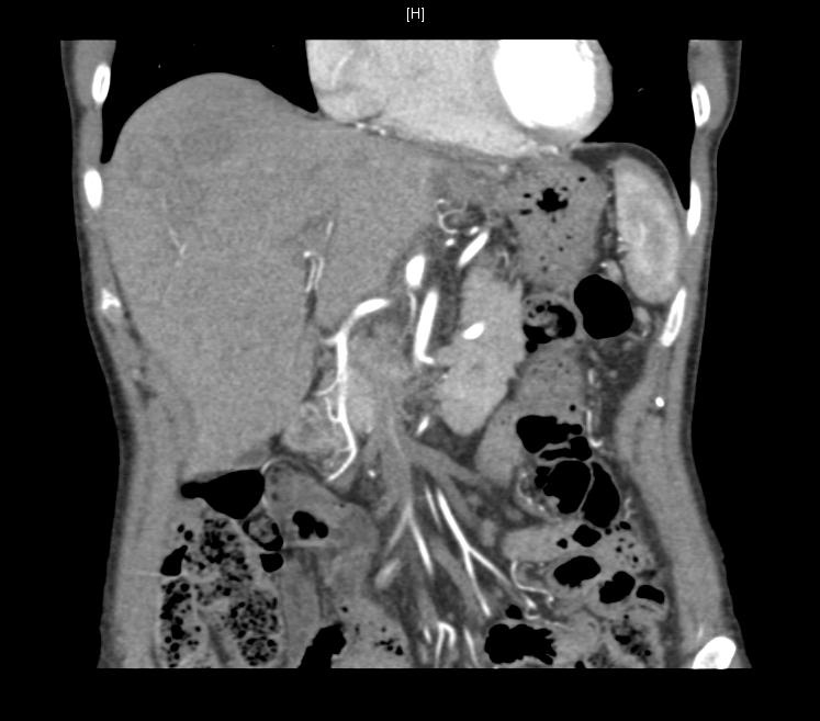
CT扫描显示肝叶转移和肺小结节病灶
FDG PET-CT,右肝叶高代谢结节,及7 mm的高代谢肺结节,两个4毫米非高代谢的结节(不确定)
开始FOLFIRI 化疗+西妥昔单抗,起初2个月呈微小反应,4个月疾病进展。
Disease status post-FOLFIRI+cetuximab
病变不可手术,非消融病变,肝转移性疾病体积适中,,病变虽经一线化疗,包括生物制剂继续进展
 |
 |
|
Borderline volume post-chemo left lobe |
化疗后左叶容积 |
FOLFOX Chemo + RE 方案
 |
l-LV mg/m²; 5-FU mg/m² oxaliplatin mg/m² SIR-Spheres
Sharma RA et al. J Clin Oncol25: 1099-1106, 2007 |
Static Bremsstrahlung post-RE
 |
 |
|
术前 |
术后 |
轫致辐射(bremsstrahlung):快速电子通过物质时,在原子核电场作用下,改变运动方向,急剧减低速度,电子的一部分或全部动能转化为连续能量的X 射线发射出来,这种现象称为轫致辐射。其实质就是连续X射线的发生机制。
SPECT-CT Post-RE
CT scan pre-and 3 months post-RE
PET scan pre-and 3 months post-RE
Reduction in TOTAL liver volume
25% increase in volume of left side of liver
CT scan 3 months post-hepatectomy
切除后标本
Three lung metastases
 |
|
3个肺结节肺结节 |
SIR-Spherescan down-size inoperable disease to either resection or ablation
|
Investigator |
n |
Tx |
line |
#Outcomes |
Tumour Type(s) |
|
Whitney |
44‡ |
SIR-Spheres† |
2nd–4th |
4 R02 |
CRC; OeC |
|
Hoffmann |
46‡ |
SIR-Spheres† |
salvage |
5 RF |
3BrC; CRC; PaC |
|
Gray |
36 |
SIR-Spheres†+HAC |
1st |
1 R0 |
mCRC |
|
Sharma |
20 |
SIR-Spheres†+ FOLFOX |
1st |
2 [+1] R0 |
mCRC |
|
Sangro |
23‡ |
SIR-Spheres† cons. |
1st |
3 R0 +RF |
mCRC |
|
Chua |
1‡ |
SIR-Spheres† cons. |
1st |
1 R0 |
mCRC |
|
Lim |
30 |
SIR-Spheres†+ 5FU |
2nd–4th |
1 R0 |
mCRC |
|
Wasan |
32‡ |
SIR-Spheres†+ FOLFOX |
salvage |
1 R0, 3 R1/2 |
mCRC |
|
Van den Eynde/
Hendlisz
|
21 |
SIR-Spheres†+ 5FU |
salvage |
1 R0 |
mCRC |
|
Cosimelli |
50 |
SIR-Spheres† |
salvage |
2 R0 |
mCRC |
|
Siddiqi |
1‡ |
SIR-Spheres† |
salvage |
1 RL |
mCRC |
|
Pini |
1‡ |
SIR-Spheres†> chemo |
salvage |
1 R0 |
mCRC |
‡retrospective data; †microspheres; [ ] planned procedure; cons.: consolidation of chemo; RL: radiation lobectomy
与历史对照比较,放射性栓塞延长结直肠癌肝转移患者的至疾病进展时间(TTP),改善中位生存期(OS),但它可以在随机对照(而非历史对照)中获得中位生存期的改善?
早在数年前就开始了随机对照研究

|
------分隔线----------------------------