| 肝癌除了存在发现难,也有诊断难的问题。并不是所有肝内的结节性病变都是肝癌,肝结节病变诊断肝癌主要依赖肝癌的血管特性。 前面栏目谈到所谓发现病变,指肝脏有无病变和病变的定位。涉及影像学对肝癌诊断的敏感性。而诊断难是指你所发现的的结节是肝癌吗?换句话说,涉及病变诊断的特异性,这表示对无疾病者检查结果为阴性所占的比率,又称无病准确率或真阴性率。 而特异性的定义  什么样的影像足以诊断肝癌或早期肝癌?我们可以描述以下 对于肝硬化患者,早期诊断肝癌主要依赖定期筛查和随访。出现小的结节时应该和肝硬化其它结节鉴别。应该分为两类主要表现:(1)主要特征;(2)辅助发现。 
 
	     而对于非肝硬化患者,乙肝,其它慢性肝脏疾病,如Budd-Chiari,FAFLD,肝腺瘤恶性变,甚至正常肝脏都可能发生肝癌。 肝腺瘤恶变 
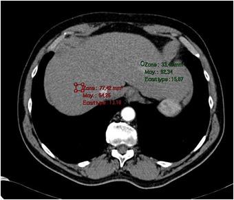
 1. 第一个主要的特征:多血管性(early arterial uptake) 
 
 还有很多的图示来解释这一过程  在影像上的表现是动脉期增强 
 增强CT扫描,在动脉后期显示的增强病变应该考虑肝癌的可能性,虽然和造影剂注射速率、造影剂浓度和早期肝癌发现有关。敏感性高,而特异性差。 
 
 2. 第二个主要特点是 wash-out (清除)(wash-out in the portovenous and equilibrium phase) 
 
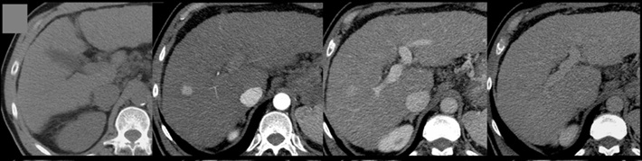
 小肝癌的CT增强的典型表现 
 小HCC的动态增强CT的典型表现 
 小HCC的动态增强CT的典型表现 
 CT小肝癌血流动力学类型 
 
 
 
	根据小肝癌血流动力学改变发现小肝癌改变仅占不到50%。根据动脉期增强病灶可发现约80-90%的病例 
	肝癌增强类型和肝癌的大小有关 
 
		小肝癌非典型增强类型可能包括以下: Low-high-low (典型表现) 
		iso-iso-iso (三期都为等密度) 
		high(hyper)-iso-iso (动脉期为高密度,门静脉期和平衡期为等密度) 
 
		high-high-low (动脉期和门静脉期为高密度,平衡期为低密度) 
		high-low-low (动脉期高密度,门静脉期和平衡期为低密度,典型的改变 
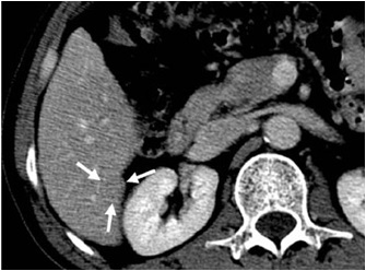
		low-low-low (动脉期-门静脉期-平衡期,都为低密度) 51-year-old woman with early hepatocellular carcinoma located in right hepatic lobe 三期均为低密度 
 
			http://www.kjronline.org/search.php?where=aview&id=144206&code=0068KJR&vmode=FULL#F1 
			Low-Low-Low 
 
 
 
 3. 医学影像学如何诊断不典型的肝癌 
 磁共振肝癌的特征 
 Intra-lesional fat 
 
 
 2011年美国放射学会(the American college of radiology,ACR)发布了肝脏影像报告与数据管理系统(Liver Imaging Reporting and Data System,LI-RADS)。旨在标准化肝脏病变影像征象描述和诊断报告,减少影像报告的多样性,增加影像与临床科室之间的沟通,利于临床制订治疗方案、评估疗效和协作研究等。 LI-RADS(1.0)根据CT、MRI 影像学征象提示病变为HCC 的可能性大小,将肝脏病变分为5级:LR1(肯定为良性),LR2(可能为良性),LR3(可疑HCC),LR4(可能为HCC)和LR5(肯定为HCC)。 肝细胞特异性造影剂(Hepatobiliary contrast MR agents):Hypointensity on hepatospecific phase using Gd-EOB-DTPA【5,6】 
 1. D. Maluf, R. A. Fisher, T. Maroney, A. Cotterell, A. Fulcher, J. Tisnado, M. Contos, V. Luketic, R. Stravitz, M. Shiffman, R. Sterling, M. Posner. Non-Resective Ablation and Liver Transplantation in Patients with Cirrhosis and Hepatocellular Carcinoma (HCC): Safety and Efficacy. American Journal of Transplantation Volume 3, Issue 3, pages 312–317, March 2003 2. . Luca A, Caruso S, Milazzo M, Mamone G, Marrone G, Miraglia R, et al. Multidetector-row computed tomography (MDCT) for the diagnosis of hepatocellular carcinoma in cirrhotic candidates for liver transplantation: prevalence of radiological vascular patterns and histological correlation with liver explants. European radiology. 2010;20(4):898-907. 3. Forner A, Vilana R, Ayuso C, Bianchi L, Sole M, Ayuso JR, et al. Diagnosis of hepatic nodules 20 mm or smaller in cirrhosis: Prospective validation of the noninvasive diagnostic criteria for hepatocellular carcinoma. Hepatology. 2008;47(1):97-104. 4. J Cancer Res Clin Oncol2004; 130: 417–422 5. Van Beers, J Hepatol 2012; 6. Golfieri Eur Radiol 2011; Sano Radiology 2011 | |||||||||||||||||||||||||||||||||||||||||||||||||||||||||||||||||||||||||||||||||||||||||||||||||||||||||||||||||||||||||||||||||||||||||||||||||||||||||||||||||||||||||||||||

 
        
      















































































