肝脏的损伤出血
损伤包括减速伤(Deceleration)或直接损伤。最常见肝实质损伤累及肝动脉小分支和段分支导致肝实质出血。血管内治疗适应症【1】。损伤分级依照AAST分类标准。
graded according to the AAST classification
肝外伤的栓塞分类和后续病人的治疗按照其血流动力学的状态。对积极复苏治疗治疗无反应的休克,每小时2升的高容量液体复苏后出血性休克改善患者,血流动力学稳定的患者【2】。
- 生命体征稳定,或通过液体扩容稳定的病人,以及外科治疗为禁忌的病人
- 活动性出血、动门脉瘘和假性动脉瘤患者
CT发现包括【3】
-
肝实质内毛细血管染色
-
假性动脉瘤
-
动静脉瘘
-
肝包膜外造影剂沉积
-
血肿体积增加或腹腔内积液增加
血管内治疗技术包括
- 超选择肝动脉导管术,应用微弹簧栓子的Trapping(三明治,前后门技术,sandwich, front-to-back-door technique)技术。
- 选择性导管技术,远端微粒或明胶海绵栓塞,以及近端微弹簧栓子栓塞
- 覆膜支撑架技术,如果技术可行使用覆膜支撑架植入肝总动脉或肝固有动脉。
肝外伤栓塞结果
-
非手术治疗死亡率从19%,下降到9%【4】
-
肝损伤动脉栓塞成功率85%-100%【5】
 |
 |
|
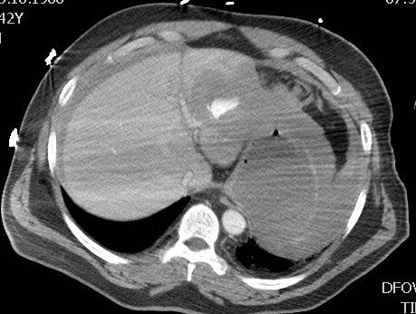
外伤后肝左叶实质出血 |
选择性肝动脉造影 |
 |
 |
|
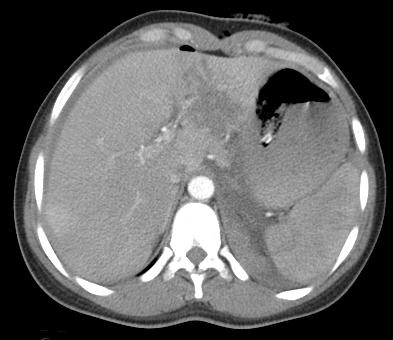
未发现明确造影剂外溢等出血表现 |
栓塞左肝外侧叶动脉分支(经验栓塞) |
|
分组 |
病例数 |
选择非手术治疗 |
|
1. 肝损伤不进行血管造影 |
55 |
26(51%) |
|
2. 所有OIS分级3-5肝损伤非手术病人强制血管造影 |
59 |
45(76%) |
9例病人(35%)进行栓塞治疗。
Gaarder et al. Liver injuries-improved results with a formal protocol including angiography. Injury, Int.J.Care Injured (2007) 38, 1075-1083
肝脏创伤血管内治疗并发症包括肝坏死、脓肿,胆囊和胆管缺血。但肝梗死由于肝双重供血,发生率有限。
肝动脉栓塞可以改善肝动脉损伤的最后结果,需要有可执行的临床路径。
1. Lopera JE Semin Intervent Radiol 2010
2. Monnin V, Sengel C, Thony F, Bricault I et al. Place of arterial Embolization in Severe Blunt Hepatic Trauma
Cardiovascular Interventional Radiology 2008; 31: 875-882
3. Place of arterial Embolization in Severe Blunt Hepatic Trauma: A Multidisciplinary Approach Cardiovascular Interventional Radiology 2008; 31: 875-88
4. Ann Surgery 2000; 232: 324-330
5. J. Trauma Aug1998 45(2): 353-358
|